Найти в Дзене

Гамартома лёгкого: малоинвазивная хирургия в ПСПбГМУ им. И. П. Павлова

Пациентка в возрасте 45 лет, недавно перенёсшая COVID-19, решила самостоятельно сделать компьютерную томографию грудной клетки.
Казалось бы — обычная проверка после болезни. Но именно она стала отправной точкой для дальнейшего лечения. На снимках врачи заметили небольшое образование в верхней доле левого лёгкого около полутора сантиметров. Никаких жалоб, хорошее самочувствие. И всё же находка требовала внимания: даже небольшие изменения в лёгких нельзя оставлять без оценки специалистов. Пациентку направили в онкологическое отделение №4 (торакальной хирургии) ПСПбГМУ им. акад. И.П. Павлова. Комплексное обследование показало: лимфатические узлы не увеличены, дыхательные пути без патологии, сердце и другие органы — в норме. Предположительный диагноз — гамартома лёгкого, редкая доброкачественная опухоль врождённой природы. Гамартома — это врожденная доброкачественная опухоль легких. Гамартома легкого состоит из тех же тканей, что и само легкое, однако отличается их неправильным расположени

Пациентка в возрасте 45 лет, недавно перенёсшая COVID-19, решила самостоятельно сделать компьютерную томографию грудной клетки.
Казалось бы — обычная проверка после болезни. Но именно она стала отправной точкой для дальнейшего лечения.

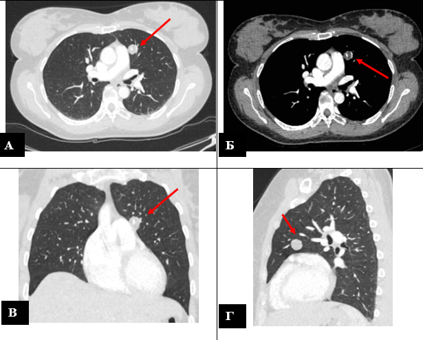
На снимках врачи заметили небольшое образование в верхней доле левого лёгкого около полутора сантиметров. Никаких жалоб, хорошее самочувствие. И всё же находка требовала внимания: даже небольшие изменения в лёгких нельзя оставлять без оценки специалистов.

Периферическое новообразование верхней доли левого легкого (гамартома?) – указано стрелкой. Компьютерная томограмма органов грудной клетки в аксиальной проекции: легочный режим (А), средостенный режим (Б); фронтальной проекции (В); сагиттальной проекции (Г).
Периферическое новообразование верхней доли левого легкого (гамартома?) – указано стрелкой. Компьютерная томограмма органов грудной клетки в аксиальной проекции: легочный режим (А), средостенный режим (Б); фронтальной проекции (В); сагиттальной проекции (Г).

Пациентку направили в онкологическое отделение №4 (торакальной хирургии) ПСПбГМУ им. акад. И.П. Павлова. Комплексное обследование показало: лимфатические узлы не увеличены, дыхательные пути без патологии, сердце и другие органы — в норме. Предположительный диагноз — гамартома лёгкого, редкая доброкачественная опухоль врождённой природы.

-2
Гамартома — это врожденная доброкачественная опухоль легких. Гамартома легкого состоит из тех же тканей, что и само легкое, однако отличается их неправильным расположением. Такие образования часто годами никак себя не проявляют и обнаруживаются случайно — именно так, как в этом случае.

Врачи онкологического отделения №4 (торакальной хирургии) ПСПбГМУ им. И. П. Павлова приняли решение действовать максимально щадяще.

-3

Было выполнено малоинвазивное вмешательство — видеоторакоскопическая операция. Через небольшие проколы, под видеоконтролем, хирурги аккуратно удалили участок лёгкого с опухолью. Операция заняла всего около получаса, кровопотеря была минимальной.

Уже на следующий день пациентка началась активная послеоперационная реабилитация (дыхательная гимнастика, комплекс лечебных упражнений), обезболивающая терапия. На пятый день — выписка домой.

-4

Этот клинический случай — напоминание о том, насколько важны внимание к себе и современные медицинские технологии.

Записывайтесь на консультацию! Мы готовы вам помочь!

Университетский онкологический центр
тел.: +7(812)338-61-63 и +7(921)909-65-44
(по рабочим дням с 08:00 до 16:00)
эл.почта: oncocentr@1spbgmu.ru и dvoreckiy@rambler.ru

Отдел организации платных медицинских услуг
тел.: +7(812)429-03-33
эл.почта: opmu@spb-gmu.ru

Справочно-информационная служба
тел.: +7(812)429-03-31 и +7(812)338-66-00
(по рабочим дням с 08:00 до 20:00)

Наш адрес: ул. Рентгена, д. 12, к. 44, этаж 5, онкологическое отделение №4 (торакальная хирургия)