Найти в Дзене
Екатерина Ляпина

Когда один винт решает всё

Коррекция верхнего центра часто требует серьёзного подхода. Но иногда достаточно одного крошечного помощника — минивинта. 🌟 На фото видно, как эффективно работает этот метод. Всего один винт, который практически незаметен и не мешает пациентке в повседневной жизни, при этом отлично корректирует положение верхних зубов.🦷 Многие боятся установки винта — но напрасно! Процедура вполне терпимая. Знаю это не понаслышке: себе тоже ставила такой винт во время ортодонтического лечения. Винт на фото вообще не ощущается пациентом — настолько он компактный и удобно расположен. При этом результат получается отличный! Дистализация — это смещение зубов назад для создания места или коррекции прикуса. С минивинтом этот процесс проходит намного быстрее и эффективнее, чем без него. Слышали о минивинтах раньше?)

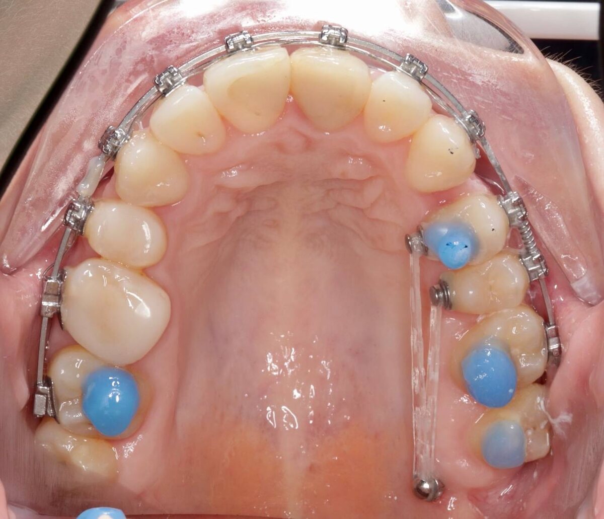
Когда один винт решает всё

Коррекция верхнего центра часто требует серьёзного подхода. Но иногда достаточно одного крошечного помощника — минивинта. 🌟

На фото видно, как эффективно работает этот метод. Всего один винт, который практически незаметен и не мешает пациентке в повседневной жизни, при этом отлично корректирует положение верхних зубов.🦷

Многие боятся установки винта — но напрасно! Процедура вполне терпимая.

Знаю это не понаслышке: себе тоже ставила такой винт во время ортодонтического лечения.

Винт на фото вообще не ощущается пациентом — настолько он компактный и удобно расположен. При этом результат получается отличный!

Дистализация — это смещение зубов назад для создания места или коррекции прикуса. С минивинтом этот процесс проходит намного быстрее и эффективнее, чем без него.

Слышали о минивинтах раньше?)