Найти в Дзене

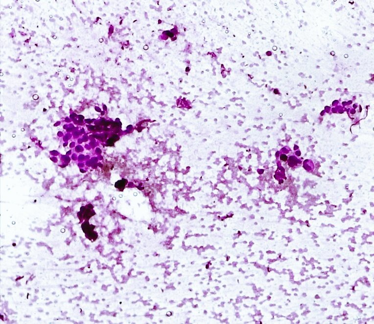
Поражение медиастинальных лимфатических узлов у пациентки с плоскоклеточным раком шейки матки

Иммуногистохимическое исследование: экспрессия p63 и p40 #цитология #игх

Поражение медиастинальных лимфатических узлов у пациентки с плоскоклеточным раком шейки матки.

Иммуногистохимическое исследование: экспрессия p63 и p40

#цитология #игх

-2
-3