Добавить в корзинуПозвонить
Найти в Дзене

Инородные тела в организме человека (18+)

Работая в медицине не перестаешь удивляться не только разнообразию проявлений болезней.. но и человеческой глупости. Как говорил Эйнштейн, ей нет предела. И действительно, ситуации в которые люди сами себя загоняют, порой просто шокируют. Внимание! Просьба закрыть статью если Вы особо чувствительны а также если Вам не исполнилось 18 лет. Итак, приступим. Подборка наблюдений моих коллег-диагностов из разных стран. Рентгеновский снимок молодой женщины, которая периодически проглатывала булавки и лезвия бритвы, показывает открытую английскую булавку в нисходящей ободочной кишке. Что интересно, как сообщили коллеги, булавка вышла без затруднений. *** На КТ выявлена зубная щетка в просвете прямой и сигмовидной кишки у пациента. Сам он ее достать не смог. Доктора смогли решить эту проблему. *** На КТ определяется кабачок в брюшной полости мужчины. Как он там оказался? Он мигрировал туда.. после разрыва прямой кишки. Из отклонений (помимо овоща), на этом изображении видно еще и скопление жи

Работая в медицине не перестаешь удивляться не только разнообразию проявлений болезней.. но и человеческой глупости. Как говорил Эйнштейн, ей нет предела. И действительно, ситуации в которые люди сами себя загоняют, порой просто шокируют.

Внимание! Просьба закрыть статью если Вы особо чувствительны а также если Вам не исполнилось 18 лет.

Итак, приступим. Подборка наблюдений моих коллег-диагностов из разных стран.

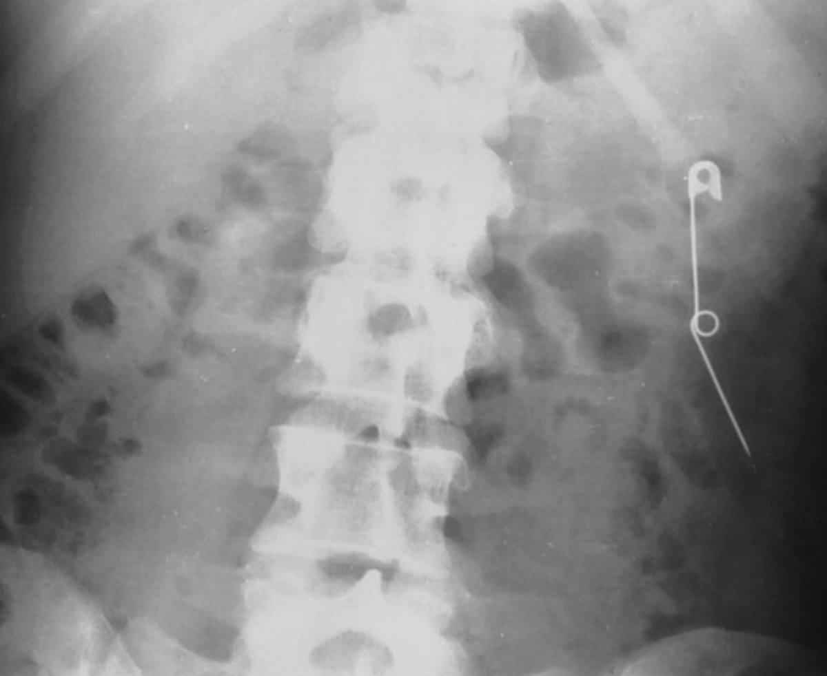
Рентгеновский снимок молодой женщины, которая периодически проглатывала булавки и лезвия бритвы, показывает открытую английскую булавку в нисходящей ободочной кишке.
Рентгеновский снимок молодой женщины, которая периодически проглатывала булавки и лезвия бритвы, показывает открытую английскую булавку в нисходящей ободочной кишке.

Рентгеновский снимок молодой женщины, которая периодически проглатывала булавки и лезвия бритвы, показывает открытую английскую булавку в нисходящей ободочной кишке. Что интересно, как сообщили коллеги, булавка вышла без затруднений.

