Найти в Дзене
Dr.Arsenin

КОГДА БОЛЯТ ПАЛЬЦЫ, А ДЕЛО НЕ В СУСТАВАХ

Боль в пальцах часто автоматически считают артритом Но суставы могут быть полностью здоровы ПОЧЕМУ ТАК БЫВАЕТ 🧠 Нервы, идущие к кистям Выходят из шейного и верхнегрудного отдела позвоночника Если там есть — спазм — перегрузка — протрузия — хроническое напряжение Сигнал искажается И боль ощущается в пальцах КАК ЭТО ПРОЯВЛЯЕТСЯ ⚠️ — жжение или ноющая боль — онемение — покалывание — скованность — анализы на артрит в норме ВАЖНЫЙ ПРИЗНАК ❗️ Если боль меняется от положения шеи Или усиливается при движении Проблема может быть не в пальцах А в позвоночнике

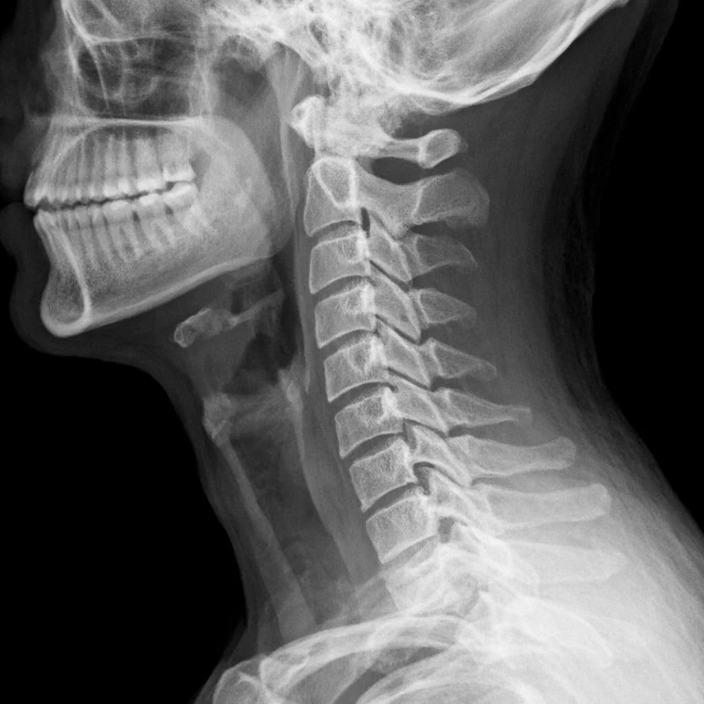
КОГДА БОЛЯТ ПАЛЬЦЫ, А ДЕЛО НЕ В СУСТАВАХ

Боль в пальцах часто автоматически считают артритом

Но суставы могут быть полностью здоровы

ПОЧЕМУ ТАК БЫВАЕТ 🧠

Нервы, идущие к кистям

Выходят из шейного и верхнегрудного отдела позвоночника

Если там есть

— спазм

— перегрузка

— протрузия

— хроническое напряжение

Сигнал искажается

И боль ощущается в пальцах

КАК ЭТО ПРОЯВЛЯЕТСЯ ⚠️

— жжение или ноющая боль

— онемение

— покалывание

— скованность

— анализы на артрит в норме

ВАЖНЫЙ ПРИЗНАК ❗️

Если боль меняется от положения шеи

Или усиливается при движении

Проблема может быть не в пальцах

А в позвоночнике