Добавить в корзинуПозвонить
Найти в Дзене

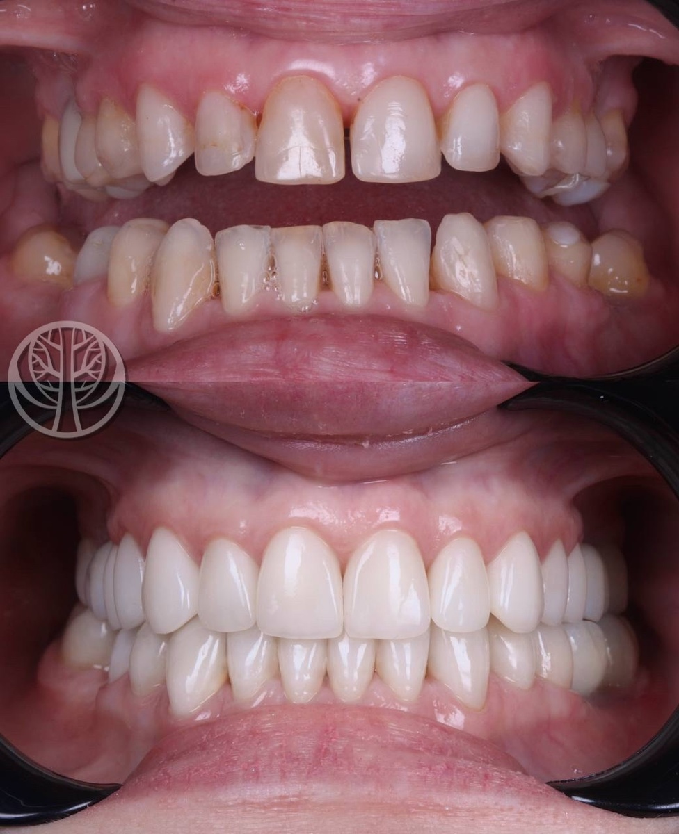
Поэтапный подход в тотальном протезировании

Исходно у пациентки был неправильный прикус, из-за чего со временем нарушилась форма зубов и распределение нагрузки, поэтому работа начиналась не с эстетики, а с выравнивания и стабилизации прикуса
Далее комплексное восстановление с учетом функции, формы и пропорций. Важно было не изменить улыбку, а вернуть ей правильную анатомию и баланс Первый этап
Был изготовлен функциональный Waxup в/ч и н/ч Техник: Ващенков Кирилл Доктор: Гелетин Никита Второй этап
Изготовление постоянных конструкций Техник: Минченко Павел Техник: Ершова Татьяна CAD/CAM: Меренцова Ольга Доктор: Гелетин Никита
В/ч Emax press с нанесением массой Emax Ceram
В/ч Emax press с нанесением массой Emax Ceram

Исходно у пациентки был неправильный прикус, из-за чего со временем нарушилась форма зубов и распределение нагрузки, поэтому работа начиналась не с эстетики, а с выравнивания и стабилизации прикуса
Далее комплексное восстановление с учетом функции, формы и пропорций. Важно было не изменить улыбку, а вернуть ей правильную анатомию и баланс

Н/ч Emax press с нанесением массой Emax Ceram и моляры полная анатомия.
Н/ч Emax press с нанесением массой Emax Ceram и моляры полная анатомия.

Первый этап
Был изготовлен функциональный Waxup в/ч и н/ч

Техник: Ващенков Кирилл

Доктор: Гелетин Никита

Второй этап
Изготовление постоянных конструкций

-3

Техник: Минченко Павел

Техник: Ершова Татьяна

CAD/CAM: Меренцова Ольга

Доктор: Гелетин Никита

-4