Найти в Дзене

Преображение, которое меняет качество жизни

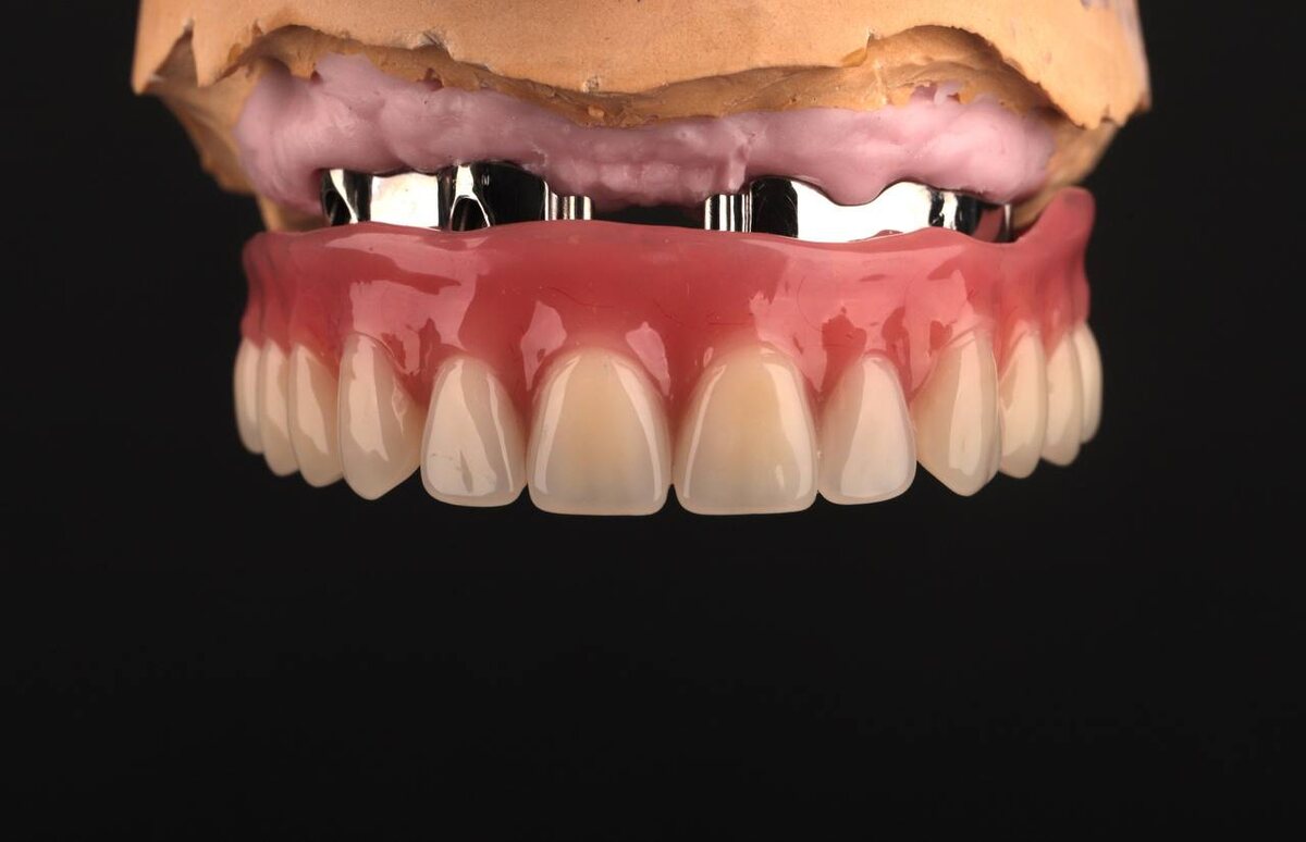
💙💙 Преображение, которое меняет качество жизни 💙 Хотим начать первую рабочую неделю этого года с восхитительного кейса от стоматолога-ортопеда Кравченко Ильи Сергеевича Результат тотальной реабилитации - это не просто эстетика. Это: ✨гармоничная, естественная улыбка ✨полноценное восстановление жевательной функции ✨полное сохранение вкусовых ощущений ✨комфорт и уверенность в повседневной жизни Пациент счастлив, а для нас это главное достижение! Подробнее о кейсе Илья Сергеевич рассказывает в аудио ниже 💙 Над преображением улыбки работала команда стоматологов филиала по адресу Фармана Салманова,16: 🔵Стоматолог-ортопед Кравченко Илья Сергеевич 🔵Стоматолог хирург-имплантолог Чаюков Сергей Сергеевич 💙 Оформить визит и получить приветственные бонусы #допослемегадент

💙💙

Преображение, которое меняет качество жизни 💙

Хотим начать первую рабочую неделю этого года с восхитительного кейса от стоматолога-ортопеда Кравченко Ильи Сергеевича

Результат тотальной реабилитации - это не просто эстетика.

Это:

✨гармоничная, естественная улыбка

✨полноценное восстановление жевательной функции

✨полное сохранение вкусовых ощущений

✨комфорт и уверенность в повседневной жизни

Пациент счастлив, а для нас это главное достижение!

Подробнее о кейсе Илья Сергеевич рассказывает в аудио ниже 💙

Над преображением улыбки работала команда стоматологов филиала по адресу Фармана Салманова,16:

🔵Стоматолог-ортопед

Кравченко Илья Сергеевич

🔵Стоматолог хирург-имплантолог

Чаюков Сергей Сергеевич

💙 Оформить визит и получить приветственные бонусы

#допослемегадент

-2
-3
-4
-5
-6
-7