Найти в Дзене
Подмосковье

Врачи Московской области спасли подростка с огромным новообразованием в ноге

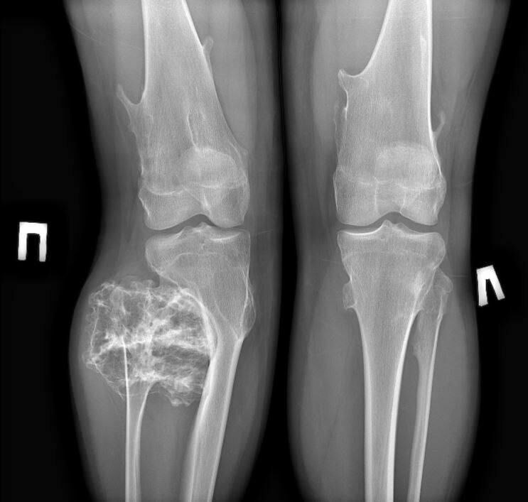
Твердое новообразование в области малоберцовой кости послужило поводом для обращения 15-летнего юноши с родителями в Московскую областную детскую клиническую травматолого-ортопедическую больницу. В ходе обследования врачи поставили диагноз — остеохондрома. Это доброкачественное костное новообразование, вырост на поверхности кости, состоящий из костной ткани, покрытой хрящевой «шапочкой», и чаще всего возникающий в детстве и подростковом возрасте. Его размеры достигали 9х8х8 см. Специалисты приняли решение о плановом хирургическом лечении. В ходе операции врачи успешно удалили опухолевидное образование в пределах здоровой костной ткани. После лечения пациента выписали домой на амбулаторное лечение по месту жительства. Функция ноги сохранена в 100% объеме. Через 3 недели реабилитации он сможет вернуться к привычному образу жизни. 🏙Подмосковье - актуальные новости

Врачи Московской области спасли подростка с огромным новообразованием в ноге

Твердое новообразование в области малоберцовой кости послужило поводом для обращения 15-летнего юноши с родителями в Московскую областную детскую клиническую травматолого-ортопедическую больницу.

В ходе обследования врачи поставили диагноз — остеохондрома. Это доброкачественное костное новообразование, вырост на поверхности кости, состоящий из костной ткани, покрытой хрящевой «шапочкой», и чаще всего возникающий в детстве и подростковом возрасте. Его размеры достигали 9х8х8 см. Специалисты приняли решение о плановом хирургическом лечении.

В ходе операции врачи успешно удалили опухолевидное образование в пределах здоровой костной ткани. После лечения пациента выписали домой на амбулаторное лечение по месту

жительства. Функция ноги сохранена в 100% объеме. Через 3 недели реабилитации он сможет вернуться к привычному образу жизни.

🏙Подмосковье - актуальные новости