Найти в Дзене

ПСШ у кошки

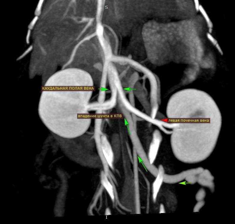
? Возможно! Красотка с голубыми глазами Ася поступила в «Ветдоктор» со следующими жалобами от владельцев: на протяжении месяца плохой аппетит, иногда рвота. Казалось бы, ничего необычного и это весьма распространенные симптомы, которые могут указывать на заболевания ЖКТ. Но, благодаря проведенной КТ диагностике у Аси подтвержден ПСШ (порто-системный шунт). Да, эта аномалия встречается не только у собак. ✅ПСШ - это врожденная сосудистая аномалия, из-за которой значительная часть венозной крови от кишечника попадает в системный кровоток, минуя печень, т.е. не подвергаясь "очистке". Такая кровь содержит токсичные, в первую очередь, для головного мозга вещества. ✅Лечение: хирургическое. Перед операцией пациентам с ПСШ требуется специальна подготовка. И, спустя неделю после постановки диагноза, Ася была прооперирована. Операция непростая и связана с относительно высокими рисками осложнений. К счастью, прошла успешно. Шунт был визуализировал и наложен специальный констриктор. После

ПСШ у кошки ?

Возможно!

Красотка с голубыми глазами Ася поступила в «Ветдоктор» со следующими жалобами от владельцев: на протяжении месяца плохой аппетит, иногда рвота.

Казалось бы, ничего необычного и это весьма распространенные симптомы, которые могут указывать на заболевания ЖКТ.

Но, благодаря проведенной КТ диагностике у Аси подтвержден ПСШ (порто-системный шунт). Да, эта аномалия встречается не только у собак.

✅ПСШ - это врожденная сосудистая аномалия, из-за которой значительная часть венозной крови от кишечника попадает в системный кровоток, минуя печень, т.е. не подвергаясь "очистке". Такая кровь содержит токсичные, в первую очередь, для головного мозга вещества.

✅Лечение: хирургическое.

Перед операцией пациентам с ПСШ требуется специальна подготовка.

И, спустя неделю после постановки диагноза, Ася была прооперирована. Операция непростая и связана с относительно высокими рисками осложнений. К счастью, прошла успешно. Шунт был визуализировал и наложен специальный констриктор.

После Асе потребовалось несколько суток провести в стационаре для обезболивания и контроля состояния. Во время выписки Ася была умеренно активная, с хорошим аппетитом.

Спустя 2 недели кошке было выполнено контрольное УЗИ. У Аси все хорошо.

Желаем ей крепкого здоровья 🧡

🔹Лечащий врач-хирург: Кузнецов Василий Сергеевич

🔹Анестезиолог: Богданович Ксения Александровна

🔹Операционная сестра: Зайцева Марина Александровна

🔹УЗИ-специалисты: Мелихова Евгения Сергеевна, Родина Ксения Андреевна

🔹КТ-специалист: Силаева Елизавета Александровна

#ветдоктор

-2
-3
-4