Добавить в корзинуПозвонить
Найти в Дзене

Зачем устанавливать виниры?

Иногда ортодонтического лечения недостаточно и мы об этом говорим сразу 😮‍💨
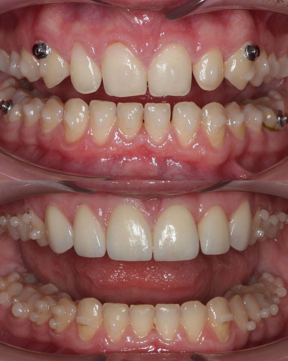
К нам обратилась пациентка с запросом на ортодонтическое лечение. Коррекция прикуса и выравнивание зубов проводились с помощью элайнеров, и с функциональной точки зрения лечение было успешно завершено: зубы заняли правильное положение, прикус стал стабильным!
Однако после окончания ортодонтического этапа пациентке всё

Иногда ортодонтического лечения недостаточно и мы об этом говорим сразу 😮‍💨

К нам обратилась пациентка с запросом на ортодонтическое лечение. Коррекция прикуса и выравнивание зубов проводились с помощью элайнеров, и с функциональной точки зрения лечение было успешно завершено: зубы заняли правильное положение, прикус стал стабильным! 

Однако после окончания ортодонтического этапа пациентке всё ещё не хватало эстетики в зоне верхних передних зубов, а именно идеальной формы, пропорций и визуальной гармонии улыбки 👀

В таких случаях мы можем подключить ортопедическое лечение и довести результат до идеала. Когда положение зубов уже скорректировано, а эстетика требует доработки, оптимальным решением становятся виниры

С помощью виниров мы можем:

• скорректировать форму и длину зубов

• улучшить цвет и прозрачность эмали

• добиться симметрии и гармонии улыбки

• создать естественный и эстетичный результат

Ортодонтия создаёт правильную основу, а ортопедия завершает работу, позволяя получить улыбку, которая полностью нравится пациенту и отвечает его ожиданиям 🤍