Добавить в корзинуПозвонить
Найти в Дзене
Белка в позе

Смена 14.01.26

Здравствуйте🤝

Здравствуйте🤝

До середины недели дожили и слава Богу.

Сама встала, попила кофе, позвала гулять собак. Нику едва добудилась, и спросонок она вальяжно еле спускалась по ступенькам. Я, конечно же, наступила ей на хвост, случайно. Раздался визг, я с испуга одернула ногу, и нога проехала по ступеням.

Хорошо, что ботинки у меня не гнутся в голеностопах, а так бы я стала пациентом нашей больницы.

Отругала Нику, хотя это и бесполезно, в последнее время она ведет себя , как ей вздумается, в пределах разумного. В основном старается путаться под ногами, специально причем. Как будто ждет, что на нее наступят.

Дороги сегодня расчищены, поэтому на работу добиралась как обычно, напрямую)

*******************

На планёрке отчитались по снимкам и работе в целом, начальство обратило внимание, что много ошибок в исследованиях, потребовало быть предельно внимательными, так как большинство случаев обращений в нашу больницу являются страховыми, и пациентам потом сложно доказать, что снимки их собственные. Да и программы наши начинают "лагать" в случае накопления ошибок.

Должна я была работать в стационаре, но кто-то из работников вчера закрыл больничный, меня оставили в день на приемнике в итоге.

В день -только я,а в сутки со мной Борис и Лина, вообще-то она Галина, но сокращенно ее называют Лина. Это надежная смена, как вчера меня, можно сказать ,"кинули"- не кинут)

С восьми до девяти был только один человек, женщина, 36 лет, на снимок черепа, ударилась головой, когда проходила под шлагбаумом.

–Рано я выпрямилась, –посетовала она, потерев рассеченный, накрытый салфеткой лоб возле линии роста волос.

–Ну, вот, там до входа далеко идти было что ли?-с сочувствием спросила я.

–Метров сто примерно, да я понимаю свою глупость, чего уж теперь об этом говорить!

–Территория что ли какая?

–Типа того, шлагбаум-для машин только, а я просто неудачно проскочила.

–Ну , все, снимки у врача, идите обратно.

–Как думаете, зашивать будут?

–Не знаю, это спросите там уже.

*********************

Потом ходили на ингаляцию, я поела, посидела, пошла в кабинет обратно, посмотрела на скучающего лаборанта в ожидании работы. Ну , утро же , да и день будний, придут, но чуть позже, кто не придет, того привезут. По травмированным прогулов нет, все стабильно.

Да , в этом году снимков чуть меньше, чем в том , но на отсутствие никто не пожаловался.

*********************

С 11 до 12

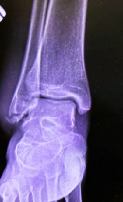
Мужчина , 34 года, на снимок голеностопа.

–Разувайтесь и на стол, что с вами случилось? Упали?

–Ага, упал, а, скажите, старые снимки где у вас хранятся?

–Смотря насколько старые, но хранятся за лет пять точно, на серверах, а что?

–Да я просто был у вас в больнице, недели три назад, с этой же проблемой, мне поставили растяжение, и отпустили домой, дома я мазал всем, что прописали, носил ортез, но так сильно стало в пятку отдавать, что не выдержал боли, жена сказала , в платную идти.Я сходил, а там мне сказали, что перелом есть.

–Без рентгена сказали?-глупо спросила я.

–Почему это без рентгена, снимет я сделал, по ним и сказали.

–Ну, может вы повторно травмировались, вот и есть перелом, –предположила я.

–Девушка! Я почти не вставал, лечился, чем написали!–несколько раздражённо сказал пациент. –Мне нужны теперь мои предыдущие снимки! Как их получить?

–Диск приносите, вам запишут, да и все.

–Любой подойдет?

-Да , самый обычный.

–Ну, понял, а то мне сказали, что могут "потерять" снимки в этом случае, так-то я в праве!

-2

Так-то видно, что что-то есть, да?То ли свежий, то ли нет, но пациент говорит , что больше не травмировал конечность.

Найдут ему его прошлые снимки и отдадут, и два варианта развития событий:или этот перелом действительно свежий или судебный иск.

У нас в этой базе трёхнедельной давности снимков, разумеется, нет уже, слишком большая проходимость.

–Вот, если проглядели перелом,-говорит Боря, –то сейчас нехилую компенсацию высудит.

–Ну, такой перелом как могли проглядеть? Он же очевидный!

–А, да бог его знает, как, но есть подозрение, что ему и стопу могли назначить, да и снять чисто стопу, вот и проглядели, если сначала кости не сместились сильно.

–Да ты что! Он же сказал, что растяжение голеностопа поставили.

