Добавить в корзинуПозвонить
Найти в Дзене
СвоёТВ

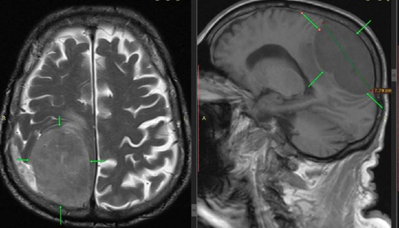
👨‍⚕️Опухоль размером с лимон удалили нейрохирурги в Пятигорске у 85-летнего пациента

Мужчину доставили с симптомами инсульта: не двигалась левая половина тела. Но обследование показало другое — гигантское новообразование в зоне мозга, отвечающей за движение. Нейрохирурги провели сложнейшую операцию и полностью удалили опухоль. Несмотря на высокий риск и возраст пациента, вмешательство прошло успешно. Мозг восстановился, движения вернулись, опухоль оказалась доброкачественной. Мужчина уверенно идёт на поправку. Фото: ГКБ Пятигорска.

👨‍⚕️Опухоль размером с лимон удалили нейрохирурги в Пятигорске у 85-летнего пациента.

Мужчину доставили с симптомами инсульта: не двигалась левая половина тела. Но обследование показало другое — гигантское новообразование в зоне мозга, отвечающей за движение.

Нейрохирурги провели сложнейшую операцию и полностью удалили опухоль. Несмотря на высокий риск и возраст пациента, вмешательство прошло успешно.

Мозг восстановился, движения вернулись, опухоль оказалась доброкачественной. Мужчина уверенно идёт на поправку.

Фото: ГКБ Пятигорска.

-2