Добавить в корзинуПозвонить
Найти в Дзене

5 причин оставить зубы мудрости: об этом не расскажут стоматологи

Зуб мудрости. Не вспоминаем, пока не заболят? Или удаляем всем и всегда, как рекомендует каждый первый стоматолог? Восьмёрка восьмерке рознь. - Некоторые полностью нормальные, хорошо смыкаются и работают как полноценные зубы. -Какие-то одновременно и бесполезны и безвредны. - А какие-то создают проблемы: разрушают соседний зуб, запускать воспаление под десной (перикоронарит) и приводят к дисфункции ВНЧС. Но удалять зубы мудрости “на всякий случай” тоже неправильно — иногда их есть смысл сохранить. В этой статье, хирург-имплантолог Orteam Бояркин Георгий рассказывает как отличить ягнят от волков в овечьих шкурах. Полную версию статьи про все виды зубов мудрости и прочие тонкости, читайте здесь. Зубы мудрости (восьмёрки, третьи моляры) обычно пытаются прорезаться в 17–25 лет. Иногда им это удаётся и всё в порядке. Но часто им не хватает места — поэтому они стоят криво, не выходят полностью или остаются внутри кости. У части людей зачатков восьмёрок нет вообще — это вариант нормы. Е
Оглавление

Зуб мудрости. Не вспоминаем, пока не заболят? Или удаляем всем и всегда, как рекомендует каждый первый стоматолог? Восьмёрка восьмерке рознь.

- Некоторые полностью нормальные, хорошо смыкаются и работают как полноценные зубы.

-Какие-то одновременно и бесполезны и безвредны.

- А какие-то создают проблемы: разрушают соседний зуб, запускать воспаление под десной (перикоронарит) и приводят к дисфункции ВНЧС.

Но удалять зубы мудрости “на всякий случай” тоже неправильно — иногда их есть смысл сохранить.

В этой статье, хирург-имплантолог Orteam Бояркин Георгий рассказывает как отличить ягнят от волков в овечьих шкурах. Полную версию статьи про все виды зубов мудрости и прочие тонкости, читайте здесь.

Кто такие «восьмёрки» и почему с ними столько хлопот?

Зубы мудрости (восьмёрки, третьи моляры) обычно пытаются прорезаться в 17–25 лет. Иногда им это удаётся и всё в порядке. Но часто им не хватает места — поэтому они стоят криво, не выходят полностью или остаются внутри кости. У части людей зачатков восьмёрок нет вообще — это вариант нормы.

Зуб мудрости прорезался наполовину и давит на соседний зуб
Зуб мудрости прорезался наполовину и давит на соседний зуб

Когда зубы мудрости можно оставить?

Если вам повезло и все зубы мудрости:

  1. прорезались ровно;
  2. имеют адекватную форму и размер;
  3. имеют антагонистов;
  4. их можно нормально чистить,

то они работают как обычные жевательные зубы. То есть добавляют площадь контакта и могут участвовать в жевании, а иногда становятся полезным «запасным» вариантом, если в будущем пострадает 6-й или 7-й зубы.

Если рискованно удалять зуб мудрости

  1. рядом нижнечелюстной нерв/гайморова пазуха
  2. очень глубокое положение
  3. тонкая кость в области угла нижней челюсти (высокая вероятность перелома челюсти при удалении)
  4. возраст/состояние здоровья

В этих случаях, логичнее наблюдать и делать КТ раз в 1–2 года для контроля состояния соседних зубов и костной ткани. Если же зуб мудрости в подобных ситуациях необходимо удалить, то нередко проводят коронэктомию (удаляют только верхнюю часть зуба, оставляя корни).

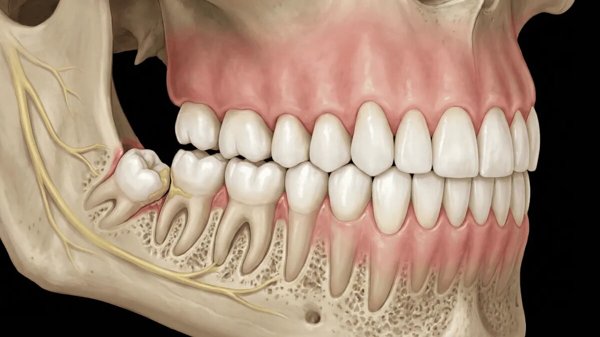
Восьмерки близко к нерву нижней челюсти
Восьмерки близко к нерву нижней челюсти

5 ситуаций, когда зубы мудрости могут оказаться полезными?

