Найти в Дзене
Газета Metro Петербург

Мужчину без пульса вскоре выпишут из Мариинской больницы

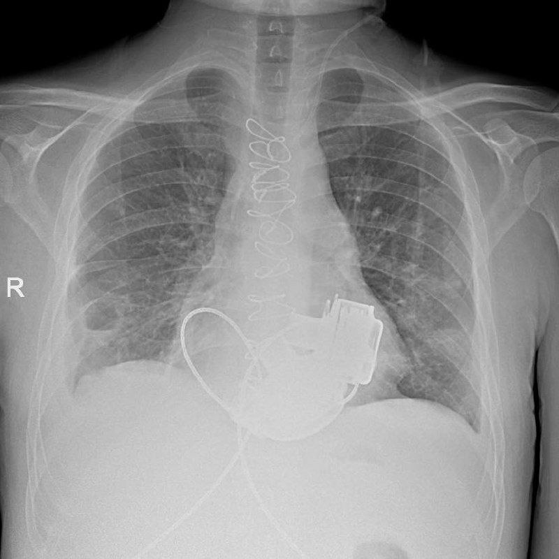
Как рассказали в пресс-службе комитета по здравоохранению Петербурга, в стационар Мариинской больницы 36-летний Антон поступил сразу с несколькими тяжелейшими диагнозами. Его показатели работы сердца были такими, будто человек уже не жив, а мёртв. Трансплантация сердца, которая показана в таких ситуациях, была невозможна из-за ряда осложнений. Тогда медики приняли решение провести непростое кардиохирургическое вмешательство - имплантацию искусственных желудочков. Обычно пациентам вживляют одно такое устройство, однако Антону потребовалось сразу два прибора. Потом пульс на запястье или шее у таких людей не прощупывается. "Операция продолжалась около 4 часов. Для наших специалистов самым сложным было синхронизировать работу двух искусственных желудочков сердца, но с этой задачей мы успешно справились", - рассказал главный внештатный специалист по сердечно-сосудистой хирургии комитета по здравоохранению Санкт-Петербурга, академик РАН Геннадий Хубулава. Послеоперационный период для мужчины
   t.me/komzdravspb
t.me/komzdravspb

Как рассказали в пресс-службе комитета по здравоохранению Петербурга, в стационар Мариинской больницы 36-летний Антон поступил сразу с несколькими тяжелейшими диагнозами. Его показатели работы сердца были такими, будто человек уже не жив, а мёртв. Трансплантация сердца, которая показана в таких ситуациях, была невозможна из-за ряда осложнений. Тогда медики приняли решение провести непростое кардиохирургическое вмешательство - имплантацию искусственных желудочков. Обычно пациентам вживляют одно такое устройство, однако Антону потребовалось сразу два прибора. Потом пульс на запястье или шее у таких людей не прощупывается.

"Операция продолжалась около 4 часов. Для наших специалистов самым сложным было синхронизировать работу двух искусственных желудочков сердца, но с этой задачей мы успешно справились", - рассказал главный внештатный специалист по сердечно-сосудистой хирургии комитета по здравоохранению Санкт-Петербурга, академик РАН Геннадий Хубулава.

Послеоперационный период для мужчины был не простым, однако сейчас он уже научился жить с двумя приборами в теле и готов к выписке.

В региональном комздраве назвали имплантацию искусственных желудочков "мостиком" к трансплантации сердца. Пациент надеется, что вскоре сможет получить донорское сердце.

Анастасия Николаева