Найти в Дзене

РЕНТГЕН ХОРОШИЙ. А СУСТАВ - ПЛОХОЙ

Довольно частая история: болит тазобедренный сустав. Во время ходьбы, после ходьбы… Вдруг, в течение года ни с того, ни с сего… Люди делают рентген (как в начале статьи), а там - ничего. Точнее, как обычно пишут рентгенологи, двусторонний коксартроз 1-2 ст. То есть, ничего выдающегося, просто суставами давно пользуются. Но болит-то один! Кстати, на этом фото действительно не видно, какой именно,

Довольно частая история: болит тазобедренный сустав. Во время ходьбы, после ходьбы… Вдруг, в течение года ни с того, ни с сего… Люди делают рентген (как в начале статьи), а там - ничего. Точнее, как обычно пишут рентгенологи, двусторонний коксартроз 1-2 ст. То есть, ничего выдающегося, просто суставами давно пользуются. Но болит-то один! Кстати, на этом фото действительно не видно, какой именно, можно только гадать.

Ходят такие люди, мыкаются, таблетки пьют, некоторые даже упражнения пытаются делать, а толку - чуть. Хорошо, некоторые сами себе назначают МРТ, и вот тут все сразу встаёт на свои места.

Я не знаю, почему - нет официальных данных, но за последние лет 10 очень сильно поменялась структура заболеваний тазобедренного сустава. Раньше был в основном первичный артроз, меньше артритов различных, еще меньше - некрозов головки бедра.

Сейчас артриты встречаю очень редко, зато некрозов - процентов 35 от общего числа пациентов. КОВИД, конечно, внёс свою лепту, но и до него, и сильно после некрозы идут, и идут. Что-то с нами происходит, что-то мы делаем не так. Самое очевидное - меньше двигаемся, но это просто догадка.

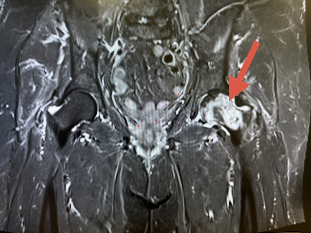
Возвращаясь к пациентке, чей рентген я показал вверху. Первое же МРТ - и диагноз ясен и очевиден: асептический (он же - аваскулярный) некроз головки левой бедренной кости.

-2

Опять же: не нужно быть специалистом, чтоы увидеть, как сильно изменена структура головки левого бедра (стрелка). Справа, в отличие от левого, кость совершенно нормальная.

Разумеется, единственный правильный вариант - менять сустав. Поменял:

-3

Не поленился, распилил головку, и - вот он, некроз:

-4

Совершенно лишенная кровоснабжения кость, совершенно отслоившийся от погибшей кости хрящ. Внешне, кстати, головка выглядела идеально:

-5

Отличный хрящ. Ему бы ходить, и ходить, но - нет, жизнь распорядилась иначе.

Слава богу, что довольно быстро поставили диагноз, и не стали тянуть с операцией. Пациентке 70, ей нужно двигаться, а не сидеть в поликлиниках и пачками пить бесполезные таблетки.

На второй день после операции уже ходила по коридору:

-6

Сустав не болит, он же искусственный )))