Найти в Дзене

🪥 Рентген не формальность, а фундамент эндодонтии

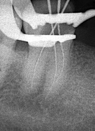
! Когда мы говорим о качественном лечении корневых каналов, речь идёт не только о тщательной механической и медикаментозной обработке (да, EDTA + LEDRMIX — наше всё 💪), но и о контроле на каждом этапе. И здесь прицельная рентгенография — наш незаменимый «глаз». 📸 1. Снимок с инструментом в канале — Это не просто «чтобы было». — Именно так мы точно определяем рабочую длину, избегая перепломбировки или недопломбировки. — Без этого как идти по лабиринту вслепую. А пациент заслуживает точности, а не угадывания! 📸 2. Контрольный снимок после пломбирования — Проверяем: герметичность, плотность заполнения, отсутствие пустот и выхода за верхушку. — Да, даже под микроскопом глаз не заменит рентген! — Этот снимок не «галочка», а гарантия качества и спокойствия, и для врача, и для пациента. 💡 Эндодонтия — это не «заложил и забыл». Это диагностика → контроль → результат. И каждый снимок — не лишняя лучевая нагрузка, а вклад в долгосрочный успех лечения. P.S. Мы не экономим ни на времени,

🪥 Рентген не формальность, а фундамент эндодонтии!

Когда мы говорим о качественном лечении корневых каналов, речь идёт не только о тщательной механической и медикаментозной обработке (да, EDTA + LEDRMIX — наше всё 💪), но и о контроле на каждом этапе. И здесь прицельная рентгенография — наш незаменимый «глаз».

📸 1. Снимок с инструментом в канале

— Это не просто «чтобы было».

— Именно так мы точно определяем рабочую длину, избегая перепломбировки или недопломбировки.

— Без этого как идти по лабиринту вслепую. А пациент заслуживает точности, а не угадывания!

📸 2. Контрольный снимок после пломбирования

— Проверяем: герметичность, плотность заполнения, отсутствие пустот и выхода за верхушку.

— Да, даже под микроскопом глаз не заменит рентген!

— Этот снимок не «галочка», а гарантия качества и спокойствия, и для врача, и для пациента.

💡 Эндодонтия — это не «заложил и забыл». Это диагностика → контроль → результат.

И каждый снимок — не лишняя лучевая нагрузка, а вклад в долгосрочный успех лечения.

P.S. Мы не экономим ни на времени, ни на диагностике. Потому что здоровые зубы начинаются с чёткого плана — и чётких снимков😉

#эндодонтия #рентген #качественнаястоматология #DialDent #микроскоп #профессионализм