Добавить в корзинуПозвонить
Найти в Дзене
ЖУЖИНЫ ИСТОРИИ

Как меня сбила машина и я пропала на 1,5 года// часть 2

2 дня после аварии) от 38 килограмм роскошного песеля осталось 33 кг измученного - это я про себя. Начало моей истории здесь: Сегодня были у хирурга, сложный перелом подтвердился, на снимке видно, как кость разнесло на осколки и сустав тоже повреждён. «Прогнозы висят в воздухе.» - сказал хирург, - «будем открывать, чистить осколки и принимать решение как собирать бедро. Сколько по времени продлится операция? Сколько восстановление? Будет ли ходить? Неизвестно.» Сейчас меня заберут у хозяев, поместят в клетку на ночь без еды, только немного воды, завтра несколько часов будут готовить к операции, потом сбреют шерсть на бедре, сделают разрез сантиметров 30, будут вычищать осколки и собирать заново тазобедренный сустав и что из этого выйдет - неизвестно. Точно будет пластина или спицы - что конкретно - решат во время операции. Это то, что я поняла из разговора хозяев с врачами. На рентгене врач сказал держать мне пасть, чтоб не укусила от шока. Хозяин положил меня на стол и держал

2 дня после аварии) от 38 килограмм роскошного песеля осталось 33 кг измученного - это я про себя.

Начало моей истории здесь:

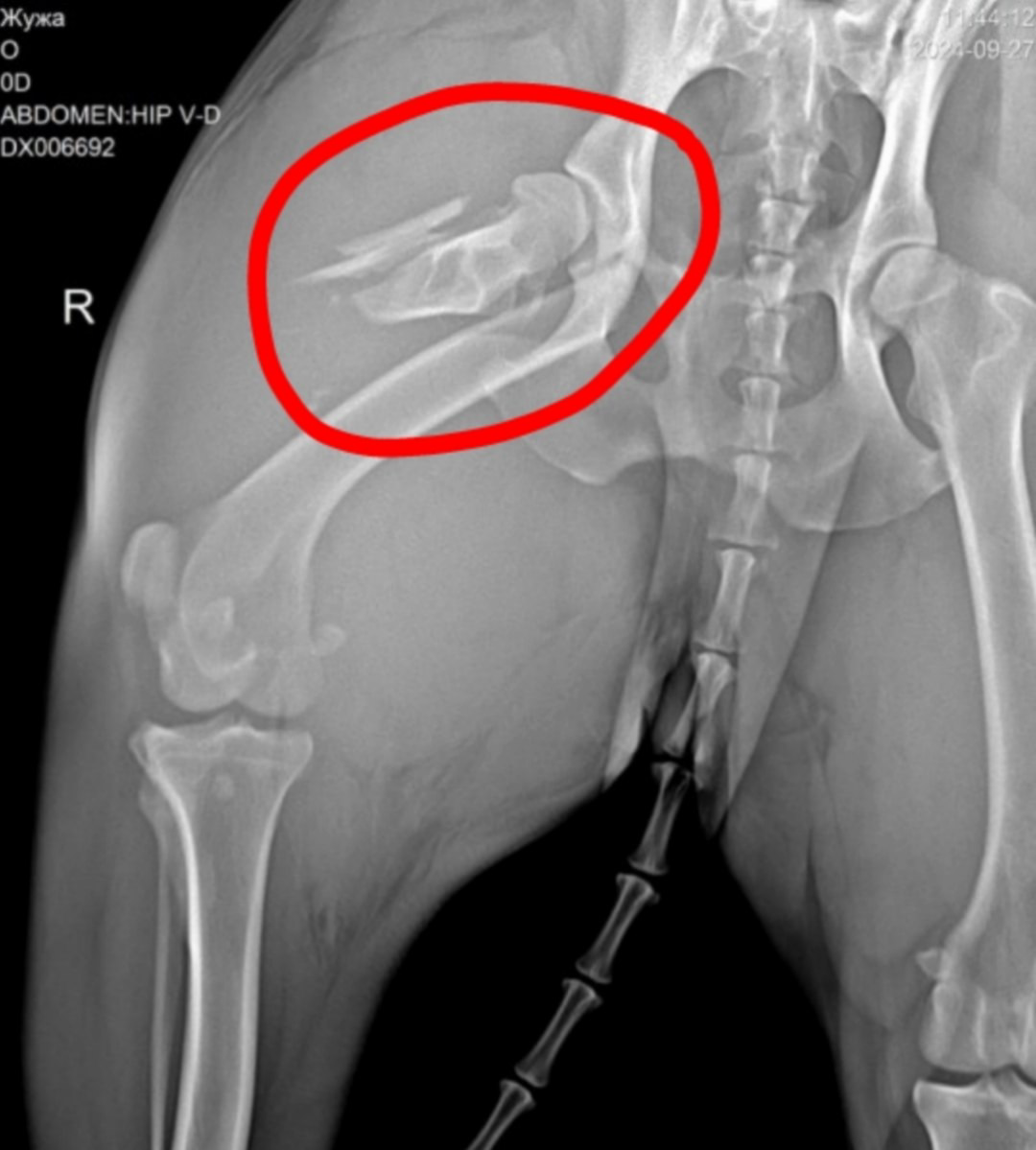
Рентгеновский снимок моего правого бедра
Рентгеновский снимок моего правого бедра

