Добавить в корзинуПозвонить
Найти в Дзене

Ломают челюсть ради прикуса? Вся правда об ортогнатической операции: врач показал реальный пример

Постоянные щелчки в челюсти, стертая эмаль и асимметрия, которую не скрыть макияжем — реальность многих моих пациентов. Когда подбородок уходит в сторону, а губы смыкаются с трудом, проблема кроется гораздо глубже зубов. Обычные брекеты не справятся, если нарушен сам костный фундамент. Без хирургической коррекции ситуация только ухудшается: суставы изнашиваются, появляются хронические боли в шее, а лицо теряет четкий контур и выглядит старше своих лет. Меня зовут Сергей Суджаев, я врач-ортодонт. Сегодня я честно расскажу, зачем людям приходится соглашаться на серьезную операцию по перемещению челюстей и почему без хирургии иногда просто невозможно обойтись. В моей практике часто встречаются ситуации, когда патология скрыта глубоко в скелете. Если одна челюсть развилась сильнее другой или застряла в неправильном положении, зубы подстраиваются под возникший хаос. Они наклоняются, скучиваются, пытаются найти хоть какое-то смыкание. Пытаться исправить такой случай только брекетами опасно
Оглавление

Постоянные щелчки в челюсти, стертая эмаль и асимметрия, которую не скрыть макияжем — реальность многих моих пациентов. Когда подбородок уходит в сторону, а губы смыкаются с трудом, проблема кроется гораздо глубже зубов. Обычные брекеты не справятся, если нарушен сам костный фундамент.

Без хирургической коррекции ситуация только ухудшается: суставы изнашиваются, появляются хронические боли в шее, а лицо теряет четкий контур и выглядит старше своих лет.

Меня зовут Сергей Суджаев, я врач-ортодонт. Сегодня я честно расскажу, зачем людям приходится соглашаться на серьезную операцию по перемещению челюстей и почему без хирургии иногда просто невозможно обойтись.

Когда одних брекетов мало

В моей практике часто встречаются ситуации, когда патология скрыта глубоко в скелете. Если одна челюсть развилась сильнее другой или застряла в неправильном положении, зубы подстраиваются под возникший хаос. Они наклоняются, скучиваются, пытаются найти хоть какое-то смыкание.

-2

Пытаться исправить такой случай только брекетами опасно. Мы получим ровные ряды, но лицо останется асимметричным, а зубы быстро вернутся в исходное положение.

Ортогнатическая операция позволяет нам работать на уровне фундамента. Хирургическое вмешательство меняет положение костей, восстанавливая гармонию профиля и обеспечивая работу всей системы без сбоев.

Как мы готовим челюсть к изменениям

Часто мы начинаем с расширения верхней челюсти. Мы используем специальный аппарат — нёбный дистрактор. Хирург помогает подготовить кость, а устройство постепенно раздвигает ее, создавая нужное пространство.

Хирургическое расширение верхней челюсти и установка небного дистрактора
Хирургическое расширение верхней челюсти и установка небного дистрактора

 Установка небного дистрактора
Установка небного дистрактора

Появившаяся щель между зубами в период лечения служит добрым знаком. Мы создаем место для нормального дыхания и правильного положения языка.
Дистрактор остается во рту около полугода. За указанное время в месте воздействия образуется прочная костная мозоль. Только заложив такую базу, мы можем двигаться дальше.

