Найти в Дзене
Parodoctor

10 лет вместо 6 месяцев - что стало с временными коронкам PMMA, почему заменили, как ошиблись с цветом и за чей счёт исправляли

Вы спрашивали, сколько могут выдержать временные коронки PMMA. Вот пример - могут и 10 лет продержаться, могут и больше. Десять лет (!) пластмасса простояла во рту и не сломалась, зубы не прогнили насквозь. Но, прежде чем вы решите, что это отличная новость и можно сэкономить на постоянных коронках - дочитайте до конца. Потому что эта история не про "вау, как здорово", а про "не повторять". К нам обратилась пациентка, её фронтальные зубы верхней челюсти, от клыка до клыка, покрыты лабораторными временными коронками из PMMA: PMMA - полиметилметакрилат, который по всем инструкциям рассчитан на срок от двух недель до шести месяцев. Максимум - до года при идеальных условиях. Тут же сроки явно превышены. Умели же делать, скажете вы =) И, возможно, будете правы. Есть такое ощущение, что материалы со временем становятся более хлипкими. Но это не все интересности случая. Прикус у пациентки травмирующий, это видно невооружённым глазом - по состоянию нижних зубов. Достаточно глубокие рецессии д
Оглавление

Вы спрашивали, сколько могут выдержать временные коронки PMMA. Вот пример - могут и 10 лет продержаться, могут и больше. Десять лет (!) пластмасса простояла во рту и не сломалась, зубы не прогнили насквозь.

Но, прежде чем вы решите, что это отличная новость и можно сэкономить на постоянных коронках - дочитайте до конца. Потому что эта история не про "вау, как здорово", а про "не повторять".

Временные лабораторные коронки PMMA 10 лет во рту

К нам обратилась пациентка, её фронтальные зубы верхней челюсти, от клыка до клыка, покрыты лабораторными временными коронками из PMMA:

PMMA - полиметилметакрилат, который по всем инструкциям рассчитан на срок от двух недель до шести месяцев. Максимум - до года при идеальных условиях.

Тут же сроки явно превышены. Умели же делать, скажете вы =) И, возможно, будете правы. Есть такое ощущение, что материалы со временем становятся более хлипкими.

Но это не все интересности случая. Прикус у пациентки травмирующий, это видно невооружённым глазом - по состоянию нижних зубов. Достаточно глубокие рецессии дёсен, обнажённые корни, но без признаков воспаления и с сохранными межзубными сосочками.

Это не пародонтит - это травматическая перегрузка тканей пародонта. Зубы испытывают нагрузку, на которую не рассчитаны и ткани отвечают соответственным образом.

То есть, пластмассовые коронки 10 лет выдерживали нагрузку, которую могут не выдержать даже здоровые зубы.

Повезло? Да, конечно. Это и есть везение, рандомная история, не надёжная. Может выдержать материал, а может и не выдержать. Никто не угадает, в какой категории окажетесь вы.

Срок службы PMMA-коронок - почему 6 месяцев, а не 10 лет

PMMA - материал пористый. Это его главная проблема.

Из-за пористости материал впитывает красители из пищи, напитков. В порах бактерии находят пристанище. Из-за пористости герметичность конструкции, со временем, нарушается.

Заявленный срок эксплуатации PMMA-коронок - до 6 месяцев, в отдельных случаях - до года. Не потому что производители жадные и хотят продать вам что-то подороже, а потому что материал, объективно, не обеспечивает герметичность на долгий срок.

А что происходит, когда герметичность нарушена? Под коронку попадает слюна, бактерии, остатки пищи. Начинается кариес. Вы его не видите, но он прячется под коронкой. Вы его не чувствуете, ведь зуб, зачастую, депульпирован. А когда начинаются ощутимые проблемы - спасать уже нечего.

Если коронка не сломается, кариес подведёт зуб к удалению. Это лишь вопрос времени.

Клинический случай - замена старых PMMA на новые через 10 лет

Понятно, что герметичность давно потеряна - об этом нам говорит тёмная окраска под коронками в пришеечной области:

Старые временные коронки из PMMA
Старые временные коронки из PMMA

Сняли коронки, но ортопед не сделал фото сразу после снятия, обработал культи и только тогда сфотографировал уже красивые культи:

-3

Но мы видим, что культи зубов изменили цвет, некоторые из них тёмные, местами красноватые (привет, резорцин-формалин). Особенно выражено потемнение в пришеечной области.

За 10 лет пористый материал пропустил всё - красители, бактерии, влагу. Ткани зубов пропитались, присутствует CAD-дентин - поражённый, но ещё не инфицированный. Пока не инфицированный.

Почему снова временные коронки, а не постоянные

Раз уж сняли старые, почему не поставить сразу постоянные? Во-первых, нужно восстановить жевательную эффективность (имплантация, костные пластики). Это не быстро.

Во-вторых, у пациентки травмирующий прикус. Это видно по рецессиям на нижней челюсти, по истираемости, по клиновидным дефектам, по наклонённым зубам. Это признаки перегрузки, пародонтита нет.

Устанавливать постоянные коронки, имплантаты, любые серьёзные конструкции при таком прикусе рискованно. Может повезти, а может нет. Вероятность 50/50 - это не совсем то, на что можно опираться в качественной работе.

Одно дело, когда такой прикус, но все свои зубы на месте - они как-то адаптировались, "научились" взаимодействовать. Другое дело - протезирование и имплантация, наклоны зубов, выдвижение. Это работа в условиях патологии, не нормы. Риски возрастают кратно.

Правильный путь - начать с ортодонтии. Нормализовать прикус, убрать перегрузку и только потом делать имплантацию и устанавливать постоянные конструкции.

