Добавить в корзинуПозвонить
Найти в Дзене
Прайм-Стоматология

Идеальная улыбка начинается не с фотошопа — а с брекетов

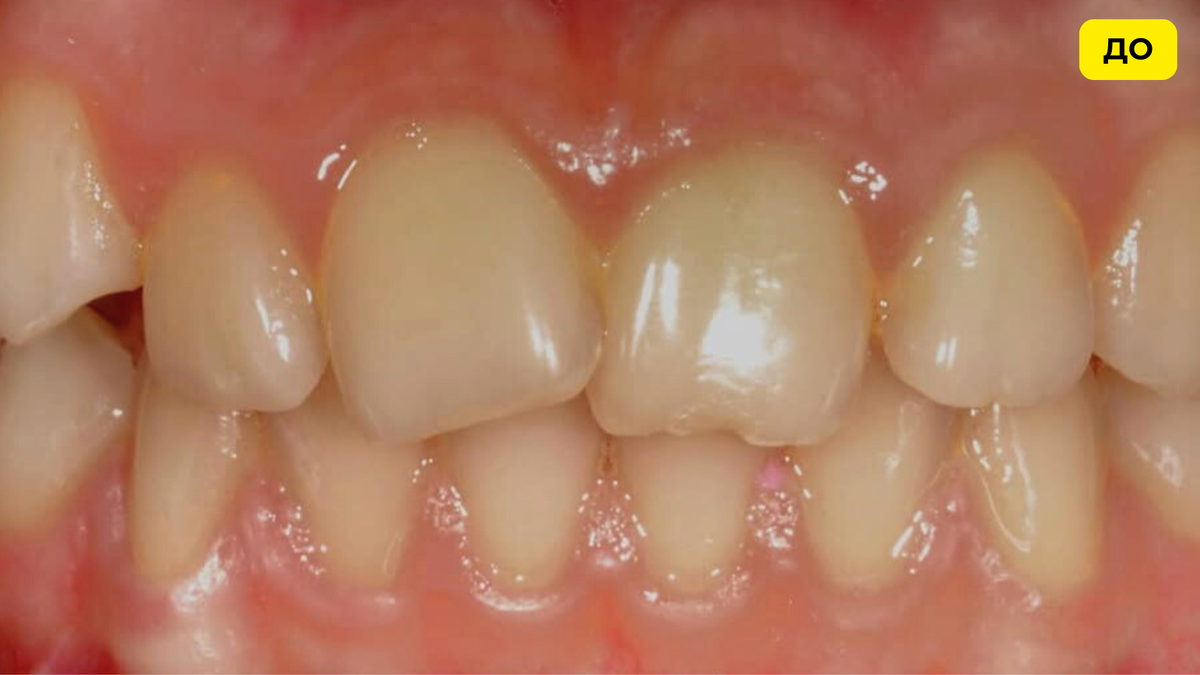
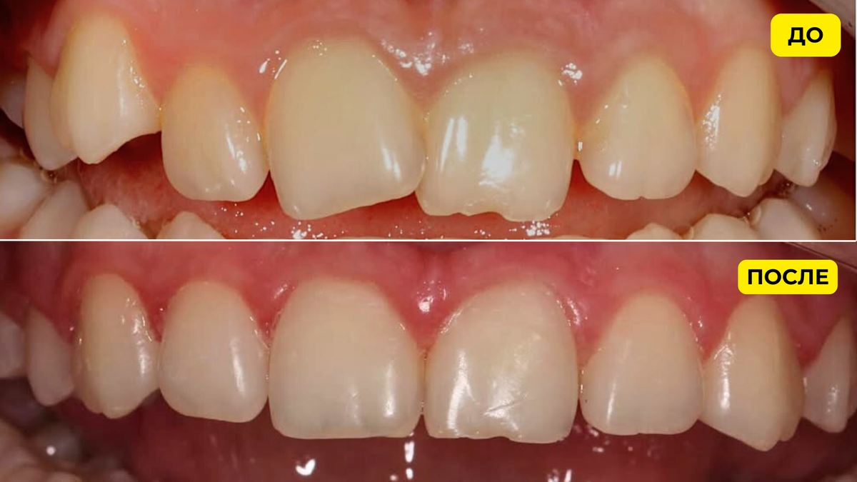
Время, когда все скрывали брекеты или откладывали исправление прикуса на «потом», давно прошло. Сегодня ортодонтическое лечение стало неотъемлемой частью заботы о своём здоровье. 📍 Здесь мы подробно рассказывали, как неправильный прикус влияет на общее здоровье — от болевых ощущений в шее до проблем с пищеварением. Брекет-системы сегодня — не просто способ скорректировать положение зубов. Это технология, которая превращают мечту об идеальной улыбке в реальность, формируя не только ровные зубные ряды, но и гармоничную улыбку. Современная ортодонтия – это гораздо больше, чем ровные зубы и правильный прикус. Врачи-ортодонты работают наравне с челюстно-лицевыми хирургами и учитывают индивидуальные пропорции лица при планировании лечения. В результате пациенты получают комплексное улучшение внешности: ✔ более чёткий профиль и естественное положение подбородка,
✔ сбалансированную высоту нижней трети лица,
✔ гармоничное положение верхней и нижней губ. Работа ниже выполнена ведущим врачом-ор

Время, когда все скрывали брекеты или откладывали исправление прикуса на «потом», давно прошло. Сегодня ортодонтическое лечение стало неотъемлемой частью заботы о своём здоровье.

📍 Здесь мы подробно рассказывали, как неправильный прикус влияет на общее здоровье от болевых ощущений в шее до проблем с пищеварением.

Брекет-системы сегодня — не просто способ скорректировать положение зубов. Это технология, которая превращают мечту об идеальной улыбке в реальность, формируя не только ровные зубные ряды, но и гармоничную улыбку.

Современная ортодонтия – это гораздо больше, чем ровные зубы и правильный прикус. Врачи-ортодонты работают наравне с челюстно-лицевыми хирургами и учитывают индивидуальные пропорции лица при планировании лечения.

В результате пациенты получают комплексное улучшение внешности:

✔ более чёткий профиль и естественное положение подбородка,
✔ сбалансированную высоту нижней трети лица,
✔ гармоничное положение верхней и нижней губ.

Работа ниже выполнена ведущим врачом-ортодонтом "Прайм-стоматологии» Аникиной Ольгой Валерьевной.

Это не волшебство — это точная наука, основанная на диагностике, опыте и индивидуальном подходе!

.

🦷 Записаться на консультацию по исправлению прикуса к специалистам в ПРАЙМ можно по телефону - +74912 292000.

_________________________________

Наши клиники в г. Рязань:

◾ Есенина, 110

◾ Советской армии, 9

◾ Бирюзова, 28а

◾ Интернациональная, 23

◾ Полетаева, 34 (клиника корпоративного университета)

https://www.prime-med.ru/