Добавить в корзинуПозвонить
Найти в Дзене
Прайм-Стоматология

Тренд на естественность: история одной улыбки

Современная эстетическая стоматология уверенно движется в сторону натуральности: всё больше пациентов выбирают естественные оттенки зубов🦷, которые гармонируют с цветом кожи, глаз и обликом в целом. Врачи «Прайм-стоматологии» тоже придерживаются такого подхода. Поэтому, когда в одну из наших клиник обратилась пациентка Дарья с просьбой создать красивую, но по-настоящему естественную улыбку, мы с удовольствием воплотили эту мечту в жизнь. После осмотра и рентгенологического исследования, проведённого совместно с врачами-стоматологами (терапевтом, хирургом и пародонтологом), было принято решение о предварительной санации полости рта. В ходе комплексного лечения были выполнены следующие этапы: ✔ ортопедическое планирование, ✔ удаление зубов мудрости, ✔ эндодонтическое лечение и замена несостоятельных пломб, ✔ профессиональная гигиена полости рта, ✔ после согласования с пациенткой формы и цвета зубов – изготовление керамических реставраций зубным техником в собственной дентальной лабо

Современная эстетическая стоматология уверенно движется в сторону натуральности: всё больше пациентов выбирают естественные оттенки зубов🦷, которые гармонируют с цветом кожи, глаз и обликом в целом.

Врачи «Прайм-стоматологии» тоже придерживаются такого подхода. Поэтому, когда в одну из наших клиник обратилась пациентка Дарья с просьбой создать красивую, но по-настоящему естественную улыбку, мы с удовольствием воплотили эту мечту в жизнь.

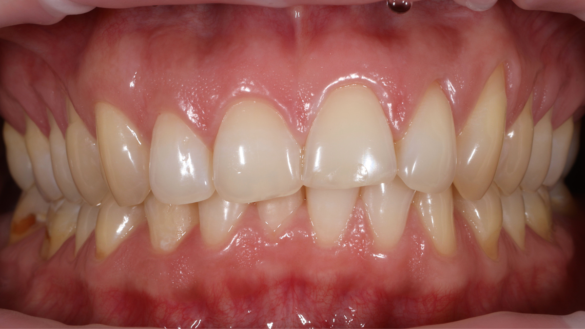
Фото ротовой полости нашей пациентки на момент обращения в ПРАЙМ.
Фото ротовой полости нашей пациентки на момент обращения в ПРАЙМ.

После осмотра и рентгенологического исследования, проведённого совместно с врачами-стоматологами (терапевтом, хирургом и пародонтологом), было принято решение о предварительной санации полости рта.

В ходе комплексного лечения были выполнены следующие этапы:

✔ ортопедическое планирование,

✔ удаление зубов мудрости,

✔ эндодонтическое лечение и замена несостоятельных пломб,

✔ профессиональная гигиена полости рта,

✔ после согласования с пациенткой формы и цвета зубов – изготовление керамических реставраций зубным техником в собственной дентальной лаборатории клиники,

✔ поэтапное препарирование и затем фиксация керамических реставраций,

✔ закрытие рецессии в области одного зуба на завершающем этапе.

С помощью слаженной работы команды врачей ПРАЙМа Дарье удалось обрести обаятельную, естественную и гармоничную улыбку!

До и после.
До и после.

Благодаря тотальному протезированию керамическими реставрациями на верхней и нижней челюстях нам удалось воссоздать улыбку, которая подчёркивает уникальную красоту нашей пациентки.

Натуральный белый оттенок, форма, фактура и прозрачный режущий край — всё это делает улыбку красивой и естественной!

-4

На фото представлена работа ведущего врача-стоматолога ортопеда, специалиста по сложной эстетической реабилитации, зубного техника, клиники ПРАЙМ Лихова Дениса Вячеславовича.

.

Если вы давно мечтаете о красивой, но естественной улыбке, то не откладывайте визит к специалисту. Начало года - лучшее время для планирования лечения!

Записаться на приём к врачам сети клиник ПРАЙМ можно по телефону - (4912)292-000.

_________________________________

Наши клиники в г. Рязань:

◾ Есенина, 110

◾ Советской армии, 9

◾ Бирюзова, 28а

◾ Интернациональная, 23

◾ Полетаева, 34 (клиника корпоративного университета)

https://www.prime-med.ru/