Найти в Дзене

Повернутые клыки, щечные коридоры и кривой зуб - еще один случай ортодонтического лечения.

"Не нравится положение клыков" - такой был запрос новой пациентки ортодонтов. Кроме того, беспокоило расположение двойки - зуба рядом с правым клыком, который был немного повернут боком. Выглядело это вот так: В целом, все как будто и не так плохо - развернуть три зуба и ортодонтическое лечение закончено. Однако, на самом деле все было не так просто.
У пациентки сужение в боковых отделах челюсти - мы это видим по верхней челюсти и по щечным коридорам, которые возникли из-за того, что коронки наклонены внутрь. Такое положение зубов наводит мысль о дефиците места в зубном ряду, так как является одной из причин его появления. С этого ракурса видно, что дефицит места действительно присутствует - зубы сильно наклонены, так как пытались уместиться в зубной дуге. Видна глубокая резцовая окклюзия - верхние зубы перекрывают нижние больше, чем положено. Это приводит к сильной стираемости, повреждению эмали и дентина. 27 зуб (последний в зубном ряду верхней челюсти), в отличие от остальных

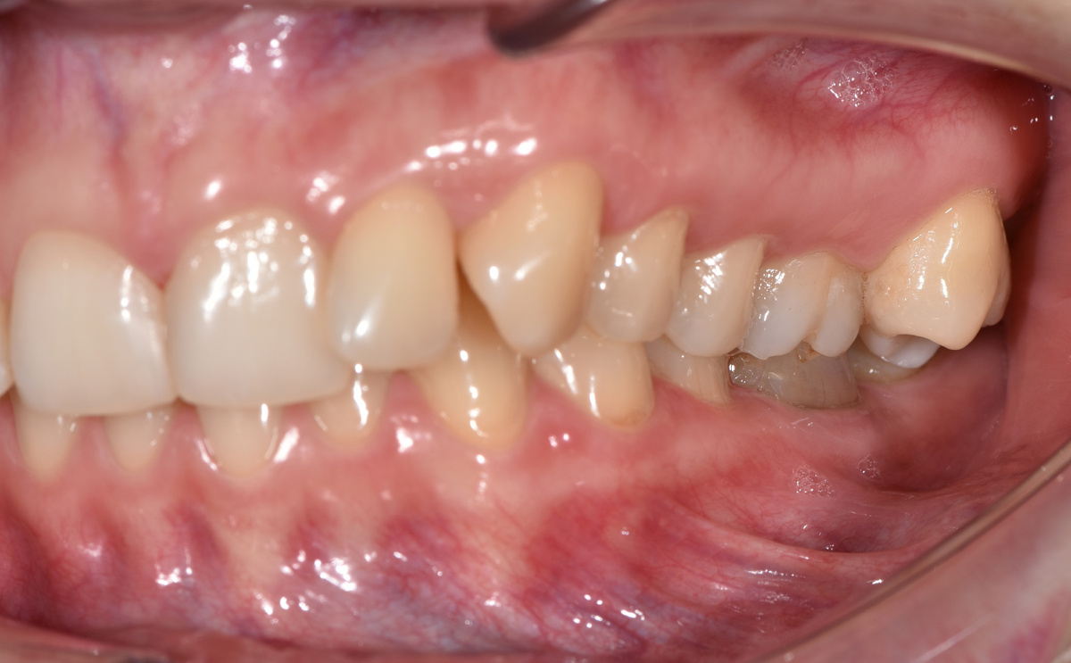
"Не нравится положение клыков" - такой был запрос новой пациентки ортодонтов. Кроме того, беспокоило расположение двойки - зуба рядом с правым клыком, который был немного повернут боком.

Выглядело это вот так:

фото до лечения
фото до лечения

В целом, все как будто и не так плохо - развернуть три зуба и ортодонтическое лечение закончено. Однако, на самом деле все было не так просто.

У пациентки сужение в боковых отделах челюсти - мы это видим по верхней челюсти и по щечным коридорам, которые возникли из-за того, что коронки наклонены внутрь.

Такое положение зубов наводит мысль о дефиците места в зубном ряду, так как является одной из причин его появления.

-2

С этого ракурса видно, что дефицит места действительно присутствует - зубы сильно наклонены, так как пытались уместиться в зубной дуге. Видна глубокая резцовая окклюзия - верхние зубы перекрывают нижние больше, чем положено. Это приводит к сильной стираемости, повреждению эмали и дентина.

27 зуб (последний в зубном ряду верхней челюсти), в отличие от остальных зубов, наклонен во внешнюю сторону от нижней челюсти, блокируя ее. Это называется перекрестное соотношение и может вызвать функциональные смещения нижней челюсти и проблемы с суставом - болезненность, щелканье, головные боли и т.д.

Кроме того, есть сильное смещение расположения зубов и их антагонистов. Это хорошо прослеживается на таких фото:

-3

Зубы на верхней челюсти уходят вперед больше, чем на половину зуба, а клык на целый зуб. Клык повернут, так как пытается найти контакт с антагонистом и выходит еще дальше, образуя патологические контакты и искривления.

Передние зубы наклонены назад, что смещает челюсть, зажимая ее. Нагрузка не распределяется равномерно, поэтому уже видны места стираемости, которая будет прогрессировать.

Так небольшая эстетическая проблема преобразовалась в серьезные показания к ортодонтическому лечению.

Врачи в ходе лечения на элайнерах поставили боковые зубы более вертикально, и за счет этого добились хорошей ширины зубной дуги - то есть убрали дефицит места.

-4

В процессе лечения ортодонт вместе с пациенткой приняли решение удалить 27 зуб - тот самый, который были сильно наклонен и блокировал челюсть, и поставить на его место 28 зуб. Промежуток от удаленного 27 зуба был полностью закрыт, как видно по фото.

Клыки тоже выровняли и поставили на место - после расширения зубной дуги и ликвидации дефицита места.

-5

Совместили центры верхней и нижней челюсти, убрали глубокое резцовое перекрытие, предотвратили дальнейшую стираемость и риск возникновения дисфункции височно-нижнечелюстного сустава.

Внедрили в зубной ряд переднюю группу зубов на нижней челюсти, расширив ее. В боковом отделе были проведены реставрации по восстановлению анатомической формы зубов, для того чтобы восстановить утраченные зубные ткани и убрать старые пломбы.

Результат получился идеальный:

-6

Вывод: часто эстетические недостатки возникают из-за проблем со здоровьем, которые решаются только у врача. Так что повернутый клык - это не повод комплексовать, но повод обратиться к врачу за консультацией.