Добавить в корзинуПозвонить
Найти в Дзене
Два Дантиста

Запуск новой улыбки

Как мы за 6 шагов подарили пациентке уверенность в себе
Приветствуем в нашем блоге! Сегодня — не теория, а живой пример из практики клиники «Два Дантиста». Расскажем историю пациентки, которой мы провели тотальную реставрацию улыбки. Этот кейс наглядно показывает, как современная стоматология решает даже комплексные проблемы.
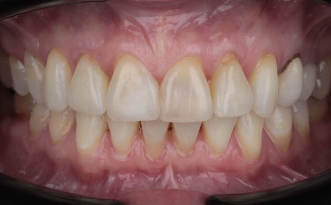
Жалобы: недовольство цветом и формой зубов, сколы на передних зубах,

Как мы за 6 шагов подарили пациентке уверенность в себе

Приветствуем в нашем блоге! Сегодня — не теория, а живой пример из практики клиники «Два Дантиста». Расскажем историю пациентки, которой мы провели тотальную реставрацию улыбки. Этот кейс наглядно показывает, как современная стоматология решает даже комплексные проблемы.

-2

Жалобы: недовольство цветом и формой зубов, сколы на передних зубах, стеснение улыбки на фото и в жизни.

Диагноз: кариес, старые композитные реставрации, требующие замены.

План «спасения» улыбки:

1. Диагностика и 3D-планирование. Сделали цифровые снимки, чтобы увидеть картину полностью и спланировать результат.

2. Санация. Вылечили все очаги кариеса, провели профессиональную гигиену.

3. Имплантация. Установили имплант. Дали время на приживление (остеоинтеграцию).

4. Подготовка к эстетике. Обточили передние зубы для будущих виниров.

5. Финальный этап — реставрация.

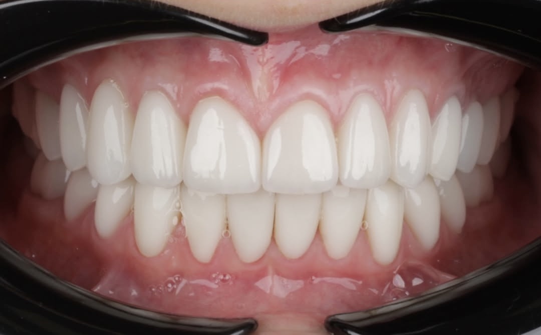
   · На 10 передних зубов зафиксировали керамические виниры. Они идеально подобраны по цвету, полупрозрачности и форме, чтобы выглядеть естественно.

   · На имплант установили циркониевую коронку с керамической облицовкой. Она выдерживает нагрузку и неотличима от натуральных зубов.

6. Контрольный прием. Убедились, что все идеально, и пациентка комфортно себя чувствует.

Что в итоге?

-3

· Полная функциональность: возможность снова может жевать без ограничений.

· Идеальная эстетика: Ровный, естественный белый цвет, гармоничная форма зубов. Виниры на передние зубы полностью преобразили зону улыбки.

· Уверенность: Главный результат, который мы ценим больше всего. Пациентка теперь не скрывает улыбку.

Почему этот кейс о тотальной реставрации так важен?

-4

Он показывает, что современная стоматология — это система. Мы не просто ставим виниры в Санкт-Петербурге или коронку на имплант. Мы разрабатываем комплексное решение, где восстановление зубов (имплантация) и эстетика (виниры) работают в одной команде. Протезирование на имплантах и эстетическая реставрация передних зубов были выполнены в одной клинике, что гарантирует согласованность и предсказуемый результат.

Если история Вам откликнулась, и Вы тоже мечтаете о новой улыбке, не откладывайте. Даже самая сложная ситуация имеет решение.

-5

Запишитесь на консультацию к ортопеду и хирургу-имплантологу клиники «Два Дантиста».

Вместе мы составим ваш персональный план пути к идеальной улыбке.

👉 ЗАПИСАТЬСЯ НА ПРИЕМ можно на нашем сайте или по телефону: +7 (931) 002-03-17

Доверяйте профессионалам. Ваша улыбка стоит того!