Добавить в корзинуПозвонить
Найти в Дзене

Пятигорские врачи удалили опухоль размером с лимон пенсионеру

В Пятигорске врачи провели сложную операцию по удалению опухоли из головы размером с лимон, сообщили в ГКБ Пятигорска. Когда 85-летний мужчина поступил в больницу у него уже отказала левая нога и левая половина тела. Изначально врачи подозревали инсульт. Но после проведеденного экстренного обследования, выяснилось, что его жизни угрожает опухоль размером 8x7 см. Мужчине провели срочную операцию. Нейрохирурги Пятигорска выполнили трепанацию черепа и полностью удалили опухоль. Пенсионер быстро пошёл на поправку, активность в левой половине тела восстановились. Гистология выявила доброкачественный характер новообразования. ГТРК «Ставрополье» | Читайте нас в MAX

Пятигорские врачи удалили опухоль размером с лимон пенсионеру

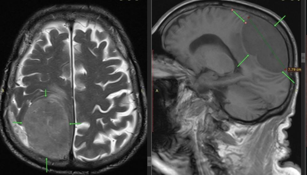
В Пятигорске врачи провели сложную операцию по удалению опухоли из головы размером с лимон, сообщили в ГКБ Пятигорска.

Когда 85-летний мужчина поступил в больницу у него уже отказала левая нога и левая половина тела. Изначально врачи подозревали инсульт. Но после проведеденного экстренного обследования, выяснилось, что его жизни угрожает опухоль размером 8x7 см.

Мужчине провели срочную операцию. Нейрохирурги Пятигорска выполнили трепанацию черепа и полностью удалили опухоль.

Пенсионер быстро пошёл на поправку, активность в левой половине тела восстановились. Гистология выявила доброкачественный характер новообразования.

ГТРК «Ставрополье» | Читайте нас в MAX

-2