Добавить в корзинуПозвонить
Найти в Дзене

Перелом 5-й плюсневой кости (перелом Джонса): как распознать, сколько срастается, когда нужна операция

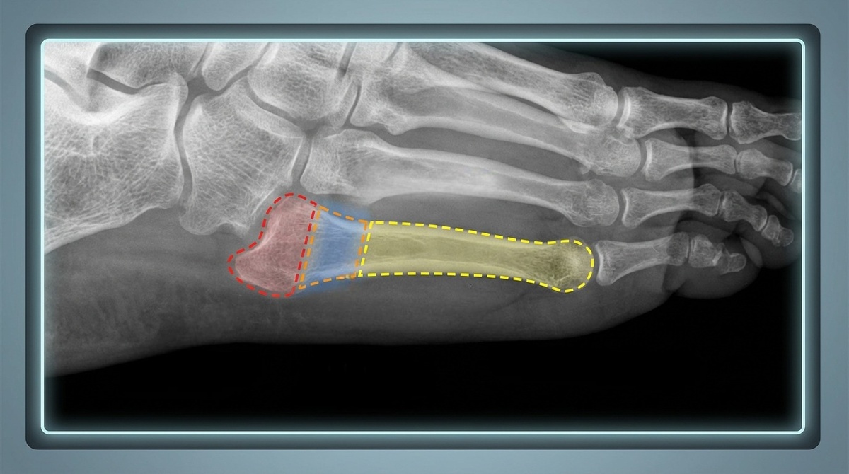
Снаружи стопы, ближе к мизинцу, есть место-ловушка: основание 5-й плюсневой кости. Достаточно неловко повернуться на носке, съехать с бордюра или приземлиться на внешний край, и появляется боль, которая на следующий день уже не выглядит «растяжением». Перелом Джонса коварен тем, что находится в зоне сравнительно слабого кровоснабжения, поэтому у него чаще бывают задержка сращения и несращение. Wikipedia: Перелом плюсневых костей У основания 5-й плюсневой условно выделяют три зоны: Почему столько внимания к зоне 2? Потому что это сосудистое «пограничье» — крови здесь меньше, а значит, кость срастается более капризно и медленно. Если коротко: боль не “в голеностопе”, а по наружному краю стопы ближе к основанию мизинца. Типичные симптомы (да, прям чек-лист): Частая ошибка: «Я могу наступать — значит, не перелом». Можете. Перелом Джонса не обязан выключать ногу сразу. Оценивают не героизм, а локальную точку боли и реакцию на нагрузку. По “средним цифрам”, которые чаще всего совпадают с реа
Оглавление

Снаружи стопы, ближе к мизинцу, есть место-ловушка: основание 5-й плюсневой кости.

Достаточно неловко повернуться на носке, съехать с бордюра или приземлиться на внешний край, и появляется боль, которая на следующий день уже не выглядит «растяжением».

Перелом Джонса коварен тем, что находится в зоне сравнительно слабого кровоснабжения, поэтому у него чаще бывают задержка сращения и несращение. Wikipedia: Перелом плюсневых костей

Где именно находится “перелом Джонса” и чем он отличается от других

У основания 5-й плюсневой условно выделяют три зоны:

  • Зона 1: отрывной перелом бугристости (обычно заживает легче).
  • Зона 2: перелом Джонса, переход между основанием и телом кости.
  • Зона 3: ближе к диафизу, нередко стресс-переломы.

Почему столько внимания к зоне 2?

Потому что это сосудистое «пограничье» — крови здесь меньше, а значит, кость срастается более капризно и медленно.

-2

Как распознать: признаки, которые реально помогают

Если коротко: боль не “в голеностопе”, а по наружному краю стопы ближе к основанию мизинца.

Типичные симптомы (да, прям чек-лист):

  • резкая боль снаружи стопы после подворачивания/поворота;
  • отек и синяк по наружному краю;
  • боль усиливается при опоре и особенно при отталкивании;
  • точечная болезненность при нажатии на основание 5-й плюсневой;
  • ходьба “на пятке” возможна, но нормальная походка разваливается.

Частая ошибка:

«Я могу наступать — значит, не перелом».

Можете. Перелом Джонса не обязан выключать ногу сразу. Оценивают не героизм, а локальную точку боли и реакцию на нагрузку.

Диагностика: как не гадать

-3
  1. Рентген стопы (обычно 3 проекции) это первый шаг. Диагноз чаще всего подтверждают именно так.
  2. Если симптомы выраженные, а рентген «чистый», врач может:
  • вести ситуацию как скрытый перелом и повторить снимок позже;
  • назначить МРТ (лучше видит стресс-повреждение и отёк кости);
  • использовать КТ для оценки линии перелома и контроля сращения.

Сколько срастается: честные сроки

По “средним цифрам”, которые чаще всего совпадают с реальностью:

  • на Википедии для Jones fracture указан диапазон 6–12 недель на заживление (как ориентир, не как обещание).
  • консервативно обычно начинают с гипса/ботинка и режима без нагрузки минимум 6 недель, иногда продлевают еще на 6 недель, если прогресса нет.
  • Cleveland Clinic дает практичный ориентир полного восстановления: 3–4 месяца.

Неприятный, но честный факт:

у переломов Джонса риск задержки сращения и несращения выше среднего. В обзорах упоминаются цифры до 30–50 % в отдельных группах. Это связано не с лечением, а с анатомией зоны.

Когда лечение без операции разумно

Консервативное лечение обычно выбирают, если:

  • перелом без значимого смещения;
  • вы не обязаны “вернуться в спорт через 6 недель”;
  • вы готовы реально соблюдать non-weight bearing (не наступать) столько, сколько нужно.

Что обычно входит в план:

  • гипс/ботинок + костыли;
  • контроль боли и отека;
  • постепенное увеличение нагрузки только при признаках сращения на снимках.

Жёсткая правда:

«Чуть-чуть наступаю, потому что надо» — самый короткий путь превратить 6–8 недель в несколько месяцев.

Когда нужна операция: логика, а не страшилки

Хирургическое лечение рассматривают чаще, если:

  • вы спортсмен или вам критично быстро и надёжно вернуться к нагрузкам;
  • нет признаков сращения в разумные сроки;
  • перелом рецидивирует или это стресс-перелом на фоне постоянной перегрузки.

Самый распространённый вариант — внутрикостная фиксация винтом.
Смысл простой: стабилизировать участок, который часто «не хочет» срастаться сам.

Что реально ухудшает прогноз

  • ранняя нагрузка «через боль»;
  • курение;
  • бег и прыжки без паузы на восстановление;
  • отсутствие контроля сращения на снимках.

Да, люди часто игнорируют эти пункты. И да, потом удивляются затяжному восстановлению.

Мини-итог

Перелом Джонса — это не «рядовой перелом мизинца», а зона с повышенным риском долгого заживления из-за особенностей кровоснабжения.

Рабочая стратегия выглядит скучно, но эффективно:
распознали → подтвердили рентгеном → строго разгрузили → контролировали сращение.

А если перелом ведёт себя упрямо или нужно быстро вернуться к нагрузкам, операция часто оказывается не прихотью, а способом сократить путь к нормальной ходьбе и снизить риск хронической проблемы.