Добавить в корзинуПозвонить
Найти в Дзене
DEXIS Russia

Восстановление фронтальных зубов ультратонкими винирами: клинический случай

Клинический случай из практики стоматолога-ортопеда Николая Архангельского. Со временем даже качественные композитные реставрации могут терять эстетику и функциональность, что требует более предсказуемого и долговечного решения. Пациент, 34 года, обратился с жалобами на скол давних композитных реставраций. При клиническом осмотре выявлены сколы режущих краев и несостоятельность ранее выполненных реставраций. С учетом клинической ситуации было принято решение о восстановлении зубов 1.1–2.1 с помощью ультратонких керамических виниров с минимальной инвазией. Клинический этап Препаровка проводилась в пределах эмали и носила селективный характер. В отдельных зонах ограничились лишь выравниванием поверхности без излишнего снятия твердых тканей. Для получения оттиска был использован беспроводной интраоральный сканер DEXIS IS 3800W. Проведено сканирование верхней и нижней челюстей, а также регистрация окклюзии. Полученные цифровые данные были переданы в лабораторию без дополнительных промежуто
Оглавление

Клинический случай из практики стоматолога-ортопеда Николая Архангельского.

Со временем даже качественные композитные реставрации могут терять эстетику и функциональность, что требует более предсказуемого и долговечного решения.

Описание клинического случая

Пациент, 34 года, обратился с жалобами на скол давних композитных реставраций. При клиническом осмотре выявлены сколы режущих краев и несостоятельность ранее выполненных реставраций.

Исходная клиническая ситуация
Исходная клиническая ситуация

С учетом клинической ситуации было принято решение о восстановлении зубов 1.1–2.1 с помощью ультратонких керамических виниров с минимальной инвазией.

Клинический этап

Препаровка проводилась в пределах эмали и носила селективный характер. В отдельных зонах ограничились лишь выравниванием поверхности без излишнего снятия твердых тканей.

Для получения оттиска был использован беспроводной интраоральный сканер DEXIS IS 3800W. Проведено сканирование верхней и нижней челюстей, а также регистрация окклюзии. Полученные цифровые данные были переданы в лабораторию без дополнительных промежуточных этапов.

Подбор цвета. Сохранение диастемы по просьбе пациента
Подбор цвета. Сохранение диастемы по просьбе пациента

Использование интраорального сканирования позволило получить точную информацию о краях препаровки и рельефе зубов, а также значительно упростило коммуникацию с зубным техником.

Препарирование
Препарирование
Толщина препарирования
Толщина препарирования

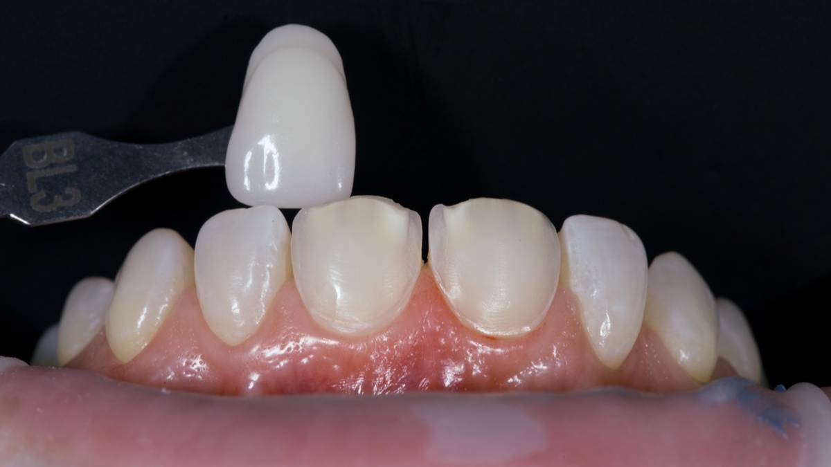
Лабораторный этап

На основании цифровых данных была изготовлена модель, после чего техник Леонид Шашкин перешел к работе с рефракторной массой. Выбор рефракторной техники был обусловлен необходимостью изготовления виниров минимальной толщины без потери эстетических характеристик.

-5

Керамика наносилась послойно с учетом индивидуальных особенностей оптики зубов пациента. Особое внимание уделялось переходу в пришеечной области и прозрачности режущего края. Средняя толщина виниров составила 0,3–0,5 мм.

После завершения обжига и глазуровки реставрации были переданы в клинику для примерки.

-6
-7
-8
-9

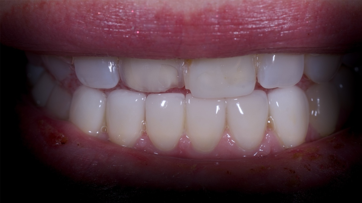
Фиксация и клинический результат

Во время примерки отмечено точное краевое прилегание и соответствие формы предварительному планированию. После согласования с пациентом была выполнена адгезивная фиксация виниров по стандартному протоколу с использованием композитного цемента NX3 от Kerr.

Реставрации в полости рта. Диастема сохранена по просьбе пациента

-10
-11
-12

Работа в полости рта пациента через 6 месяцев:

-13

После лечения пациент отметил значительное улучшение эстетики улыбки при сохранении естественного внешнего вида зубов. Клинический контроль подтвердил стабильность результата.

Обсуждение

Представленный клинический случай показывает, что сочетание интраорального сканирования и рефракторной техники позволяет эффективно решать задачи эстетической реабилитации при минимальном вмешательстве. Несмотря на активное развитие CAD/CAM-технологий, ручная работа техника остается ключевым фактором при создании высокоэстетичных ультратонких реставраций.

Заключение

Интраоральное сканирование в сочетании с изготовлением виниров на рефракторе является надежным и предсказуемым методом лечения пациентов с высокими эстетическими требованиями. Данный подход позволяет сохранить твердые ткани зубов и добиться гармоничного и естественного результата.

__________________

Информация, представленная в данном клиническом кейсе, основана на мнении Николая Архангельского, специалиста в области медицины (врача), работающего с продукцией DEXIS. Все заявленные мнения и результаты не могут рассматриваться как официальные медицинские рекомендации, не являются медицинскими советами и не заменяют профессиональное медицинское заключение.

Производитель продукции DEXIS, равно как и компания ООО «И Эйч Руссланд», не несет ответственности за любые результаты или последствия, возникшие в результате использования данной информации. Продукция DEXIS не предназначена для личного, семейного, домашнего использования, в том числе использования не медицинскими специалистами (врачами). Врачи должны руководствоваться собственным профессиональным мнением в случае применения продукции при диагностике и лечении пациентов.