Добавить в корзинуПозвонить
Найти в Дзене
ОСЦ Денталюкс

История пациента: полное восстановление зубов

Как отсутствие зубов ухудшает качество жизни? Возникают трудности с пережёвыванием пищи, изменения в дикции, психологический дискомфорт. Сегодня мы расскажем, как современные съёмные протезы помогают вернуть радость полноценной жизни. К стоматологу-ортопеду «Денталюкс» Терёхиной Наталье Сергеевне обратился пациент Р. с жалобами на полное отсутствие зубов на верхней и нижней челюстях. После детального обсуждения всех вариантов и состояния здоровья пациента, были выбраны полные съёмные протезы как оптимальное решение по соотношению цена/качество/скорость реабилитации. Через 2 недели после первого визита пациент Р. получил готовые протезы. Они полностью восстановили способность жевать, чёткую речь и стали восприниматься как собственные зубы после периода адаптации.
Полные съёмные протезы - не «временное решение», а полноценная реабилитация, способная кардинально изменить жизнь пациента. Пример пациента Р. доказывает: даже при полной адентии можно вернуть комфорт, эстетику и уверенность в
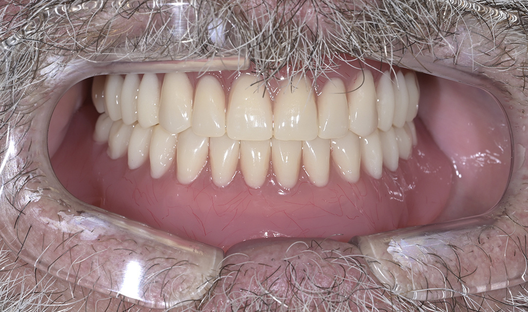
Результат протезирования в стоматологии Денталюкс
Результат протезирования в стоматологии Денталюкс

Как отсутствие зубов ухудшает качество жизни? Возникают трудности с пережёвыванием пищи, изменения в дикции, психологический дискомфорт. Сегодня мы расскажем, как современные съёмные протезы помогают вернуть радость полноценной жизни.

К стоматологу-ортопеду «Денталюкс» Терёхиной Наталье Сергеевне обратился пациент Р. с жалобами на полное отсутствие зубов на верхней и нижней челюстях. После детального обсуждения всех вариантов и состояния здоровья пациента, были выбраны полные съёмные протезы как оптимальное решение по соотношению цена/качество/скорость реабилитации.

Первое обращение в стоматологию Денталюкс Рязань
Первое обращение в стоматологию Денталюкс Рязань

Через 2 недели после первого визита пациент Р. получил готовые протезы. Они полностью восстановили способность жевать, чёткую речь и стали восприниматься как собственные зубы после периода адаптации.

Итоги после протезирования в стоматологии Денталюкс
Итоги после протезирования в стоматологии Денталюкс

Полные съёмные протезы - не «временное решение», а полноценная реабилитация, способная кардинально изменить жизнь пациента. Пример пациента Р. доказывает: даже при полной адентии можно вернуть комфорт, эстетику и уверенность в себе.

В «Денталюкс» мы обеспечиваем: доступные цены, гарантии на оказанные услуги, проведение операций специалистами с 20 летним опытом. На бесплатную первичную консультацию можно записаться по телефону: +7 (4912) 25-05-68.