Добавить в корзинуПозвонить
Найти в Дзене
А2 implant

Врач: к.м.н Корж Дмитрий Геннадьевич

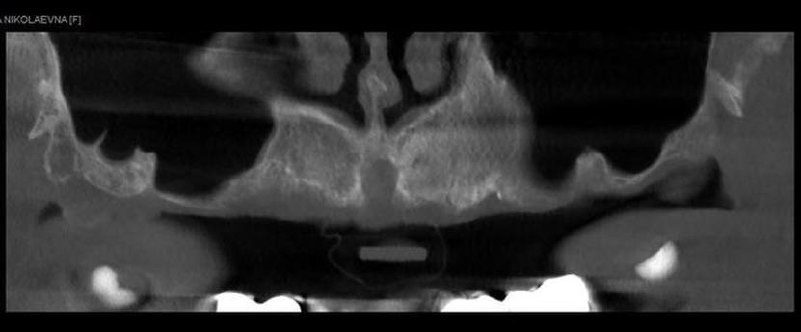
Подготовка к протезированию: Удаления зубов с безнадежным прогнозом и изготовление временного съемного пластиночный протеза сроком на 3 месяца. Объективно: Дефицит кости по ширине. Качество костной ткани - D3-D4. Выраженная пневматизация верхнечелюстной пазухи. Лечение: Учитывая, что имплантаты А2 имеют самую толстую стенку при минимальном диаметре и допускают глубокое погружение принято решение обойтись без дополнительной костной пластики и установить имплантаты диаметром 3,5 мм в доступную кость. Для симуляции хирургического этапа в программе RealGuide напечатана модель. Отмечены целевые точки платформ и апексов имплантатов, произведено пробное сверление, расстановка имплантатов для уточнения длины. Установлены имплантаты диаметром 3,5, длиной от 9,5 до 14 мм. Достигнута бикортикальная фиксация. После установки имплантатов зафиксированы мультиюниты (L). Пластиночный протез перебазирован во рту на титановые основания и использован в качестве адаптационного. Имплантаты в позициях 17

Врач: к.м.н Корж Дмитрий Геннадьевич

Подготовка к протезированию:

Удаления зубов с безнадежным прогнозом и изготовление временного съемного пластиночный протеза сроком на 3 месяца.

Объективно:

Дефицит кости по ширине. Качество костной ткани - D3-D4. Выраженная пневматизация верхнечелюстной пазухи.

Лечение:

Учитывая, что имплантаты А2 имеют самую толстую стенку при минимальном диаметре и допускают глубокое погружение принято решение обойтись без дополнительной костной пластики и установить имплантаты диаметром 3,5 мм в доступную кость.

Для симуляции хирургического этапа в программе RealGuide напечатана модель. Отмечены целевые точки платформ и апексов имплантатов, произведено пробное сверление, расстановка имплантатов для уточнения длины.

Установлены имплантаты диаметром 3,5, длиной от 9,5 до 14 мм. Достигнута бикортикальная фиксация. После установки имплантатов зафиксированы мультиюниты (L).

Пластиночный протез перебазирован во рту на титановые основания и использован в качестве адаптационного.

Имплантаты в позициях 17, 27 не нагружались, несмотря на хорошую первичный стабильность, в связи с дефектами и деформацией нижнего зубного ряда.

To be continued…

 

-2
-3
-4
-5
-6
-7
-8
-9