Добавить в корзинуПозвонить
Найти в Дзене

Чуть-чуть брекетов. А что так можно?

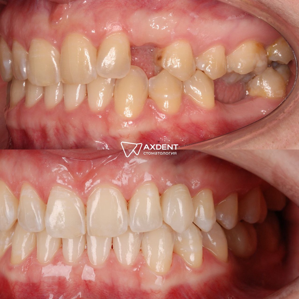
Пациентка пришла к нам уже без правого клыка и без нижней шестерки с правой стороны. Места для имплантации было достаточно, но боковой резец справа был выдвинут вперед. Оценили ситуацию, увидели, что в целом прикус в порядке, смыкание органичное, и приняли решение возвращать резец в нормальное положение частичной брекет-системой и капами, которые изготовили для этого ограниченного сегмента. Резец вставал на место, но забирал пространство у будущего клыка. Примерно через полгода стараниями нашего ортодонта мы получили ровный резец и достаточно места для имплантации и установки коронки на импланте. Идеально. Установили импланты, запротезирвоали, получили натуральную, красивую улыбку. Пациентка счастлива, а мы уверены в долговечности реставраций и коронок. Частичная брекет-система помогает более щадящими усилиями для пациента получить результат. Дешевле. Более комфортно. Меньше потайных мест во рту, где может скапливаться налёт. Все методы лечения, помимо того, что должны давать качествен

Пациентка пришла к нам уже без правого клыка и без нижней шестерки с правой стороны. Места для имплантации было достаточно, но боковой резец справа был выдвинут вперед.

-2

Оценили ситуацию, увидели, что в целом прикус в порядке, смыкание органичное, и приняли решение возвращать резец в нормальное положение частичной брекет-системой и капами, которые изготовили для этого ограниченного сегмента. Резец вставал на место, но забирал пространство у будущего клыка. Примерно через полгода стараниями нашего ортодонта мы получили ровный резец и достаточно места для имплантации и установки коронки на импланте.

Идеально.

Установили импланты, запротезирвоали, получили натуральную, красивую улыбку. Пациентка счастлива, а мы уверены в долговечности реставраций и коронок.

Частичная брекет-система помогает более щадящими усилиями для пациента получить результат. Дешевле. Более комфортно. Меньше потайных мест во рту, где может скапливаться налёт.

-5

Все методы лечения, помимо того, что должны давать качественный результат, должны быть соизмеримы с проблемой. Если зуб можно сохранить и защитить коронкой, то удалять его и ставить имплант - несоизмеримо. Если пломба справится со своей задачей, то керамическая вкладка - мера завышенная. Если мы можем локально решить проблему частичной брекет-системой, то упаковывать весь рот в брекеты - несоизмеримо.