Добавить в корзинуПозвонить
Найти в Дзене
Два Дантиста

Пародонтит

Друзья, а давайте сразу договоримся: если у вас кровоточат дёсны, а зубы будто бы «просели» и оголили корни — это не норма. Совсем. Но что именно происходит? В поисках ответа пациенты часто путают два диагноза: пародонтоз и пародонтит.
И даже некоторые неспециалисты используют эти слова как синонимы. А между тем, разница между пародонтитом и пародонтозом колоссальна — в причинах, симптомах и, что

Друзья, а давайте сразу договоримся: если у вас кровоточат дёсны, а зубы будто бы «просели» и оголили корни — это не норма. Совсем. Но что именно происходит? В поисках ответа пациенты часто путают два диагноза: пародонтоз и пародонтит.

И даже некоторые неспециалисты используют эти слова как синонимы. А между тем, разница между пародонтитом и пародонтозом колоссальна — в причинах, симптомах и, что самое важное, в лечении. Сегодня в клинике «Два Дантиста» раз и навсегда расставляем точки над i.

Пародонтит: «шумный» и агрессивный сосед

-2

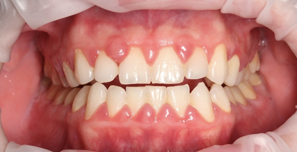
Представьте воспаление. Покраснение, отёк, боль, кровоточивость. Это и есть пародонтит — воспалительное заболевание тканей, окружающих зуб (пародонта). Его главная причина — микробный налёт и зубной камень. Бактерии выделяют токсины, запуская разрушительный процесс.

Характерные симптомы пародонтита, которые нельзя игнорировать:

· Кровоточивость дёсен при чистке зубов или даже прикосновении.

· Отёк и покраснение десневого края.

· Неприятный запах изо рта (галитоз), который не исчезает после гигиены.

· Образование пародонтальных карманов — патологического пространства между зубом и десной.

· Подвижность зубов на поздних стадиях.

· Боль и дискомфорт в дёснах.

Если лечение пародонтита не начать вовремя, воспаление приведёт к убыли костной ткани и потере даже абсолютно целых зубов. Это основная причина потери зубов у взрослых.

Пародонтоз: «тихий вор» без воспаления

А теперь представьте процесс, при котором нет яркого воспаления. Нет обильной кровоточивости, отёка и боли. Но при этом ткани пародонта (десна и кость) постепенно истончаются и «убывают». Это пародонтоз — дистрофическое, а не воспалительное заболевание. Встречается оно значительно реже.

Ключевые признаки пародонтоза:

· Отсутствие воспаления: дёсны бледно-розовые, плотные.

· Рецессия (опущение) десны: зубы визуально становятся длиннее, оголяются шейки и корни.

· Повышенная чувствительность зубов на холодное, горячее, кислое.

· Клиновидные дефекты у шеек зубов.

· Равномерная убыль костной ткани, но зуб может долго сохранять хорошую фиксацию.

Главная разница пародонтита от пародонтоза здесь очевидна: нет микробного воспаления как первопричины. Часто в основе лежат системные проблемы: нарушение кровоснабжения тканей, наследственность, эндокринные заболевания.

Как лечат: два разных подхода

Диагностика заболеваний пародонта в «Два Денталиста» начинается с тщательного осмотра, зондирования карманов и обязательного панорамного снимка (ОПТГ). Только он покажет реальный уровень костной ткани.

1. Лечение пародонтита в Санкт-Петербурге в нашей клинике — это всегда комплекс:

-3

   · Профессиональная гигиена: ультразвук и Air Flow для удаления причины — камня и налёта.

   · Противовоспалительная терапия (локальная и иногда системная).

   · Закрытый или открытый кюретаж пародонтальных карманов.

   · Шинирование подвижных зубов.

   · Обучение правильной гигиене полости рта при пародонтите.

2. Лечение пародонтоза — более сложная, поддерживающая терапия, направленная на улучшение трофики тканей:

   · Физиотерапия (массаж дёсен, дарсонвализация).

   · Медикаментозная терапия для улучшения кровообращения.

   · Пломбирование клиновидных дефектов и лечение гиперестезии.

   · Работа с терапевтом-эндокринологом для устранения системных причин.

Главный вывод

-4

Неважно, пародонтит или пародонтоз — оба состояния требуют внимания стоматолога. Пародонтит опасен быстрым и агрессивным течением, пародонтоз — своим скрытым, но неумолимым прогрессом.

Не занимайтесь самодиагностикой! Ощущение подвижности зубов или их удлинение — уже серьезный сигнал. Только врач-пародонтолог на очном приёме может поставить точный диагноз и назначить эффективное лечение.

Запишитесь на консультацию к нашим специалистам-пародонтологам в клинике «Два Дантиста». Мы проведём точную диагностику, составим индивидуальный план лечения заболеваний дёсен и поможем сохранить ваши зумы здоровыми и крепкими на долгие годы.

Не откладывайте здоровье дёсен на потом. Запишитесь на приём онлайн на нашем сайте или по телефону +7 (931) 002-03-17.