Добавить в корзинуПозвонить
Найти в Дзене
DEXIS Russia

Ультратонкие виниры в эстетически значимой зоне: клинический случай с применением интраорального сканирования и рефракторной техники

За последние годы цифровые технологии прочно вошли в повседневную практику ортопедической стоматологии. Интраоральное сканирование стало неотъемлемой частью работы врача, постепенно вытесняя традиционные оттиски, особенно при работе в эстетически значимой зоне. В то же время при изготовлении ультратонких виниров по-прежнему остается актуальной ручная работа зубного техника, в частности процесс нанесения керамики на рефракторе, позволяющая добиться высокой эстетики и минимальной толщины реставраций. В данной статье врач-стоматолог ортопед Николай Архангельский делится клиническим случаем, демонстрирующим применение интраорального сканирования и последующее изготовление тонких керамических виниров на рефракторной модели. Пациент, 32 года, обратился с жалобами на неудовлетворительный внешний вид зубов верхней фронтальной группы. Основные претензии касались цвета и формы двух передних зубов на верхней челюсти, а также общей невыразительности улыбки. При клиническом осмотре выявлены интактн
Оглавление

За последние годы цифровые технологии прочно вошли в повседневную практику ортопедической стоматологии. Интраоральное сканирование стало неотъемлемой частью работы врача, постепенно вытесняя традиционные оттиски, особенно при работе в эстетически значимой зоне. В то же время при изготовлении ультратонких виниров по-прежнему остается актуальной ручная работа зубного техника, в частности процесс нанесения керамики на рефракторе, позволяющая добиться высокой эстетики и минимальной толщины реставраций.

В данной статье врач-стоматолог ортопед Николай Архангельский делится клиническим случаем, демонстрирующим применение интраорального сканирования и последующее изготовление тонких керамических виниров на рефракторной модели.

Описание клинического случая:

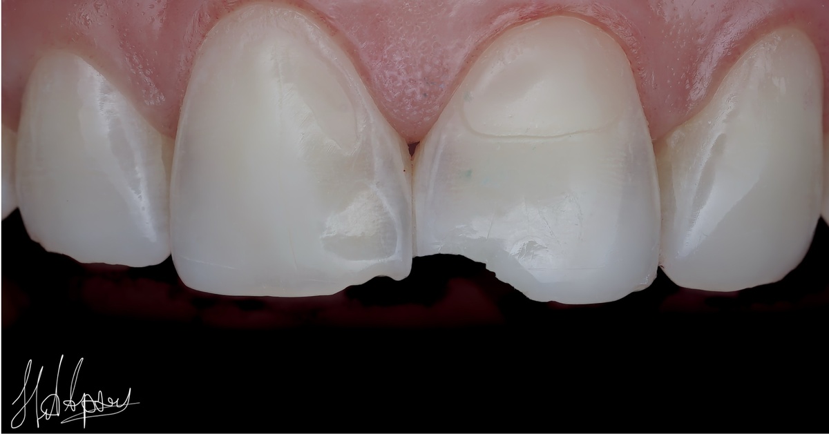
Пациент, 32 года, обратился с жалобами на неудовлетворительный внешний вид зубов верхней фронтальной группы. Основные претензии касались цвета и формы двух передних зубов на верхней челюсти, а также общей невыразительности улыбки.

Исходная клиническая ситуация
Исходная клиническая ситуация

При клиническом осмотре выявлены интактные твердые ткани зубов, незначительная стираемость, сколы режущих краев и изменение оттенка эмали.

С учетом клинической ситуации было принято решение о восстановлении зубов 1.1-2.1 с помощью ультратонких керамических виниров с минимальной инвазией.

Клинический этап:

Первая манипуляция была проведена путем моделирования композитом до получения пациентом одобрения по форме зубов. Этот этап был зафиксирован с помощью интраорального сканера DEXIS IS 3800W и передан зубному технику Леониду Шашкину.

-2

В дополнении нужно отметить отправку фото с картой баланса белого.

