Найти в Дзене

В Петербурге готовят к выписке пациента, которому сделали уникальную операцию

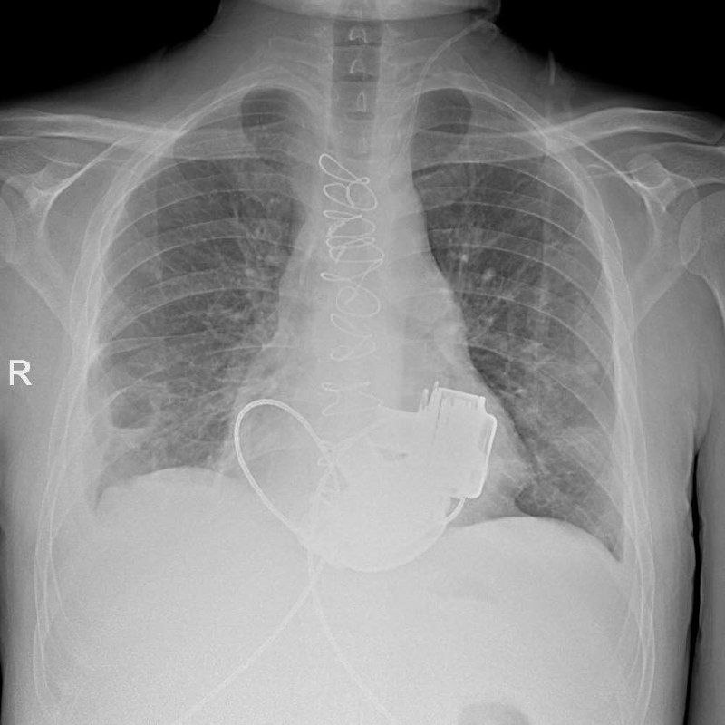
В Мариинской больнице Санкт-Петербурга готовят к выписке уникального пациента, который теперь живёт без пульса. В конце ноября ему впервые в Российской Федерации имплантировали сразу два искусственных желудочка сердца — левый и правый. 19 января его навестил председатель комитета по здравоохранению Андрей Сарана, рассказали в комздраве. 36-летний Антон поступил в стационар со сложными диагнозами — кардиомиопатией и терминальной сердечной недостаточностью. В силу осложнений (тромбоэмболии легочной артерии, инфаркт-пневмонии и других) пересадка сердца была невозможной. Главный врач больницы Игорь Реутский предложил провести имплантацию искусственных желудочков. «Обычно пациенту вживляют одно такое устройство, но в случае Антона этого было недостаточно — нужно было сразу два прибора», — отметили в пресс-релизе. Операцию провела бригада высококвалифицированных хирургов под управлением главного внештатного специалиста по сердечно-сосудистой хирургии комитета по здравоохранению Петербурга,
Оглавление
Фото: https://t.me/komzdravspb/7391
Фото: https://t.me/komzdravspb/7391

Впервые в России удалось осуществить такое вмешательство

В Мариинской больнице Санкт-Петербурга готовят к выписке уникального пациента, который теперь живёт без пульса. В конце ноября ему впервые в Российской Федерации имплантировали сразу два искусственных желудочка сердца — левый и правый. 19 января его навестил председатель комитета по здравоохранению Андрей Сарана, рассказали в комздраве.

36-летний Антон поступил в стационар со сложными диагнозами — кардиомиопатией и терминальной сердечной недостаточностью. В силу осложнений (тромбоэмболии легочной артерии, инфаркт-пневмонии и других) пересадка сердца была невозможной. Главный врач больницы Игорь Реутский предложил провести имплантацию искусственных желудочков.

«Обычно пациенту вживляют одно такое устройство, но в случае Антона этого было недостаточно — нужно было сразу два прибора», — отметили в пресс-релизе.

Операцию провела бригада высококвалифицированных хирургов под управлением главного внештатного специалиста по сердечно-сосудистой хирургии комитета по здравоохранению Петербурга, академика РАН Геннадия Хубулавы.

Операцию сделали в рамках программы лечения больных с терминальной стадией хронической сердечной недостаточности, которая была инициирована губернатором Санкт-Петербурга Александром Бегловым. Для хирургов Мариинской больницы это уже десятая имплантация вспомогательных желудочковых устройств.

«Операция продолжалась около четырёх часов, — отметил Геннадий Хубулава. — Для наших специалистов самым сложным было синхронизировать работу двух искусственных желудочков сердца, но с этой задачей мы успешно справились. Это доказывает высокий уровень развития кардиохирургии в нашем городе».

Антон уже готов к выписке и научился жить с двумя приборами в теле. Он выразил надежду, что вернётся в Мариинскую больницу для получения донорского сердца. Имплантация искусственных желудочков — «мостик» к трансплантации сердца, поскольку даёт пациенту возможность дожить до спасительной операции.

Подписывайтесь на канал газеты «Вечерний Санкт-Петербург» и узнавайте самые актуальные новости первыми!