Добавить в корзинуПозвонить
Найти в Дзене
Parodoctor

"Клыки вампира", узкие челюсти и ни одного удалённого зуба. Керамические брекеты - история исправления прикуса

Поговаривают, что в Японии торчащие клыки в моде. Однако, в случае нашей юной пациентки кажется, что природа несколько перестаралась и перегнула с "изюмом" даже по меркам страны восходящего солнца. Пациентку ведёт ортодонт Сниткова Ксения Владимировна с лета 2024 года. Обратились, девочке было около 11, сейчас ей 13. Полтора года в брекетах и результат уже виден невооружённым глазом. Девочка превратилась в девушку с шикарной улыбкой! Но, как полагается, обо всём по порядку. Исходная картина - классический случай скученности зубов на фоне узких челюстей. Клыки на верхней челюсти в супра­вестибулярном положении, то есть - выступают вперёд и вверх, выбиваются из зубного ряда. В народе это называют "зубы вампира" или "клыки Дракулы". Места адекватного клыкам не нашлось на альвеолярном отростке. Челюсти узкие, зубы крупные и, когда постоянные клыки прорезывались, им просто некуда было встать - всё занято зубами, которые пошустрее появляются на свет. У Ксении Владимировны на лечении находи
Оглавление

Поговаривают, что в Японии торчащие клыки в моде. Однако, в случае нашей юной пациентки кажется, что природа несколько перестаралась и перегнула с "изюмом" даже по меркам страны восходящего солнца.

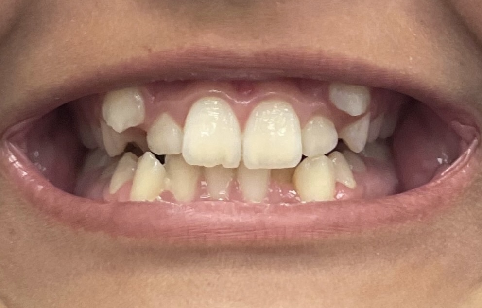
Фото до коррекции прикуса - суправестибулярное положение клыков
Фото до коррекции прикуса - суправестибулярное положение клыков

Пациентку ведёт ортодонт Сниткова Ксения Владимировна с лета 2024 года. Обратились, девочке было около 11, сейчас ей 13. Полтора года в брекетах и результат уже виден невооружённым глазом. Девочка превратилась в девушку с шикарной улыбкой!

Но, как полагается, обо всём по порядку.

Клыки в супра­вестибулярном положении - "зубы вампира"

Исходная картина - классический случай скученности зубов на фоне узких челюстей.

-2

Клыки на верхней челюсти в супра­вестибулярном положении, то есть - выступают вперёд и вверх, выбиваются из зубного ряда. В народе это называют "зубы вампира" или "клыки Дракулы".

Места адекватного клыкам не нашлось на альвеолярном отростке. Челюсти узкие, зубы крупные и, когда постоянные клыки прорезывались, им просто некуда было встать - всё занято зубами, которые пошустрее появляются на свет.

Почему клыки вырастают вне зубного ряда

У Ксении Владимировны на лечении находится двоюродный брат девочки - обладатель похожих клыков:

Генетика и не только
Генетика и не только

Генетика?

Наследственность, конечно же, играет свою роль. Размер зубов, размер челюстей, особенности их роста - всё это передаётся от родителей (бабушек, дедушек, пращуров разного рода). Если у родственников узкие челюсти и крупные зубы, то вероятность появляения скученности зубов у ребёнка выше.

Но генетика - не единственный фактор.

На формирование челюстей влияет и то, как ребёнок дышит (ротовое дыхание сужает верхнюю челюсть), как жуёт (мягкая пища не даёт челюстям достаточной нагрузки для ростаи зазвития), были ли вовремя пролечены молочные зубы (ранняя потеря молочных зубов приводит к смещению постоянных).

В итоге - комбинация негативных факторов. Генетическая предрасположенность плюс условия роста - и вот клыкам уже некуда деваться, кроме как податься мимо правил вверх и вперёд.

