Добавить в корзинуПозвонить
Найти в Дзене

Будущее в руках врача: 3D‑планирование имплантации шаг за шагом

Представьте: вы приходите к стоматологу, вам делают снимок, а через 10 минут врач разворачивает монитор и говорит: «Вот ваша челюсть. Вот где будет стоять имплант. Вот как пройдёт нерв. А вот так будет выглядеть ваша улыбка через полгода». И вы всё это видите своими глазами. Это не фантастика. Это 3D-планирование имплантации зубов — технология, которая превратила стоматологию из искусства «положиться на опыт врача» в точную инженерную науку. Еще 10–15 лет назад установка импланта была похожа на игру в русскую
рулетку. Врач работал «вслепую»: видел только плоский снимок, где кость —
это просто серая тень, а нерв или гайморова пазуха угадывались
интуитивно. Исход зависел от опыта, удачи и толщины кости. Сегодня всё
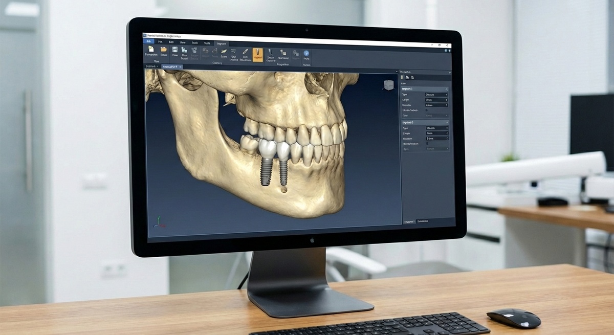
иначе. 3D-планирование — это цифровой двойник вашей челюсти. Врач
загружает данные компьютерной томографии в программу (например,
Diagnocat с искусственным интеллектом) и видит будущее место установки
импланта с точностью до 0,1 мм. МНЕ НЕ БУДЕТ БОЛЬНО?
3D-планирование
Оглавление

3D-планирование имплантации зубов

Представьте: вы приходите к стоматологу, вам делают снимок, а через 10 минут врач разворачивает монитор и говорит: «Вот ваша челюсть. Вот где будет стоять имплант. Вот как пройдёт нерв. А вот так будет выглядеть ваша улыбка через полгода». И вы всё это видите своими глазами.

Это не фантастика. Это 3D-планирование имплантации зубов — технология, которая превратила стоматологию из искусства «положиться на опыт врача» в точную инженерную науку.

Почему раньше боялись имплантации зубов? И почему сейчас — нет

Еще 10–15 лет назад установка импланта была похожа на игру в русскую
рулетку. Врач работал «вслепую»: видел только плоский снимок, где кость —
это просто серая тень, а нерв или гайморова пазуха угадывались
интуитивно. Исход зависел от опыта, удачи и толщины кости. Сегодня всё
иначе.

3D-планирование — это цифровой двойник вашей челюсти. Врач
загружает данные компьютерной томографии в программу (например,
Diagnocat с искусственным интеллектом) и видит будущее место установки
импланта с точностью до 0,1 мм.

Что видно на экране:

  • Плотность и объем костной ткани.
  • Расположение нервов, сосудов, пазух носа.
  • Угол наклона будущего импланта.
  • Модель будущей коронки — ещё до того, как сделан разрез.

Как это работает? Честно и без сложных терминов

  1. Этап 1. Диагностика
    Вас приглашают в отдельный кабинет с томографом. Вы стоите 20 секунд,
    аппарат делает послойные снимки. Никакой плёнки, никакого дискомфорта.
    Лучевая нагрузка — как при перелете в Сочи.
  2. Этап 2. Цифровое совещание
    Данные поступают в программу. Хирург-имплантолог и ортопед (иногда даже зубной техник) садятся за один монитор. Они видят не просто «дырку», а
    биомеханику всей челюсти.
    Важно: хороший врач не
    просто «поставит имплант». Он смоделирует позицию так, чтобы коронка
    стояла ровно, жевательная нагрузка распределялась правильно, а десна
    выглядела естественно.
  3. Этап 3. Хирургический шаблон
    На основе виртуального плана печатается на 3D-принтере хирургический
    шаблон. Это индивидуальная каппа, которая надевается на соседние зубы
    или на кость. В ней уже есть отверстие — точно под тем углом и глубиной,
    которые рассчитал компьютер. Врачу остается только «попасть» в это
    отверстие. Риск ошибки — ноль.

Почему это выгодно именно вам, пациенту?

МНЕ НЕ БУДЕТ БОЛЬНО?
3D-планирование позволяет обойти нервные окончания. Имплант ставится туда, где есть кость, а не туда, куда «удобно» врачу. Реабилитация проходит быстрее,
отёк меньше, анестезии требуется по минимуму.

ЭТО ПРИЖИВЕТСЯ?
Когда имплант стоит в идеально рассчитанной позиции, нагрузка на кость
распределяется равномерно. Риск отторжения снижается в разы. Вы
получаете не «лотерею», а гарантированный инженерный результат.

СКОЛЬКО ЭТО БУДЕТ СТОИТЬ?
Пациенты часто боятся, что 3D-планирование — это «дополнительная услуга» и
«накрутка цены». В нашей клинике Фэмили Дентал Студио это не отдельный
платёж, а обязательный этап подготовки, включённый в стоимость лечения.
Почему? Потому что переделывать имплант, установленный «на глаз», — дороже в 10 раз. И для нас, и для вас.

А что говорят те, кто уже прошёл этот путь?

— Андрей, 47 лет«Я читал форумы, боялся, что имплант встанет криво или заденет нерв. Мне показали на экране всю операцию заранее. Даже соседние зубы подсветили. Я вышел с консультации с чувством, что уже всё сделал».
— Елена, 52 года«У меня была сложная ситуация — кости почти не осталось. Врач сказал, что без 3D даже не возьмётся. Сделали снимок, смоделировали, сделали костную пластику ровно там, где нужно. Сейчас стоят импланты, уже с коронками. Прошло 2 года — полёт нормальный».

Три вопроса, которые нужно задать врачу до имплантации

  • «Вы делаете 3D-планирование каждому пациенту или только по показаниям?» Правильный ответ: каждому. Это стандарт, а не опция.
  • «Вы сами моделируете позицию импланта или отдаёте технику?» Правильный ответ: хирург и ортопед вместе, потому что конечный результат — это коронка, а не титановый винт.
  • «Вы печатаете хирургический шаблон под мой случай?» Правильный ответ: да. Без шаблона высокая точность невозможна.

Мы в Фэмили Дентал Студио не верим в «авось». Мы верим в цифры, факты и
предсказуемый результат. 3D-планирование — это не просто технология. Это
наш способ сказать вам: «Мы не гадаем. Мы знаем».

Хотите увидеть свою будущую улыбку уже на первой консультации?

Запишитесь на приём к нашему хирургу-имплантологу в Центр цифровой стоматологии и имплантации «Фэмили Дентал Студио» в Севастополе. Мы сделаем томографию, посадим вас за монитор и покажем, как будет выглядеть ваше лечение через год. И да, это абсолютно бесплатно в рамках первичной
консультации.