Добавить в корзинуПозвонить
Найти в Дзене
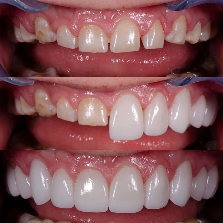
KISA CLAUS

Уход за зубами в зрелом возрасте: сохраняем улыбку на долгие годы

Зрелый возраст – не повод забывать о здоровье зубов. Напротив, именно сейчас правильный уход становится особенно важным. Со временем эмаль истончается, десны могут опускаться, повышается риск развития заболеваний пародонта и появления кариеса. Однако, следуя простым рекомендациям, можно сохранить здоровье зубов и красивую улыбку на долгие годы.
Главное – регулярность. Чистите зубы дважды в день,

Зрелый возраст – не повод забывать о здоровье зубов. Напротив, именно сейчас правильный уход становится особенно важным. Со временем эмаль истончается, десны могут опускаться, повышается риск развития заболеваний пародонта и появления кариеса. Однако, следуя простым рекомендациям, можно сохранить здоровье зубов и красивую улыбку на долгие годы.

Все фото с интернета
Все фото с интернета

Главное – регулярность. Чистите зубы дважды в день, используя мягкую зубную щетку и зубную пасту с фтором. Особое внимание уделяйте линии десны и труднодоступным местам. Не забывайте о зубной нити или межзубных ершиках, которые помогают удалить остатки пищи из межзубных промежутков, где зубная щетка не достает.

Питание играет роль. Ограничьте потребление сладких и кислых продуктов, которые способствуют развитию кариеса. Включите в рацион продукты, богатые кальцием и фосфором, необходимые для укрепления эмали.

Вода – ваш лучший друг. Пейте достаточное количество воды в течение дня. Вода помогает смывать остатки пищи и нейтрализует кислоты, образующиеся после еды.

Профессиональный уход необходим. Посещайте стоматолога не реже двух раз в год для профилактического осмотра и профессиональной чистки зубов. Стоматолог сможет вовремя выявить проблемы и назначить необходимое лечение.

Особые случаи требуют внимания. Если вы носите зубные протезы, тщательно очищайте их каждый день, используя специальные средства. Если у вас установлены имплантаты, уделяйте особое внимание гигиене в области их установки.

Помните, что забота о зубах в зрелом возрасте – это инвестиция в ваше здоровье и хорошее самочувствие. Следуя этим простым советам, вы сможете сохранить здоровую и красивую улыбку на долгие годы.

-2

Уход за зубами в зрелом возрасте – это еще и адаптация к меняющимся потребностям организма. С возрастом слюноотделение может уменьшаться, что повышает риск развития кариеса, так как слюна играет важную роль в нейтрализации кислот и очищении полости рта. В таких случаях рекомендуется использовать специальные ополаскиватели для полости рта, стимулирующие слюноотделение, или искусственные заменители слюны, рекомендованные стоматологом.

Не стоит игнорировать чувствительность зубов. С возрастом истончение эмали и обнажение шейки зуба могут приводить к повышенной чувствительности к холодному, горячему, сладкому или кислому. В этом случае необходимо использовать зубные пасты, предназначенные для чувствительных зубов, и обратиться к стоматологу для выявления причин и назначения лечения.

Здоровье десен – залог здоровья зубов. Заболевания пародонта, такие как гингивит и пародонтит, часто встречаются в зрелом возрасте и могут приводить к потере зубов. Регулярная чистка зубов и использование зубной нити помогают предотвратить развитие этих заболеваний. При появлении кровоточивости десен, покраснении или отеке необходимо незамедлительно обратиться к стоматологу.

-3

И, наконец, помните, что красота улыбки – это отражение вашего здоровья. Не стесняйтесь обращаться к стоматологу для консультации и решения любых проблем, связанных со здоровьем зубов и десен. Современные методы лечения позволяют сохранить зубы даже в самых сложных случаях и вернуть вам уверенность в себе.

Пишите в каком состоянии ваши зубы.

Благодарю и ценю каждый донат, который помогает мне купить квартиру)