Найти в Дзене

Что такое рецессия и почему нельзя ее игнорировать👇🏼

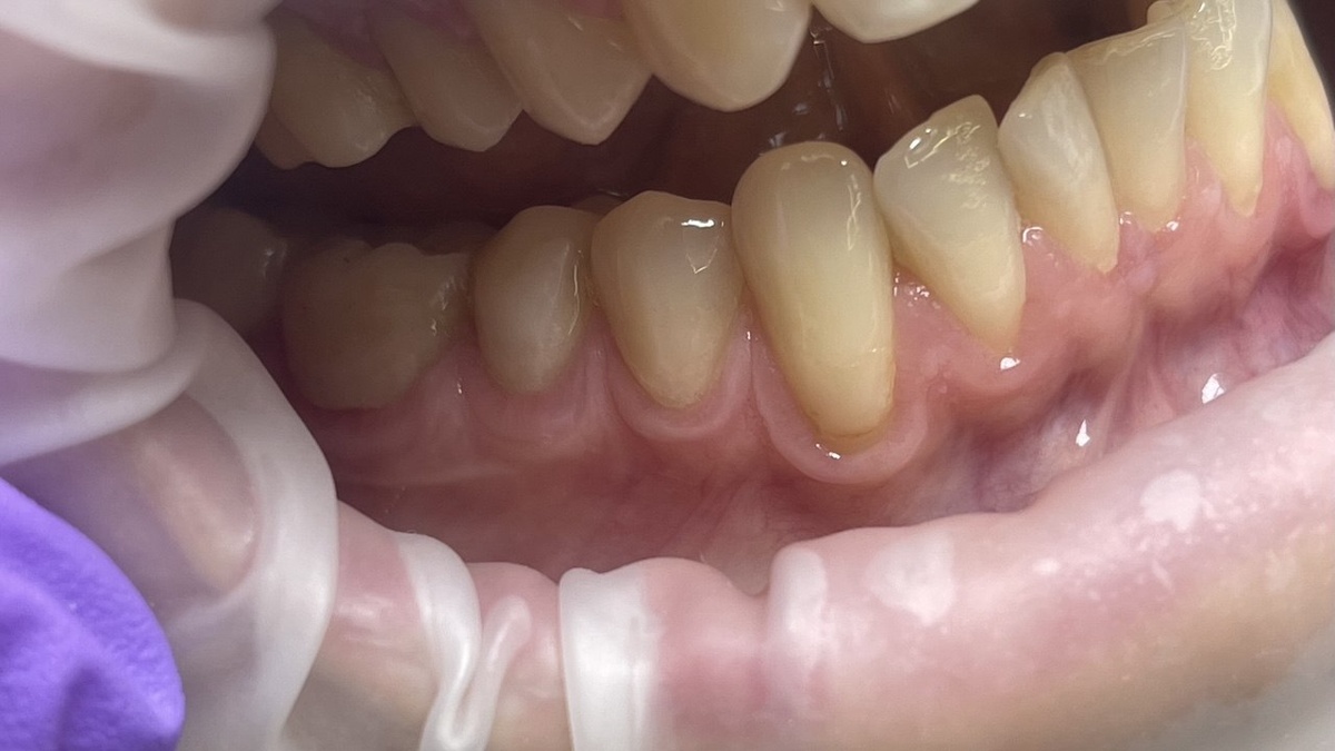
🦷Знаете, как море отступает от берега, оставляя его беззащитным? Точно так же бывает и с вашими деснами.
Рецессия десны — это не просто «что-то там опустилось». Это процесс, при котором край десны постепенно смещается, обнажая корень зуба. И это не косметическая проблема, а серьезный сигнал.
Как обнаружить рецессию? Проверьте себя!
Рецессия часто подкрадывается незаметно.

🦷Знаете, как море отступает от берега, оставляя его беззащитным? Точно так же бывает и с вашими деснами. 

Рецессия десны — это не просто «что-то там опустилось». Это процесс, при котором край десны постепенно смещается, обнажая корень зуба. И это не косметическая проблема, а серьезный сигнал.

Как обнаружить рецессию? Проверьте себя!

Рецессия часто подкрадывается незаметно. 

Но ваша внимательность может все изменить:

1️⃣Зубы визуально стали длиннее. Кажется, что зубы выросли? Скорее всего, это десна отступила.

2️⃣У корней появилась желтизна. Эмаль покрывает только коронку зуба. Корень, который стал виден, имеет более желтый оттенок.

3️⃣Повысилась чувствительность. Резкая боль от холодного, горячего, кислого или сладкого — частый спутник рецессии, ведь корень не защищен плотной эмалью.

4️⃣Между зубом и десной появился «ступенька» или углубление. Его можно даже нащупать языком.

5️⃣Образовался клиновидный дефект — V-образная выемка у самой десны.

Что будет, если махнуть рукой? Последствия страшнее, чем кажется.

«Поболит и пройдет» — здесь не работает. Без лечения рецессия — это дорога в одну сторону:

➠ Необратимая потеря тканей. Сама по себе десна не нарастет обратно.

➠ Разрушение корня зуба. Корень мягче эмали, кариес на нем развивается стремительно.

➠ Перегрузка зуба и риск сколов. Зуб становится менее устойчивым.

➠ Эстетика, которая не радует. Улыбка становится «десневой», зубы выглядят некрасиво.

➠ Самое грозное — потеря зуба. Постоянное воспаление, разрушение связок и кости вокруг корня в итоге приводят к подвижности и удалению.

Хорошая новость: процесс можно и нужно остановить!

Чем раньше вы придете, тем проще, быстрее и экономичнее будет решение.📩