Пациентка к ортодонтии, пока что, не готова. Говорит - не раньше чем через год.

Значит, ставим снова PMMA. Не потому что это хорошо, а потому что это единственный разумный вариант прямо сейчас, чтобы пациентка просто не потеряла эти зубы, пока решаются другие вопросы.

Нужна ли пластика десны при перегрузочных рецессиях? Выпадут ли зубы, если ничего не делать?

Если пациентку рецессии не беспокоят - можно не закрывать дефекты трансплантатами. Пластика десны при таких тотальных рецессиях без коррекции прикуса - это косметика, а не лечение. Десна не удержит кость от деструкции, если процессы перегрузки продолжатся. Кость будет уходить дальше, просто какое-то время это будет менее заметно визуально.

Без ортодонтии я не рекомендую такие операции. Чтобы закрыть все имеющиеся проблемы на всех зубах, нужно вдоль и поперёк изрезать нёбо, возможно, не один раз не за одну операцию так точно. Если не болит и визуально не раздражает - можно жить так. Зубы не выпадут, кариес корня маловероятен. Важно только понимать - это перегрузочные рецессии, не пародонтитные. Разница принципиальная.

Подбор цвета коронок на тёмных культях - как мы переделали работу бесплатно

Теперь про то, как мы чуть не потеряли расположение пациентки.

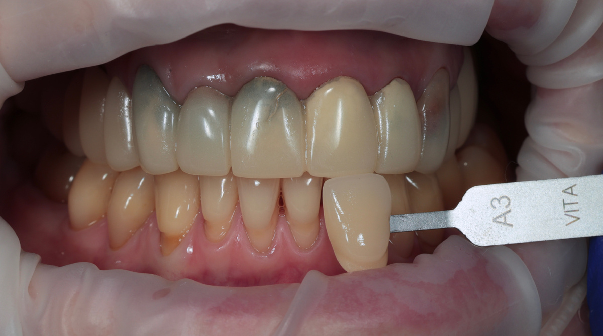
Новые временные коронки сделали в цвете А3:

Временные лабораторные коронки PMMA цвета А3
Временные лабораторные коронки PMMA цвета А3

Цвет казался подходящим под остальные зубы, так-то оно, впринципе, и есть, но не под резцы на нижней челюсти. Согласовали с пациенткой, зафиксировали на постоянный цемент, отпустили домой.

Через небольшое количество времени она написала - цвет не нравится. Желтый.

Засада засад. Ведь коронки на постоянном цементе! Просто снять и поправить нельзя. Нужно спиливать и делать всё заново.

Формально - пациентка согласовала цвет. Формально - мы всё сделали правильно. Формально - переделка должна быть за её счёт.

Но я приняла другое решение - переделать за наш счёт.

Подбор цвета на тёмных, разноцветных культях - задача сложная. Цвет временных материалов отличается от материалов постоянных. То, что казалось правильным в кресле, да даже при свете дня, дома при другом освещении может выглядеть иначе.

Если вам кажется, что цвет слишком тёмный, что можно бы и посветлее, если мечетесь между посветлее чуть/потемнее чуть - просите светлее. Не стесняйтесь.

Новые коронки сделали в цвете А2:

-5

Да, немного кое-где пришейки темноваты, но это временный материал PMMA/ То, что получилось в итоге сейчас - отличный результат для данного материала. Теперь всех всё устраивает. С пациенткой остались в хороших отношениях, без обид.

Временный материал PMMA
Временный материал PMMA

После этой ситуации провела работу с персоналом. Напомнила очевидные, казалось бы, вещи.

Ставить себя на место пациента - важно. Не допускать обид - важно. Не разочаровывать - важно.

Мы в ответе за тех, кто доверил нам своё лечение. Многих конфликтов можно избежать, если просто поставить себя на место пациента. Но без перегибов - мы с пациентами на равных, взаимодействуем по-взрослому, трезво, адекватно. На провокации почти никогда не поддаёмся, но если чувствуем за собой недоработку - идём на исправление без истерик и без обвинений. Нам не сложно.

Вывод

Временные коронки PMMA могут простоять 10 лет. Факт.

Но это не значит, что так можно делать!

PMMA - пористый материал с заявленным сроком службы до 6 месяцев. Всё, что дольше - лотерея. Кому-то везёт, кому-то нет. Кариес под коронкой вы не увидите и не почувствуете, пока зуб не придётся удалять. Качество временных материалов, априори, иное - отличное от постоянных материалов. Они проницаемы, хрупки, не столь надёжны.

Не рискуйте. С нормальными ортопедами вы не будете терять зубы под постоянными конструкциями. Нюансов полно, от качества работы зависит всё. Истории про сгнившие зубы под постоянными коронками - про пример плохой работы, но не материала. К сожалению, даже под чужими свежими пломбами находим кариозные очаги чаще, чем хотелось бы.

И дело, повторюсь, не в материалах.

Больше ортопедических материалов в подборке:

Ортопедия и материалы | Parodoctor | Дзен

Вопросы задавайте в моём Telegram-канале - там я их точно увижу и отвечу. В Дзене сотни комментариев под сотнями статей и я физически не успеваю всё мониторить - не смотрю и не отвечаю, никого не удаляю (все вопросы к Дзен, обиды направляйте площадке, пожалуйста). В Telegram все вопросы в одном месте, удобно отвечать, можно фото прикрепить. Так что жду в тг:

Parodoctor

Спиливаем новые желтые коронки:

С уважением, Лежачёва Наталия Александровна, хирург-пародонтолог и главный врач стоматологии Parodent, СПб.