Уникальный пациент без пульса выпишется из больницы в Петербурге
20 января20 янв
~1 мин
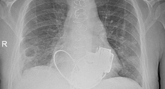
Уникальный пациент, которому впервые в России имплантировали сразу два искусственных желудочка сердца, готовится к выписке из Мариинской больницы в Санкт-Петербурге.
Уникальный пациент, которому впервые в России имплантировали сразу два искусственных желудочка сердца, готовится к выписке из Мариинской больницы в Санкт-Петербурге.
...Читать далее
Уникальный пациент без пульса выпишется из больницы в Петербурге
Уникальный пациент, которому впервые в России имплантировали сразу два искусственных желудочка сердца, готовится к выписке из Мариинской больницы в Санкт-Петербурге.