–Ну, или , к примеру, ночью встал и подвернул повторно и не помнит.

Даа, колобки из нас такие себе😂

********************

Завезли на сидячей каталки дедушку, сопровождает женщина в медицинской форме стационара явно.

–Вот, примите у нас бегуна!-пошутила наша коллега.

–На череп?–Увидела я ссадину сбоку на голове.

–Ну да.

–Куда бежал и откуда? Он у вас в больнице лежит?

–Нет, в интернате.

Дедуля тем временем совсем не принимал участия в нашем разговоре.

–Деменция?

–Ну, конечно, глаз да глаз нужен, он с ходунками-то хорошо "носится" , а тут про них забыл, видать. Ну, и свалился.

Дедушка, как и все интернатские чистенький, ну , чуть нестриженный, но это ж мелочи.

–Деда, –обратилась я к пациентку.–Надо снимки сделать. Посидишь?

–А телек покажешь, тогда посижу, –прошамкал он.

Господи, ну, телек у меня тут откуда?!

–А что хочешь посмотреть?

–Ну, этого, как его, такой еще! Ай, забыл!

Пришлось на телефоне включить первый канал и поставить на "трубку", а пациента усадить в задне-переднюю проекцию.

Сидел, как миленький!)

-Все, поднимаемся, едем к врачу, –позвала я медсестру, сопровождающюю дедулю.

–Не пойду, я телек хочу смотреть тут! –внезапно заупрямился пациент.

–А там тоже есть телек,-подмигнула мне медсестра.

–Конечно, есть, там вообще большой, все видно, в деталях! –подхватила я игру.

–Ну, тогда ладно, поехали, –пожевал губами дедуля

И смех и грех! Как мои коллеги, бедные, с ними справляются?

**********************

Потом я опять "столовалась". Что-то у меня аппетит в последнее время неуемный. Хотя я вроде и не ем того, от чего быстро поправляются и очень долго избавляются, тем не менее. Надо взять под контроль это все, в такой еще возраст вступила, когда скинуть вес и приобрести очертания фигуры дело сложное и требующее определенной силы воли.

********************

С 14 до 15.Сменила я Лину, и она ушла отдыхать.

Дюнь-дюнь.

Открыла:трое скоряков еле удерживают одного, весьма тощего, но высокого мужчину.

–Отпустили!*****! Быстро, я сказал!*****! Я вас всех ****,****,*****!!!

–Заходите, –пригласила я знакомую бригаду, "психи", называются, потому что увозят пациентов с делирием.

–Вы же с ним будете?

–Ну, конечно, дай нам только всем троим защиту, да сиди ты!-прикрикнул врач на отчаянно вырывающегося и матерящегося пациента.

В такие моменты нужно быстро сделать снимки, а данные потом внести уже.

Мигом с Борей нарядили скорняков, те немедля усадили на стул, двое его держали, а один удерживал голову за подбородок. Они уже знают как держать, не первый раз, как говорится!

Увели , а я даже не спросила, что с несчастным приключилось, сильно уж он буйный был, не до разговоров.

********************

Пациенты идут ни шатко ни валко, тянутся, можно сказать. Снимаем, работаем потихонечку. Сменил меня Боря, а я опять к столу! Да что же такое?? Так не пойдёт , нужно пересмотреть рацион!

Поела, дверь сестринской открылась, Боря:

-Пойдём, поможешь, там вносит много надо.

–Пойдём, конечно!

Бабулю сбил автомобиль, автодорожка , ну и назначили, как обычно по стандарту:голова, легкие, обзорная таза, голени на протяжении и плечо.

84 года так-то, не шутка. Пациентка охает, помочь нам , конечно же не может, тут, конечно вдвоем сподручнее.

–Бабулечка, ну как ты так?-спрашивала , пока подкладывали аккуратно кассеты

–Ну вот шла, не видел он меня.

–Так остановился же, или как.

–Остановился, вышел , посмотрел и уехал.

Слов нет просто! Ну, как так! Или так растерялся?

Сломана верхняя треть голени, обе кости и плечо.

–По ногам , скорее всего ударил, а плечо сломала, когда упала, –резюмировал Борис.

–Ну да, очень похоже, –согласилась я.

*********************

Все, смена закончилась, оставляю напарников вдвоем, команда хорошая, дружная.

А моя команда из собак, наверное меня заждалась! Зашла в подъезд–тишина. Что такое! Не ждут мать, получается?? Только ключ в замок вставила , как засуетились за дверью, залаяли! Значит, что все в порядке!

А вернее в беспорядке, напакостили , нараскидывали все, до чего дотянулись, в общем, "просто приходил Сережка, поиграли мы немножко"!

Пошла прибираться на завтра есть готовить и можно спать , завтра на работу!