1) Хирургическая реплантация. Пересадка зуба мудрости взамен удалённого шестого или седьмого. Мы в Orteam регулярно проводим подобные операции, если клиническая ситуация подходит.

2) Для жевания при неправильном прикусе. При дистальном прикусе (большую статью читайте на нашем сайте) верхние зубы мудрости часто смыкаются с нижними седьмыми зубами. А при мезиальном прикусе наоборот - нижние зубы мудрости участвуют в жевании. В таких случаях, просто так их удалять не стоит.

3) Иногда зубы мудрости используются как опора, при ортодонтическом лечении. Но это бывает довольно редко.

4) В некоторых случаях, зубы мудрости можно передвинуть вперёд, чтобы закрыть промежуток от потерянных зубов. В таких протоколах очень много нюансов, которые коллеги подробно разобрали в этой статье по перемещению зубов.

5) Редко, но зубы мудрости используются как опора для съёмных или мостовидных протезов. Но, это, конечно, не лучшие варианты в современной стоматологии.

7 ситуаций, когда удаление обычно действительно оправдано

Ниже — ситуации, где плюсы удаления чаще перевешивают минусы:

  1. Риск скученности (чаще на нижней челюсти)
    Бывает не у всех, но если восьмёрка давит на зубы и может вызывать скученность зубов. В этих случаях, зубы мудрости удаляются или профилактически или для ортодонтии (если зубы уже уже успели сместиться и нужно их возращать)
  2. Восьмёрка портит 7-й зуб
    Самый неприятный сценарий. Обычно, характерно для наклонённых вперёд зубов мудрости. Может проявляться по-разному
  • кариес на задней стенке 7-го зуба
  • разрушение корня 7-го зуба
  • костный карман за 7-м зубом
Проблемная восьмерка
Проблемная восьмерка

3. Кариес/пульпит самой восьмёрки, который сложно качественно лечить
Иногда лечить можно, но часто доступ плохой (очень далеко, зуб упирается в щёку и так далее). Плюс сложная анатомия корней - качественное лечение каналов часто крайне затруднено.

4. Воспаление «капюшона» (перикоронит)
Чаще на нижней челюсти. Боль в области угла челюсти, неприятный запах, отёк, иногда температура и трудно открыть рот. Всё из-за недопрорезавшейся восьмёрки и воспаления десны вокруг неё. Иногда можно сделать пластику десны, но это не всегда полностью решает проблему. Если это повторяется — обычно нужно удалять.

5. Нет пары сверху/снизу (нет “антагониста”)
Такой зуб не участвует в жевании, может выдвигаться, травмировать щеку и десну и мешать смыканию. Такие зубы нет смысла беречь.

6. Ортодонтические показания
Перед брекетами/элайнерами восьмёрки часто удаляют, если нужно место для перемещения зубов назад (дистализации). Либо, если есть подозрение на преждевременные контакты, которые могут приводить к нарушению работы ВНЧС. Так же, зубы мудрости всегда удаляются, если планируется ортогнатическая операция.

7.Перед протезированием/имплантацией
Если восьмёрка мешает поставить коронку/имплантат в области седьмых зубов — её убирают.

Мини чек-лист, сохраняйте, чтобы знать, что делать с вашими восьмёрками
Мини чек-лист, сохраняйте, чтобы знать, что делать с вашими восьмёрками

Чек-лист: что делать, если «восьмёрка беспокоит»

  • Не гадать на кофейной гуще: обязательно сделать КТ и проконсультироваться у квалифицированного стоматолога-хирурга
  • Если причина беспокойства действительно в зубе мудрости, в большинстве ситуаций, его разумнее удалить. Но иногда вполне возможно и провести терапевтическое лечение.
  • Если планируете ортодонтическое лечение — обсудите судьбу зубов мудрости до восьмёрки до старта, чтобы избежать неприятных сюрпризов.

Если хотите детально разобраться в ситуации, читайте полную статью о зубах мудрости на нашем сайте!

Когда задуматься об удалении зуба мудрости
Когда задуматься об удалении зуба мудрости