-3

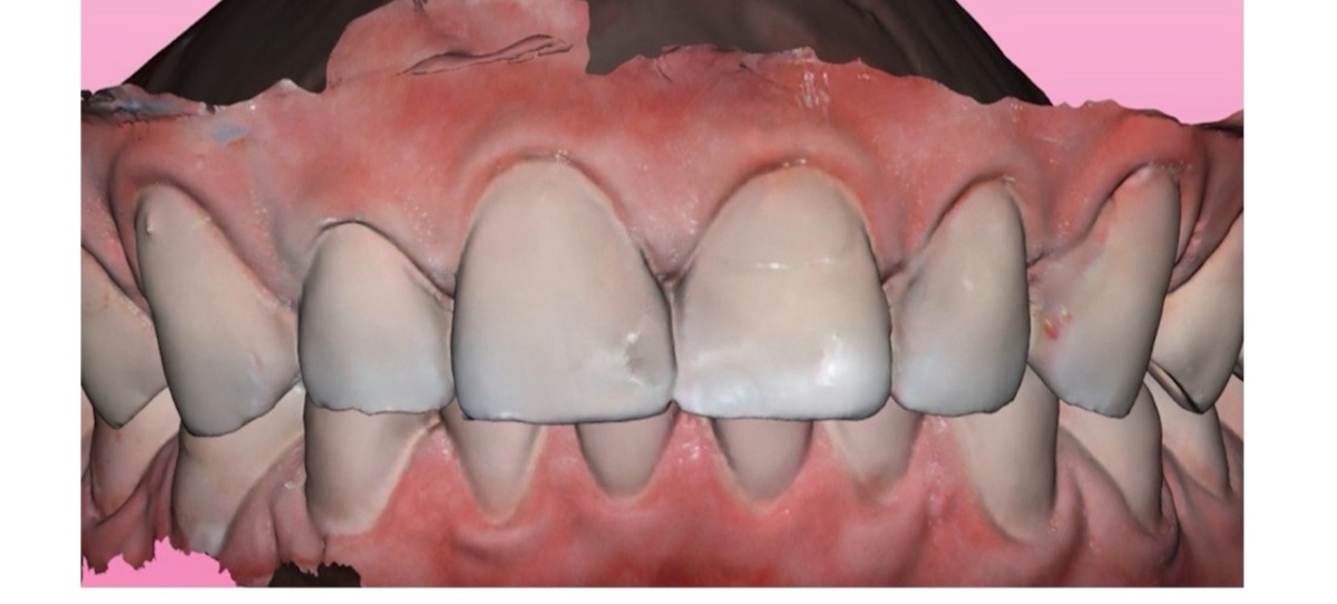
Препаровка проводилась в пределах эмали и носила селективный характер. В отдельных зонах ограничились лишь выравниванием поверхности без снятия твердых тканей.

Подготовка для изготовления виниров на рефракторах
Подготовка для изготовления виниров на рефракторах

Препарирование

Для получения оттиска использовался беспроводной интраоральный сканер DEXIS IS 3800W. Проведено сканирование верхней и нижней челюстей, а также регистрация окклюзии. Полученные цифровые данные были переданы в лабораторию без дополнительных промежуточных этапов.

Использование интраорального сканирования позволило получить точную информацию о краях препаровки и рельефе зубов, а также значительно упростило коммуникацию с зубным техником.

-5
Толщина препарирования
Толщина препарирования

Лабораторный этап

На основании цифровых данных была изготовлена модель, после чего техник перешел к работе с рефракторной массой. Выбор рефракторной техники был обусловлен необходимостью изготовления виниров минимальной толщины без потери эстетических характеристик.

Керамика наносилась послойно с учетом индивидуальных особенностей оптики зубов пациента. Особое внимание уделялось переходу в пришеечной области и прозрачности режущего края. Средняя толщина виниров составила 0,1-0,6 мм.

Виниры на принтованной модели
Виниры на принтованной модели

Фиксация и клинический результат

Во время примерки отмечено точное краевое прилегание и соответствие формы предварительному планированию. После согласования с пациентом была выполнена адгезивная фиксация виниров по стандартному протоколу с использованием адгезива OptiBond™ FL и композитного цемента NX3 от Kerr.

После лечения пациент отметил значительное улучшение эстетики улыбки при сохранении естественного внешнего вида зубов. Клинический контроль подтвердил стабильность результата.

-8
-9
Арт с прозрачным краем
Арт с прозрачным краем
Результат через 6 месяцев
Результат через 6 месяцев

Обсуждение

Представленный клинический случай показывает, что сочетание интраорального сканирования и рефракторной техники позволяет эффективно решать задачи эстетической реабилитации при минимальном вмешательстве. Несмотря на активное развитие CAD/CAM-технологий, ручная работа техника остается ключевым фактором при создании высокоэстетичных ультратонких реставраций.

Заключение

Интраоральное сканирование в сочетании с изготовлением виниров на рефракторе является надежным и предсказуемым методом лечения пациентов с высокими эстетическими требованиями. Данный подход позволяет сохранить твердые ткани зубов, обеспечить точность исполнения и добиться гармоничного, естественного результата.

__________________

Информация, представленная в данном клиническом кейсе, основана на мнении Николая Архангельского, специалиста в области медицины (врача), работающего с продукцией DEXIS.
Все заявленные мнения и результаты не могут рассматриваться как официальные медицинские рекомендации, не являются медицинскими советами и не заменяют профессиональное медицинское заключение.

Производитель продукции DEXIS, равно как и компания ООО «И Эйч Руссланд», не несет ответственности за любые результаты или последствия, возникшие в результате использования данной информации.
Продукция DEXIS не предназначена для личного, семейного, домашнего использования, в том числе использования не медицинскими специалистами (врачами). Врачи должны руководствоваться собственным профессиональным мнением в случае применения продукции при диагностике и лечении пациентов.