Добавить в корзинуПозвонить
Найти в Дзене
Москва 24

Подмосковные врачи удалили подростку опухоль размером 9 см в ноге

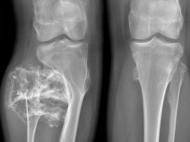
Врачи Московской областной детской клинической травматолого-ортопедической больницы удалили 15-летнему подростку опухоль в ноге размером 9 сантиметров, сообщает телеканал "360" со ссылкой на пресс-службу министерства здравоохранения Подмосковья. У подростка выявили твердое новообразование в области малоберцовой кости. Обследование показало, что это остеохондрома – образование, покрытое хрящевой "шапочкой", которое часто возникает в детском и подростковом возрасте. Как пояснил травматолог Сергей Хохлов, подобные опухоли нередко выявляют случайно из-за отсутствия боли и дискомфорта. "К сожалению, у данного заболевания не бывает обратного развития и единственный метод лечения – хирургический. В ходе операции мы успешно удалили опухолевидное образование в пределах здоровой костной ткани", – поделился врач. Пациента уже выписали домой для дальнейшего амбулаторного наблюдения. Хирургам удалось сохранить полную функцию ноги. Ожидается, что через три недели подросток сможет вернуться к обычном
   Фото: mz.mosreg.ru
Фото: mz.mosreg.ru

Врачи Московской областной детской клинической травматолого-ортопедической больницы удалили 15-летнему подростку опухоль в ноге размером 9 сантиметров, сообщает телеканал "360" со ссылкой на пресс-службу министерства здравоохранения Подмосковья.

У подростка выявили твердое новообразование в области малоберцовой кости. Обследование показало, что это остеохондрома – образование, покрытое хрящевой "шапочкой", которое часто возникает в детском и подростковом возрасте.

Как пояснил травматолог Сергей Хохлов, подобные опухоли нередко выявляют случайно из-за отсутствия боли и дискомфорта.

"К сожалению, у данного заболевания не бывает обратного развития и единственный метод лечения – хирургический. В ходе операции мы успешно удалили опухолевидное образование в пределах здоровой костной ткани", – поделился врач.

Пациента уже выписали домой для дальнейшего амбулаторного наблюдения. Хирургам удалось сохранить полную функцию ноги. Ожидается, что через три недели подросток сможет вернуться к обычному образу жизни.

Ранее сообщалось, что врачи в Москве спасли пациентку на 23-й неделе беременности, поступившую с опухолью паращитовидной железы и сепсисом. Женщине провели паратиреоидэктомию, в ходе которой удалили пораженную железу. Спустя время она стала мамой. У пациентки родился здоровый ребенок весом 2 860 граммов и ростом 45 сантиметров.

Читайте "Москва 24" в Telegram - подписаться