Найти в Дзене

Исключительно редкий случай пункционной биопсии щитовидной железы у пациента с ALK-положительной аденокарциномой легкого в анамнезе

При ранее проведенной пункционной биопсии надпочечника была выявлена смешанная мелкоклеточная карцинома с аденокарциномой, обе компоненты которой экспрессировали TTF-1. Биопсия щитовидной железы преимущественно представлена мелкоклеточным раком с минимальной примесью аденокарциномы (обведено красным), соответствующей известному первичному очагу в лёгких. #щитовиднаяжелеза #цитология

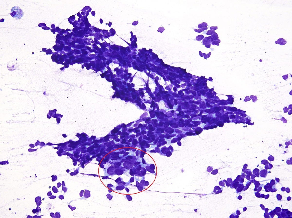
Исключительно редкий случай пункционной биопсии щитовидной железы у пациента с ALK-положительной аденокарциномой легкого в анамнезе.

При ранее проведенной пункционной биопсии надпочечника была выявлена смешанная мелкоклеточная карцинома с аденокарциномой, обе компоненты которой экспрессировали TTF-1.

Биопсия щитовидной железы преимущественно представлена мелкоклеточным раком с минимальной примесью аденокарциномы (обведено красным), соответствующей известному первичному очагу в лёгких.

#щитовиднаяжелеза #цитология