Найти в Дзене
ZemsClinic

Что важнее: врач или материалы?

При выборе стоматологии пациенты часто задают вопрос: что важнее — врач или материалы?
Одни уверены, что всё решают современные технологии и «премиальная керамика». Другие считают, что главное — руки и опыт специалиста. Истина, как обычно, посередине, но с важным акцентом. Да, современные материалы играют огромную роль. Качественная керамика, надёжные композиты, проверенные системы фиксации — это база.
Но даже самые дорогие материалы не дадут хорошего результата, если: Материал — это инструмент. А результат зависит от того, в чьих руках он оказался. Опытный стоматолог — это не просто человек, который «ставит пломбы». Это специалист, который: Именно врач решает, какой материал подойдёт именно вам, а не наоборот. В одинаковых клинических условиях два разных врача могут получить совершенно разный результат — даже с одними и теми же материалами. Иногда пациенты говорят: «Мне нужны самые дорогие виниры» или «ставьте лучшее, что есть».
Но без грамотного врача это может привести к: В стоматол
Оглавление

При выборе стоматологии пациенты часто задают вопрос: что важнее — врач или материалы?
Одни уверены, что всё решают современные технологии и «премиальная керамика». Другие считают, что главное — руки и опыт специалиста. Истина, как обычно, посередине, но с важным акцентом.

Почему материалы сами по себе не решают всё

Да, современные материалы играют огромную роль. Качественная керамика, надёжные композиты, проверенные системы фиксации — это база.
Но даже
самые дорогие материалы не дадут хорошего результата, если:

  • неправильно проведена диагностика,
  • не учтён прикус и нагрузка,
  • нарушена техника установки,
  • выбран неподходящий метод лечения.

Материал — это инструмент. А результат зависит от того, в чьих руках он оказался.

Почему врач — ключевая фигура

Опытный стоматолог — это не просто человек, который «ставит пломбы». Это специалист, который:

  • анализирует состояние зубов и прикуса,
  • подбирает оптимальный метод лечения,
  • прогнозирует результат на годы вперёд,
  • умеет работать с эстетикой и функцией одновременно.

Именно врач решает, какой материал подойдёт именно вам, а не наоборот. В одинаковых клинических условиях два разных врача могут получить совершенно разный результат — даже с одними и теми же материалами.

Что будет, если делать ставку только на материалы

Иногда пациенты говорят: «Мне нужны самые дорогие виниры» или «ставьте лучшее, что есть».
Но без грамотного врача это может привести к:

  • неестественной улыбке,
  • сколам и переклейке,
  • дискомфорту при жевании,
  • преждевременной замене конструкции.

В стоматологии цена материала не равна качеству результата.

А если врач хороший, но материалы средние?

Даже самый опытный врач ограничен возможностями материалов.
Устаревшие или дешёвые системы могут:

  • быстрее терять цвет,
  • хуже фиксироваться,
  • служить меньше.

Поэтому правильный подход — сильный врач + проверенные материалы, а не выбор одного в ущерб другому.

Как выбрать правильно

Если вы сомневаетесь, на что ориентироваться, запомните простой принцип:
сначала — врач, затем — материалы.

Хороший специалист всегда объяснит:

  • почему выбирает тот или иной материал,
  • какие есть альтернативы,
  • каков прогноз по сроку службы и эстетике.

Итог

Материалы важны. Но решающим фактором всегда остаётся врач.
Именно его знания, опыт и ответственность превращают материал в результат — красивый, надёжный и долговечный.

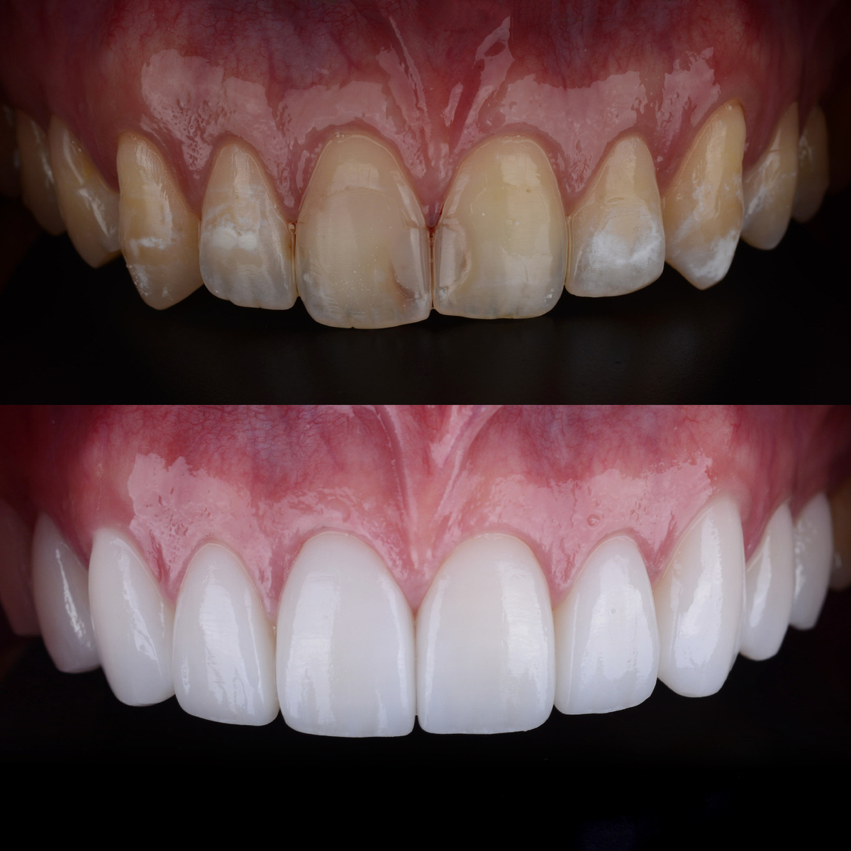
👉 В ZemsClinic мы работаем по этому принципу: сначала диагностика и опыт врача, затем — лучшие материалы под конкретную задачу. На бесплатной консультации вы получите честное объяснение, что подойдёт именно вам и почему. Запишитесь и сделайте осознанный выбор для своей улыбки.