Зачем выравнивать зубы перед операцией

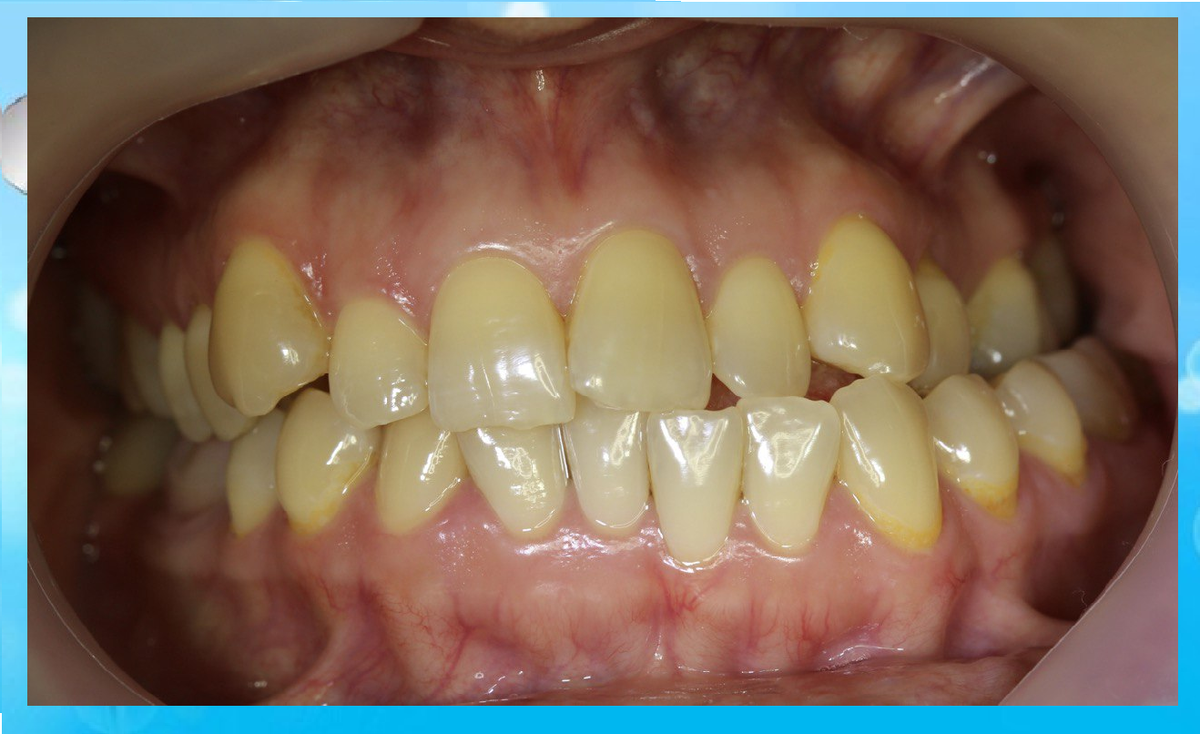
Следующий этап занимает около года. Я фиксирую брекет-систему, чтобы подготовить зубы к встрече в новом, правильном положении.

Фиксация брекет-системы
Фиксация брекет-системы

На данном отрезке прикус может визуально ухудшиться. Мы убираем зубные компенсации — те самые наклоны, которыми организм пытался скрыть кривизну костей.

Мы выстраиваем ровные ряды, чтобы после перемещения челюстей зубы смыкались плотно.

Что происходит в кабинете хирурга

Само вмешательство проходит под общим наркозом в условиях стационара. Хирурги работают через внутриротовые доступы, поэтому никаких рубцов на коже не остается. Врачи аккуратно разделяют костные фрагменты и фиксируют их в заранее рассчитанном анатомически правильном положении. Для фиксации применяются миниатюрные титановые пластины.

Реабилитация подразумевает дисциплину. Первые две недели сопровождаются отеками и строгой диетой. Однако результат того стоит. Пациенты получают не просто ровные зубы, а полностью восстановленную симметричность лица. Улучшается дикция, пропадают боли в суставах, а дыхание становится свободным.

Последствия отказа от операции

Многие надеются на упрощенное лечение, пытаясь избежать операции. Но попытка замаскировать скелетную проблему только лишь наклоном зубов ведет к перегрузке корней и их постепенному рассасыванию. Со временем такая стратегия оборачивается потерей зубов и необходимостью ставить импланты в ту же самую кривую кость.

Ортогнатическая хирургия остается единственным эффективным методом борьбы с выраженными аномалиями. Она избавляет от боли, которую человек мог терпеть годами. Жизнь после операции меняется навсегда. Вы перестаете прятать улыбку и начинаете дышать полной грудью.

После ортогнатической операции и ортодонтического лечения
После ортогнатической операции и ортодонтического лечения
После ортогнатической операции и ортодонтического лечения
После ортогнатической операции и ортодонтического лечения
Внимание. Статья носит ознакомительный характер. Требуется очная консультация специалиста для постановки диагноза.

Хотите узнать, нуждается ли ваша улыбка в серьезной коррекции? Жду вас на диагностику в «Студии улыбки». Мы вместе пройдем путь к вашему новому отражению в зеркале.

Автор: Сергей Суджаев, врач-ортодонт.
Автор: Сергей Суджаев, врач-ортодонт.

Запись на прием по телефону: +7 (985) 786-02-94. Наш сайт: https://studia-ulybki.ru/

👉 Подписывайтесь на канал, чтобы разобраться, что происходит с вашей челюстью и какие методы лечения действительно эффективны.