Исправление скученности без удаления зубов

Когда места не хватает серьёзным образом, стандартное решение - удаление всего того, от чего не так жалко избавиться. Обычно, на выход идут либо восьмёрки (зубы мудрости), либо четвёрки (первые премоляры). Это освобождает место для перемещения остальных зубов.

В случае нашей пациентки удалось сохранить всё. Не то что четвёрки, даже восьмёрки остались на месте, они ещё в кости находятся, не все прорезались.

Как? За счёт расширения зубных рядов и грамотной механики перемещения в условиях роста организма (роста челюстей). Ортодонт создала место.

Правда, окончательное решение по восьмёркам ещё не принято. Будем наблюдать и делать КТ.

Керамические "сапфировые" брекеты

Для лечения выбрали (родители и ребёнок, не ортодонт - ортодонт не настаивает) эстетическую самолигирующую (безлигатурную) систему из прозрачного поликристаллического алюминия. Такие брекеты на зубах менее заметны.

Парадокс - одни дети требют металла, так как в школе это модно, другие же хотят остаться в тени.

Про такие брекеты часто говорят, что они хрупкие и ненадёжные. Мол, керамика скалывается, замки ломаются, одно мучение, а не лечение. Однако, опыт показал, что у хорошего ортодонта пациенты обходятся без потерь (потому что важно ещё и клинический случай верно интерпретировать, подбирая аппаратуру).

С лета 2024 года до сегодняшнего дня - полёт отличный:

На момент написания статьи
На момент написания статьи

Полтора года в системе, никаких поломок, никаких проблем с замками. Система работает так, как должна работать.

Керамические брекеты требуют более аккуратного обращения, чем металлические. Но при соблюдении рекомендаций они тоже служат прекрасно.

Клыки в ряду, скученность устранена, но исправление прикуса не закончено

Лето 2024 - установка брекет-системы на верхнюю челюсть. Начали сверху, потому что там основная проблема - недостаток места и клыки, которые нужно грамотно встроить в зубной ряд.

Весна 2025 - установка брекетов на нижнюю челюсть. Дождались, пока верх достаточно "расправится" и только тогда "подключили" низ.

Январь 2026 - текущий момент. Верхняя челюсть в брекетах уже 19 месяцев, нижняя - 9. И это не конец.

Пробежимся по снимкам "до/после":

И с открытым ртом ракурсы:

Клыки встали в ряд, скученность устранена. Зубные дуги расширились, место для всех зубов найдено.

Но это ещё не финал!

Сейчас идёт работа над архитектурой прикуса и окончательным выравниванием зубов - тонкая настройка смыкания, положения отдельных зубов, окклюзионных контактов. Место создали, теперь нужно, чтобы всё выстраивалось канонично.

11 и 13 лет
11 и 13 лет

Вывод

"Зубы вампира" - это не приговор и не особенность, с которой нужно жить и терпеть из последних сил. Это ортодонтическая патология, которая корректируется. И уж точно не удалением клыков (это ОЧЕНЬ важные зубы).

Даже при выраженной скученности и узких челюстях можно обойтись без удаления зубов - если случай позволяет и ортодонт владеет нужными техниками.

Керамические брекеты, как показывает практика, не такие хрупкие, как о них говорят в массе.

Лечение продолжается. Обязательно покажу финальный результат - когда снимем брекеты и установим ретейнеры.

Больше ортодонтических статей и видео в подборке:

Ортодонтические варианты | Parodoctor | Дзен

Вопросы задавайте в моём Telegram-канале - там я их точно увижу и отвечу. В Дзене сотни комментариев под сотнями статей и я физически не успеваю всё мониторить - не смотрю и не отвечаю, никого не удаляю (все вопросы к Дзен, обиды направляйте площадке, пожалуйста). В Telegram все вопросы в одном месте, удобно отвечать, можно фото прикрепить. Так что жду в тг:

Parodoctor

С уважением, Лежачёва Наталия Александровна, хирург-пародонтолог и главный врач стоматологии Parodent, СПб.