Найти в Дзене
Минздрав Приморья

После вкусной домашней селёдки врачи Владивостока удалили гельминтов у пенсионерки

70-летняя жительница Владивостока обратилась к врачам с сильными болями в животе. Терапевт направил пациентку на гастроскопию в стационар Приморской краевой клинической больницы № 1. Во время обследования эндоскописты обнаружили анизакидоз – острое паразитарное заболевание, связанное с употреблением рыбы и морепродуктов без должной термической обработки. К стенке желудка пациентки присосались два червя длиной около 4 сантиметров. Опасных паразитов сразу же удалили с помощью специальных щипцов. «Такое заражение может привести не только к сильной боли, но и к серьёзным осложнениям — вплоть до перфорации кишечника и перитонита», — рассказала врач-эндоскопист, главный эндоскопист Приморья Екатерина Кочергина. Как выяснилось, накануне женщина ела слабосолёную сельдь, купленную у частников. После удаления гельминтов пациентка почувствовала себя значительно лучше и была отпущена домой — госпитализация не потребовалась. Врачи напоминают: личинки паразитов не погибают при обычной домашней засол

70-летняя жительница Владивостока обратилась к врачам с сильными болями в животе.

Терапевт направил пациентку на гастроскопию в стационар Приморской краевой клинической больницы № 1.

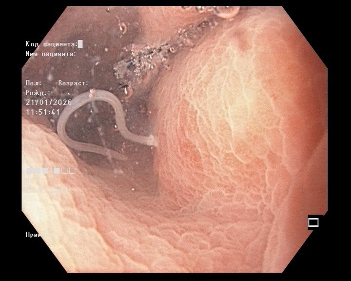
Во время обследования эндоскописты обнаружили анизакидоз – острое паразитарное заболевание, связанное с употреблением рыбы и морепродуктов без должной термической обработки. К стенке желудка пациентки присосались два червя длиной около 4 сантиметров. Опасных паразитов сразу же удалили с помощью специальных щипцов.

-2

«Такое заражение может привести не только к сильной боли, но и к серьёзным осложнениям — вплоть до перфорации кишечника и перитонита», — рассказала врач-эндоскопист, главный эндоскопист Приморья Екатерина Кочергина.

Как выяснилось, накануне женщина ела слабосолёную сельдь, купленную у частников. После удаления гельминтов пациентка почувствовала себя значительно лучше и была отпущена домой — госпитализация не потребовалась.

Врачи напоминают: личинки паразитов не погибают при обычной домашней засолке и особенно опасны в сырой рыбе и морепродуктах.

Безопасность гарантируют только промышленная заморозка и полноценная термическая обработка. Мы настоятельно советуем отказаться от покупки рыбы и морепродуктов с рук и в сомнительных местах.

При болях в желудке, тошноте, рвоте и слабости не затягивайте с обращением к специалистам.