Найти в Дзене
Mash | Мэш

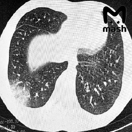
Троих зумеров экстренно доставили в реанимацию Ростовской области с попкорновой болезнью лёгких

Троих зумеров экстренно доставили в реанимацию Ростовской области с попкорновой болезнью лёгких — которая развилась из-за постоянного курения вейпов. Подростки в тяжёлом состоянии, одному пришлось делать операцию на лёгких. У 16-летнего пациента — серьёзная дыхательная недостаточность, потребовалась искусственная вентиляция лёгких. У другого — двусторонняя вейп-ассоциированная пневмония EVALI, врачи сделали операцию. Похожие случаи фиксируют и в других регионах России: первые в Москве в 2021-м, затем в Томске, где в прошлом году пострадали двое несовершеннолетних. Врачи говорят: электронки серьёзно портят здоровье. Жидкости в дуделках содержат химические вещества, которые повреждают дыхательные пути, вызывают воспаление лёгких и приводят к проблемам с дыханием.

Троих зумеров экстренно доставили в реанимацию Ростовской области с попкорновой болезнью лёгких — которая развилась из-за постоянного курения вейпов. Подростки в тяжёлом состоянии, одному пришлось делать операцию на лёгких.

У 16-летнего пациента — серьёзная дыхательная недостаточность, потребовалась искусственная вентиляция лёгких. У другого — двусторонняя вейп-ассоциированная пневмония EVALI, врачи сделали операцию. Похожие случаи фиксируют и в других регионах России: первые в Москве в 2021-м, затем в Томске, где в прошлом году пострадали двое несовершеннолетних.

Врачи говорят: электронки серьёзно портят здоровье. Жидкости в дуделках содержат химические вещества, которые повреждают дыхательные пути, вызывают воспаление лёгких и приводят к проблемам с дыханием.