Добавить в корзинуПозвонить
Найти в Дзене

Привыкать к новым зубам. Норма или нет?

Эта история требует, чтобы о ней рассказали с финала. Наша пациентка получает улыбку мечты и делится радостью со знакомым. Он удивлен. Начинали они путь преображения одновременно, у обоих было тотальное протезирование керамикой. С той лишь разницей, что девушка пришла к нам, а друг пошел своим путем, обратился к их общему старому знакомому стоматологу Улыбка мужчины выглядит хорошо, но привыкает он к ней уже полгода и предпосылок, что когда-нибудь привыкнет, пока нет. В чем же причина? Архитектура зубных рядов - дело тонкое. Основанное далеко не на симпатичной визуальной составляющей, а на правильности выведенной окклюзии. Это в первую очередь. То есть еще до протезирования мы выстраиваем будущее положение зубных рядов, чего оказался лишен товарищ нашей пациентки. А с ней мы пошли именно таким путем. Провели терапию и отдали нашим прекрасным ортодонтам. Специалист проанализировал функцию ВНЧС и спланировал сплинт-терапию, чтобы привести сустав в правильное положение. Далее была проведе

Эта история требует, чтобы о ней рассказали с финала. Наша пациентка получает улыбку мечты и делится радостью со знакомым. Он удивлен. Начинали они путь преображения одновременно, у обоих было тотальное протезирование керамикой. С той лишь разницей, что девушка пришла к нам, а друг пошел своим путем, обратился к их общему старому знакомому стоматологу

Улыбка мужчины выглядит хорошо, но привыкает он к ней уже полгода и предпосылок, что когда-нибудь привыкнет, пока нет. В чем же причина?

Архитектура зубных рядов - дело тонкое. Основанное далеко не на симпатичной визуальной составляющей, а на правильности выведенной окклюзии. Это в первую очередь. То есть еще до протезирования мы выстраиваем будущее положение зубных рядов, чего оказался лишен товарищ нашей пациентки.

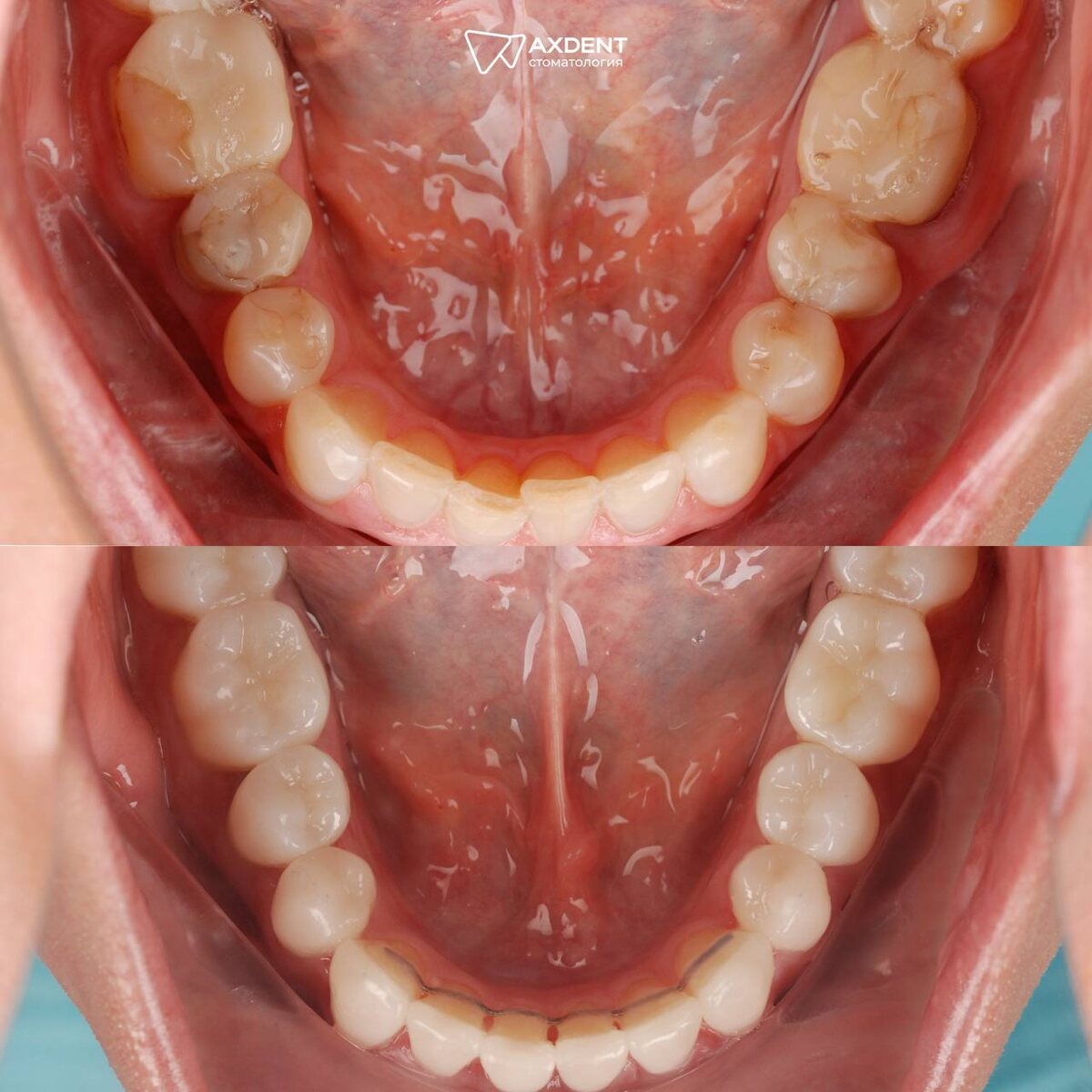
А с ней мы пошли именно таким путем. Провели терапию и отдали нашим прекрасным ортодонтам. Специалист проанализировал функцию ВНЧС и спланировал сплинт-терапию, чтобы привести сустав в правильное положение. Далее была проведена коррекция прикуса брекет-системой. Ближе к окончанию коррекции мы установили импланты и временные коронки на них. Финальная работа - тотальное протезирование керамическими реставрациями верхних и нижних зубов.

Подавляющее большинство зубов у нас с сохранёнными нервами. Всего 2 мертвых зуба, 3 импланта, остальное - живые зубы под керамикой.

Когда мы закончили, пациентка оценила не только эстетику. После обмена впечатлениями со знакомым она сказала, что теперь прекрасно понимает, почему наш план был таким сложносочиненным: “Мне совершенно не надо привыкать к новым зубам, они, будто, всегда такими и были”. К слову товарищ был в шоке от того, что его подруга не просто щеголяет с новой улыбкой, но и не испытывает ни малейшего дискомфорта. Для девушки это стало подтверждением того, что проделанная работа была гораздо более качественной и гораздо более надежной в плане именно физиологии.

Наша стратегия защитила пациентку не просто от “неудобства” при жевании или непривычных ощущений, а от серьезных осложнений. Таких, как прогрессирование дисфункции ВНЧС, неврологические патологии, смещение зубных протезов и сокращение сроков их эксплуатации.

Каждый пациент в нашей клинике начинает свой путь с детальной консультации, по результатам которой мы составляем пошаговый план лечения. К нашим зубам не привыкают, а удивляются тому, как они органично вливаются в жизнь их обладателя.

Еда
6,93 млн интересуются