Найти в Дзене
Новости 7info.ru

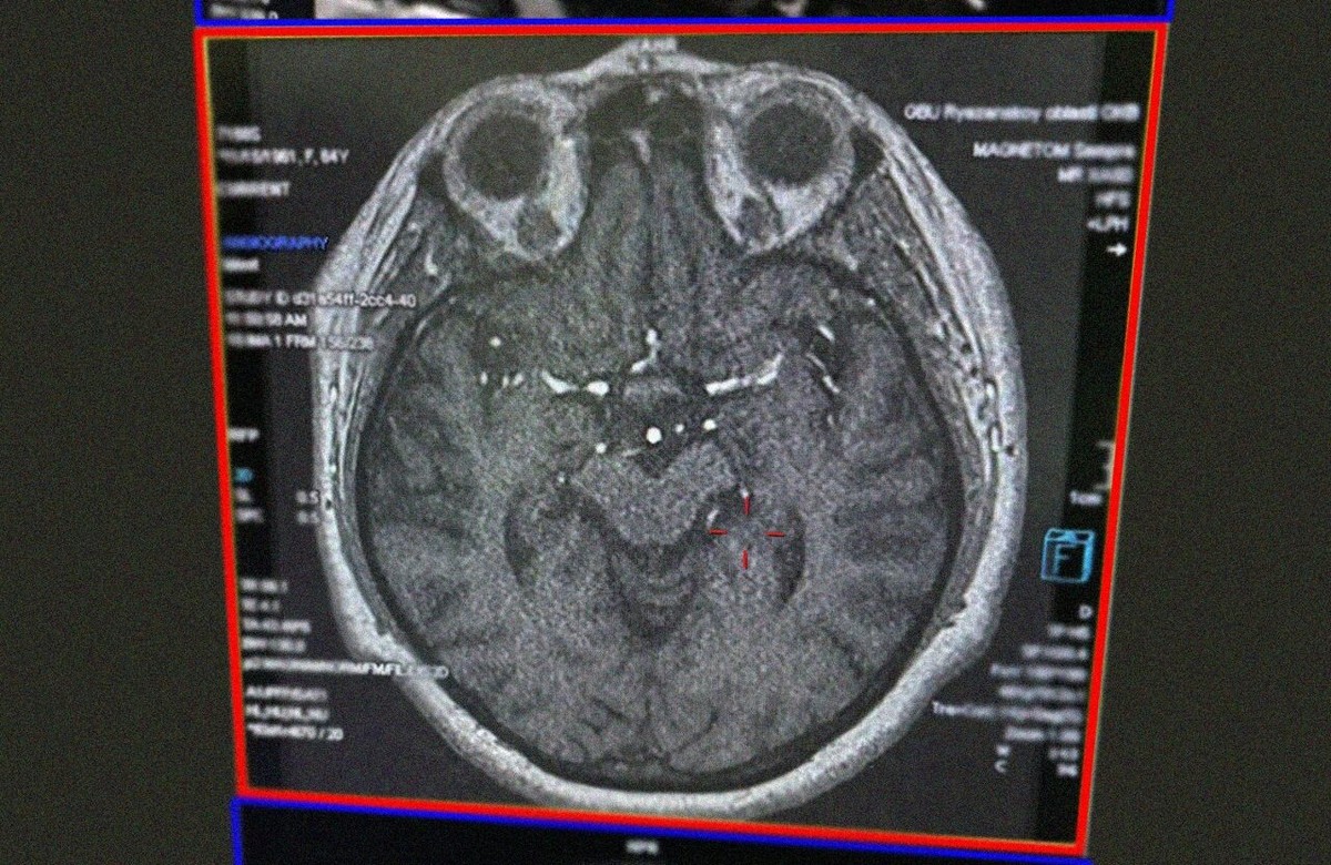
В ОКБ помогли пенсионерке, перенесшей инсульт из-за нездорового образа жизни

Врачи рязанской Областной клинической больницы помогли 80-летней женщине восстановиться после инсульта. Об этом сообщили в медучреждении. В скорую помощь позвонила соседка, которая пришла навестить свою подругу. Они планировали вместе встретить Рождество. Однако, придя в назначенное время, соседка обнаружила, что хозяйка квартиры лежит на полу без признаков жизни. Она немедленно вызвала медиков. Прибывшие врачи предварительно диагностировали инсульт. Пациентку госпитализировали в ОКБ. После тщательного осмотра и изучения анамнеза диагноз был подтверждён. Женщину срочно начали готовить к тромболизису. Через девять дней её состояние значительно улучшилось. Она уже могла передвигаться самостоятельно, и её речь постепенно восстанавливалась. В ходе беседы выяснилось, что к инсульту привели её вредные привычки: длительное курение и потребление жирной, жареной и солёной пищи. Это привело к закупорке сосудов холестериновыми бляшками и нарушению кровоснабжения мозга. Заведующий отделением остры
   Фото: Рязанская ОКБ
Фото: Рязанская ОКБ

Врачи рязанской Областной клинической больницы помогли 80-летней женщине восстановиться после инсульта. Об этом сообщили в медучреждении.

В скорую помощь позвонила соседка, которая пришла навестить свою подругу. Они планировали вместе встретить Рождество. Однако, придя в назначенное время, соседка обнаружила, что хозяйка квартиры лежит на полу без признаков жизни. Она немедленно вызвала медиков.

Прибывшие врачи предварительно диагностировали инсульт. Пациентку госпитализировали в ОКБ. После тщательного осмотра и изучения анамнеза диагноз был подтверждён. Женщину срочно начали готовить к тромболизису.

Через девять дней её состояние значительно улучшилось. Она уже могла передвигаться самостоятельно, и её речь постепенно восстанавливалась. В ходе беседы выяснилось, что к инсульту привели её вредные привычки: длительное курение и потребление жирной, жареной и солёной пищи. Это привело к закупорке сосудов холестериновыми бляшками и нарушению кровоснабжения мозга.

Заведующий отделением острых нарушений мозгового кровообращения, врач высшей категории Олег Сорокин, подчеркнул: «Курение, алкоголь, жирная и солёная пища – главные враги сосудов и основные причины инсульта. Чтобы их предотвратить, нужно больше употреблять овощей и фруктов, заниматься спортом. Лучший и самый доступный способ поддерживать форму – это ходьба. Берегите себя и своё здоровье, ведь оно у нас одно».

А
Анастасия Мериакри