***

КТ мужчины. Выявлена зубная щетка в просвете прямой и сигмовидной кишки
КТ мужчины. Выявлена зубная щетка в просвете прямой и сигмовидной кишки

На КТ выявлена зубная щетка в просвете прямой и сигмовидной кишки у пациента. Сам он ее достать не смог. Доктора смогли решить эту проблему.

***

На КТ мужчины определяется кабачок в брюшной полости. Как он там оказался? Он попал туда после разрыва прямой кишки
На КТ мужчины определяется кабачок в брюшной полости. Как он там оказался? Он попал туда после разрыва прямой кишки

На КТ определяется кабачок в брюшной полости мужчины. Как он там оказался? Он мигрировал туда.. после разрыва прямой кишки.

Из отклонений (помимо овоща), на этом изображении видно еще и скопление жидкости в брюшной полости (под куполом диафрагмы справа), наверняка здесь возникло осложнение - перитонит, поскольку содержимое кишечника, мягко говоря, не стерильное. И это по-настоящему жизнеугрожающая ситуация.

***

Ректовагино-везикальный свищ, вызванный пролежнем из-за наличия зубных протезов в просвете прямой кишки.
Ректовагино-везикальный свищ, вызванный пролежнем из-за наличия зубных протезов в просвете прямой кишки.

КТ пожилой женщины. Ректовагино-везикальный свищ, вызванный пролежнем из-за наличия зубных протезов в просвете прямой кишки. Пожилые люди иногда проглатывают зубные протезы, и они могут перемещаться по желудочно-кишечному тракту. В данной ситуации возникла перфорация стенки кишки со всеми вытекающими.

***

На рентгенограме 2-х летней девочки заколка для волос в просвете мочевого пузыря
На рентгенограме 2-х летней девочки заколка для волос в просвете мочевого пузыря

Рентгенограма 2-х летней девочки. Определяется заколка для волос в просвете мочевого пузыря. Тут, я думаю, никакого злого умысла не было, возможно ребенок играл заколкой. Ее извлекли без операции, с помощью цистоскопа.

***

Стакан для напитков в просвете прямой кишки
Стакан для напитков в просвете прямой кишки

Рентгенограмма мужчины. Стакан для напитков в просвете прямой кишки. Как говорит мой знакомый проктолог, пациенты такие ситуации объясняют тем, что неудачно падают на предметы.

***

Рентгенограмма молодой женщины. Видна тень менструальной чаши
Рентгенограмма молодой женщины. Видна тень менструальной чаши

Рентгенограмма молодой женщины. Видна тень менструальной чаши. Тут все ок, данный девайс все чаще встречаем.

***

На КТ в прямой кишке мужчины выявлена бутылка кока-колы
На КТ в прямой кишке мужчины выявлена бутылка кока-колы

На КТ в прямой кишке мужчины выявлена бутылка кока-колы. Праздник к нам приходит!

На КТ в прямой кишке мужчины выявлена бутылка кока-колы. 3D реконструкция
На КТ в прямой кишке мужчины выявлена бутылка кока-колы. 3D реконструкция

***

Батарейка от часов в поперечной ободочной кишке 4-летней девочки
Батарейка от часов в поперечной ободочной кишке 4-летней девочки

Батарейка от часов в поперечной ободочной кишке 4-летней девочки. Она вышла без осложнений, операция не потребовалась.

***

19-летняя женщина с заколкой для волос, застрявшей в матке после попытки аборта
19-летняя женщина с заколкой для волос, застрявшей в матке после попытки аборта

19-летняя женщина с заколкой для волос, застрявшей в матке после попытки аборта. Категорически не рекомендуется так делать, это опасно для жизни!

На сегодня пока, думаю хватит.

Продолжение следует!

Если материал был интересен, просьба поставить 💙

Автор: Кокунин Алексей Олегович \ врач МРТ, КТ, рентгенолог \ Высшая категория \ Член Европейского общества радиологов (ESR)

Telegram - канал: https://t.me/prodiagnosi

Читать ещё: