Добавить в корзинуПозвонить
Найти в Дзене

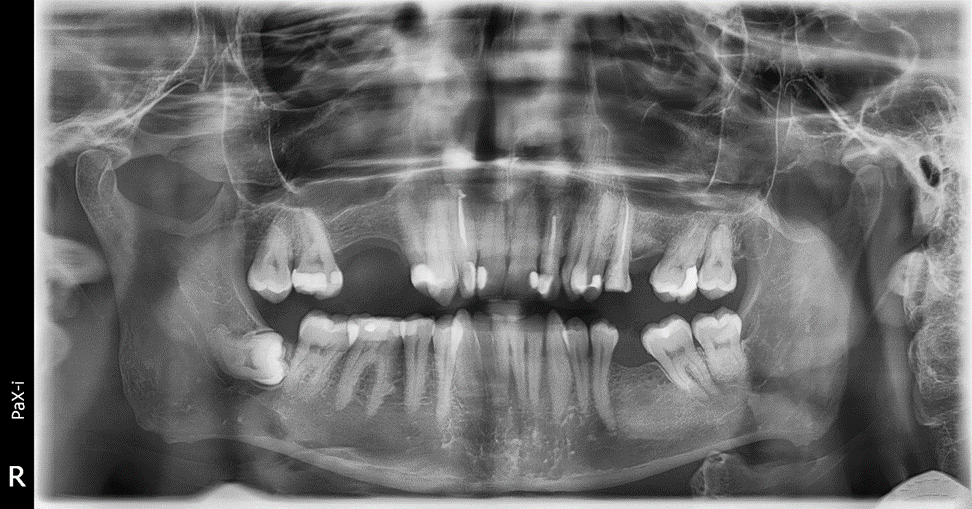
Когда ортодонт рекомендует удалять «здоровые» зубы?

Давайте разберемся с этим вопросом. Очень часто, пациенты, приходя на консультацию к врачу ортодонту перед установкой брекетов или элайнеров, слышат рекомендацию по удалению здоровых зубов, чтобы начать ортодонтическое лечение. В таких ситуациях у пациентов возникает резонный вопрос: «зачем удалять зубы, которые здоровы и не причиняют боли?». Многие с этим не согласны, не хотят, возмущены, расстроены. Это вполне естественное беспокойство потому, что мы привыкли беречь каждый свой зуб. Порой, рекомендация врача ортодонта по удалению «здоровых» зубов является необходимым этапом для достижения наилучшего и, что крайне важно, долговечного результата в ортодонтическом лечении. Какие же самые частые кандидаты на удаление среди зубов? 1. «Восьмерки», третьи моляры или, как их называют в народе иначе, зубы мудрости. Они самые крайние в зубном ряду и самые последние прорезаются. Чаще всего, зубы мудрости начинают прорезаться, когда уже полностью сформирован постоянный зубной ряд на обеих челюст

Давайте разберемся с этим вопросом.

Очень часто, пациенты, приходя на консультацию к врачу ортодонту перед установкой брекетов или элайнеров, слышат рекомендацию по удалению здоровых зубов, чтобы начать ортодонтическое лечение. В таких ситуациях у пациентов возникает резонный вопрос: «зачем удалять зубы, которые здоровы и не причиняют боли?». Многие с этим не согласны, не хотят, возмущены, расстроены. Это вполне естественное беспокойство потому, что мы привыкли беречь каждый свой зуб. Порой, рекомендация врача ортодонта по удалению «здоровых» зубов является необходимым этапом для достижения наилучшего и, что крайне важно, долговечного результата в ортодонтическом лечении.

Какие же самые частые кандидаты на удаление среди зубов?

1. «Восьмерки», третьи моляры или, как их называют в народе иначе, зубы мудрости.

Они самые крайние в зубном ряду и самые последние прорезаются. Чаще всего, зубы мудрости начинают прорезаться, когда уже полностью сформирован постоянный зубной ряд на обеих челюстях, от чего остается критически мало места для полноценного прорезывания и развития восьмых зубов. Именно эта нехватка места и является одним из показаний к удалению зубов. Из-за нехватки места, при активном прорезывании зубов мудрости, ряды сдвигаются, появляется скученность и в боковом и в фронтальном отделах зубных рядов. Восьмерки в данной роли очень коварны, лежат они чаще всего горизонтально или под небольшим углом, и чтобы прорезаться, встать вертикально, им нужно сильно много места для разворота, а такого места совсем нет, поэтому постепенно, под действием 8-к начинают двигаться рядом стоящие зубы к центру, таким образом смещаются и страдают все зубы.

