Добавить в корзинуПозвонить
Найти в Дзене

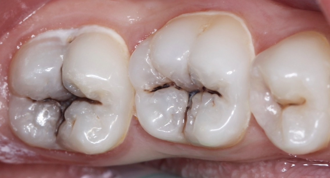
Почему темнеют фиссуры в зубах?

Всем привет 👋
Ну что, друзья, продолжаю с вами разбирать интересные вопросы с моего канала в телеграмме, думаю вам тоже будет интересно знать на них ответ:
На самом деле темные фиссуры в постоянных зубах - это самая частая причина обращений. Эту «темноту» принимают за кариес, причем не только пациенты, но и врачи - стоматологи.
Сколько раз было, что в поликлинике родителям говорят, что у ребенка

Всем привет 👋

Ну что, друзья, продолжаю с вами разбирать интересные вопросы с моего канала в телеграмме, думаю вам тоже будет интересно знать на них ответ:

Здравствуйте, интересует такой вопрос почему темнеют фиссуры на зубах?

На самом деле темные фиссуры в постоянных зубах - это самая частая причина обращений. Эту «темноту» принимают за кариес, причем не только пациенты, но и врачи - стоматологи. 

Сколько раз было, что в поликлинике родителям говорят, что у ребенка «кариес» в постоянном зубе, приводят мне на прием пациента (постоянные часто лечат в платных клиниках), делаем снимки, там все ок 👌

Темные фиссуры (углубления, бороздки на жевательной поверхности зубов) могут потемнеть по нескольким причинам, от совершенно безобидных до требующих лечения.

Вот основные причины:

Пищевая пигментация.

Это самая простая причина. В узкие и глубокие бороздки забиваются микрочастицы еды и красители из напитков (чай, соки, ягоды). Со временем этот налет уплотняется и темнеет. 

Опасно ли это? Само по себе нет, но под слоем налета зубу труднее получать минералы из слюны, и там легче развиться кариесу.

Остановившийся кариес.

Бывает так, что кариес начал развиваться, но под воздействием гигиены или минералов из слюны процесс остановился («законсервировался»). 

Эмаль в этом месте становится очень плотной, твердой, но приобретает темно-коричневый или черный цвет.

Что делать? Просто наблюдаем у врача за ним годами, не вскрывая зуб, если они не увеличиваются.

Фиссурный кариес.

В углублениях на зубе всегда больше всего налета. Если его не вычищать (а этим страдают подростки в особенности), то постепенно начинается кариозный процесс. Тут уже необходимо лечение. 

 Как врач понимает, нужно ли лечить?

Зондирование: это проверка фиссур острым инструментом.

-2

Лазерная диагностика (например, прибор Diagnocam): он «просвечивает» зуб и показывает, есть ли под темной точкой кариозная полость.

-3

Прицельные рентгеновские снимки или компьютерная томография. 

-4

Чтобы не было фиссурного кариеса, не забывайте детям делать герметизацию фиссур у стоматолога.

PS: если хотите знать, какой период времени нужно использовать зубную пасту с фторидами, чтобы эмаль укрепилась, то посмотрите это видео

Стоматолог Кондрашова Лидия

-5