Найти в Дзене

Живет без пульса: Уникального пациента готовят к выписке из больницы в Петербурге после операций на сердце

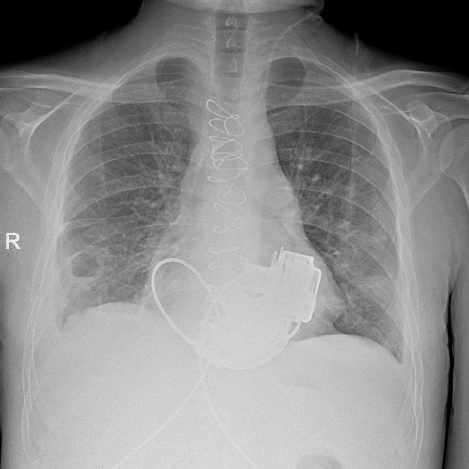
Первого пациента без пульса готовят к выписке в Мариинской больнице в Петербурге. Мужчина пережил сложную операцию на сердце и стал первым в России, кто живет без естественного пульса. В конце ноября 2025 года Сергею (прим.ред. – имя изменено) имплантировали два искусственных желудочка сердца: левый и правый. Об этом уникальном пациенте рассказали в пресс-службе комитета по здравоохранению. - 36-летний Сергей поступил в больницу с тяжелыми диагнозами: кардиомиопатией и терминальной сердечной недостаточностью. Его сердце плохо функционировало, а из-за осложнений, трансплантация органа была невозможна, - рассказали в комитете. Чтобы спасти мужчину, главврач больницы Игорь Реутский принял серьезное решение об имплантации искусственных желудочков. Операцию выполнила команда высококвалифицированных хирургов под руководством академика РАН Геннадия Хубулавы, главного внештатного кардиохирурга комитета по здравоохранению. Уникальная операция стала частью программы лечения терминальной стадии х
   Петербуржец стал первым пациентом без естественного пульса. Фото: t.me/komzdravspb
Петербуржец стал первым пациентом без естественного пульса. Фото: t.me/komzdravspb

Первого пациента без пульса готовят к выписке в Мариинской больнице в Петербурге. Мужчина пережил сложную операцию на сердце и стал первым в России, кто живет без естественного пульса. В конце ноября 2025 года Сергею (прим.ред. – имя изменено) имплантировали два искусственных желудочка сердца: левый и правый. Об этом уникальном пациенте рассказали в пресс-службе комитета по здравоохранению.

- 36-летний Сергей поступил в больницу с тяжелыми диагнозами: кардиомиопатией и терминальной сердечной недостаточностью. Его сердце плохо функционировало, а из-за осложнений, трансплантация органа была невозможна, - рассказали в комитете. Чтобы спасти мужчину, главврач больницы Игорь Реутский принял серьезное решение об имплантации искусственных желудочков.

   Врачи провели сложную многочасовую операцию. Фото: t.me/komzdravspb
Врачи провели сложную многочасовую операцию. Фото: t.me/komzdravspb

Операцию выполнила команда высококвалифицированных хирургов под руководством академика РАН Геннадия Хубулавы, главного внештатного кардиохирурга комитета по здравоохранению. Уникальная операция стала частью программы лечения терминальной стадии хронической сердечной недостаточности, запущенной губернатором Петербурга Александром Бегловым. К слову, в Мариинской больнице это уже десятый подобный пациент.

Операция по спасению Сергея длилась около четырех часов.

- Самым сложным оказалось синхронизировать работу двух искусственных желудочков, но мы смогли и справились с этой задачей, - рассказал Геннадий Хубулава.

Послеоперационный период был непростым, однако Сергей уже готов к выписке и научился жить с новыми устройствами. Он надеется вскоре вернуться в больницу для трансплантации донорского сердца.

   Сейчас Сергей готовится к выписке. Фото: t.me/komzdravspb
Сейчас Сергей готовится к выписке. Фото: t.me/komzdravspb

- Имплантация искусственных желудочков является промежуточным этапом на пути к спасению, так как она позволяет пациенту дожить до этой операции, - добавили в комитете.

Комсомолка на MAXималках - читайте наши новости раньше других в канале @truekpru