Хуже, если у восьмерок нарушается этап прорезывание. Например, прорезался зуб в сторону щеки, не участвует в жевании, но из-за него часто прикусывается слизистая щеки, от чего происходит частой травме, которая может привести к худшим последствиям. Или же наоборот «ретинированный» зуб,- это значит, что зуб лежит глубоко в кости и не смог прорезаться вообще. В некоторых случаях это может никак не влиять и спокойно пролежать в кости еще долгие годы, но могут и начать со стороны корня разрушать соседние зубы, провоцируя появление кариеса, болезненные воспаления, что приведет так же к подвижности зубов. Поэтому пытаясь переместить зубы с восьмерками по соседству, мы не сможем достичь нужного результата из-за ограничений в движениях.

Поэтому пусть и здоровый зуб мудрости ортодонт рекомендует удалять, так как у данного зуба репутация «бомбы замедленного действия». Пользы в большинстве случаев от 8-х зубов нет, так как в прикус они встают в крайне редких случаях. Конечно, если 8-ка в прикусе и участвует в жевании, здорова и без кариеса, не является причиной сильной скученности ее никто к удалению не порекомендует, но такая ситуация чаще исключение, чем правило.

В большинстве случаев, удаление зубов мудрости, ортодонт рекомендует проводить до начала ортодонтического лечения, ведь это позволит заранее освободить пространство и подготовить челюсть к перемещению зубов. Так же это позволит создать предсказуемые условия для работы брекет-системы или элайнеров.

Есть ситуации, когда восьмые зубы ортодонт может рекомендовать удалять в процессе ортодонтического лечения. Например, если их рост или смещение активизировались под влиянием перемещения других зубов. В таких случаях допустимо удаление зубов мудрости на этапе ортодонтического лечения.

-2
-3

2. «Четверки» или, иначе говоря, первые премоляры.

Первые премоляры,4-ки это зубы, следующие за клыком.

На много реже удаляются, но, в тоже время, имеют свою роль в ортодонтическом лечении. Обычно, их удаляют, когда скученность более выражена в переднем отделе зубов, которые отвечают за эстетичную улыбку.

Когда у пациента сильная скученности и катастрофически нет места для того, чтобы выставить все зубы в ряд как полагается, сохранив при этом качественное смыкание, приходят к компромиссному решению об удалении 4-х зубов.

Неправильное прорезывание или поражение этих зубов кариесом так же не обошло стороной. Удаление «четверок» помогает в коррекции профиля лица, т.к. они могут значительно выдавливать передние зубы.

-4

Часто бывает ситуация, что клыки не смогли прорезаться и занять свое положенное место в зубном ряду либо прорезались, но совсем не в зубном ряду, поэтому это место им смогут уступить первые премоляры – 4-е зубы. В данном случае, если речь идет о выборе между клыком и 4-кой, то ортодонт отдаст предпочтение именно клыку. Клыки выполняют более важную роль, так как их форма и назначение позволяют более стабильно удерживать и фиксировать нижнюю челюсть в нужной позиции, а также клыки играют важную эстетическую роль в улыбке. Четвертые зубы тоже важны, но в компромиссной ситуации, когда стоит выбор, ими ортодонт может порекомендовать пожертвовать. Их рекомендуется удалять перед ортодонтическим лечением для более комфортного и мягкого начала лечения, так как удаление их в процессе уже начатого ортодонтического лечения, будет осложнено снятием ортодонтических конструкций.

Таким образом, удаление «здоровых» зубов в ортодонтии никогда не принимается легкомысленно. Есть определённые жалобы пациента, конкретные медицинские показания и рекомендации врача ортодонта по достижению того или иного результата лечения. Оно основано на глубоком анализе клинических ситуаций, рентгеновских снимков, компьютерного моделирования и многолетнего опыта.

Важно удалять зубы симметрично, нельзя удалить зуб в целях ортодонтического лечения только с одной стороны, это приведет к асимметрии зубных рядов, зубы если удаляются, то как правило симметрично слева и справа.

Наша цель не просто выравнивание зубов, а создание правильного функционального процесса и эстетического вида. Конечно удалять или оставлять зуб – решение пациент принимает сам, врач может только порекомендовать варианты лечения, рассказать о всех противопоказаниях, предложить компромиссные варианты, если такие имеются, тщательно изучив клиническую картину, но только пациент вправе делать тот или иной выбор в целях сохранения своего здоровья.

-5
-6

Автор статьи

Моисеева Олеся Вячеславовна

Врач-ортодонт стоматологической клиники Премоляр

Стоматологическая клиника в Москве - Премоляр - Премоляр