Сегодня были у хирурга, сложный перелом подтвердился, на снимке видно, как кость разнесло на осколки и сустав тоже повреждён.

«Прогнозы висят в воздухе.» - сказал хирург, - «будем открывать, чистить осколки и принимать решение как собирать бедро. Сколько по времени продлится операция? Сколько восстановление? Будет ли ходить? Неизвестно.»

Снова шок - и у меня текут слюни и лезет шерсть
Снова шок - и у меня текут слюни и лезет шерсть

Сейчас меня заберут у хозяев, поместят в клетку на ночь без еды, только немного воды, завтра несколько часов будут готовить к операции, потом сбреют шерсть на бедре, сделают разрез сантиметров 30, будут вычищать осколки и собирать заново тазобедренный сустав и что из этого выйдет - неизвестно. Точно будет пластина или спицы - что конкретно - решат во время операции.

Это то, что я поняла из разговора хозяев с врачами.

Я на рентгене. Пришлось лечь на раздробленное бедро.
Я на рентгене. Пришлось лечь на раздробленное бедро.

На рентгене врач сказал держать мне пасть, чтоб не укусила от шока.

Хозяин положил меня на стол и держал корпус, а хозяйка голову и передние лапы - предстояло перевернуть меня на сломанное бедро - а это адская боль, 

мы посмотрели друг другу в глаза.

Я прижалась к хозяйке и хозяева меня перевернули, как сказал доктор.

Потемнело в глазах, как будто меня разрезали на живую. Осколки врезались в отекшие ткани, как ножи. У меня отказала половина туловища.

Но я не укусила, не пикнула и кажется, уже начала терять сознание, и тут врач разрешил меня отпустить.

У хозяйки лились слезы из глаз и капали на меня, она еле слышно шептала, что неизвестно, как в обычной, беспородной собаке, столько благородства, интеллигентности, терпения, чистоты, воли и абсолютного доверия.

После рентгена приходила в себя и слышала сквозь пелену, что моя операция, реабилитация, лекарства обойдутся под 100 тысяч.

У хозяев нет таких денег - я знаю! А дальше не помню.

Я потеряла сознание на руках у хозяйки.

Знать бы, что ждет впереди
Знать бы, что ждет впереди

Начало истории:

часть 1: https://dzen.ru/a/aWHtQ9bgPB0ADBnQ

Продолжение истории:

часть 3: https://dzen.ru/a/aWUQ9SZwdxjFDeXD