Добавить в корзинуПозвонить
Найти в Дзене
Прайм-Стоматология

«Хочу, чтобы зубы были как раньше, только лучше!» Как мы исполнили мечту нашего пациента

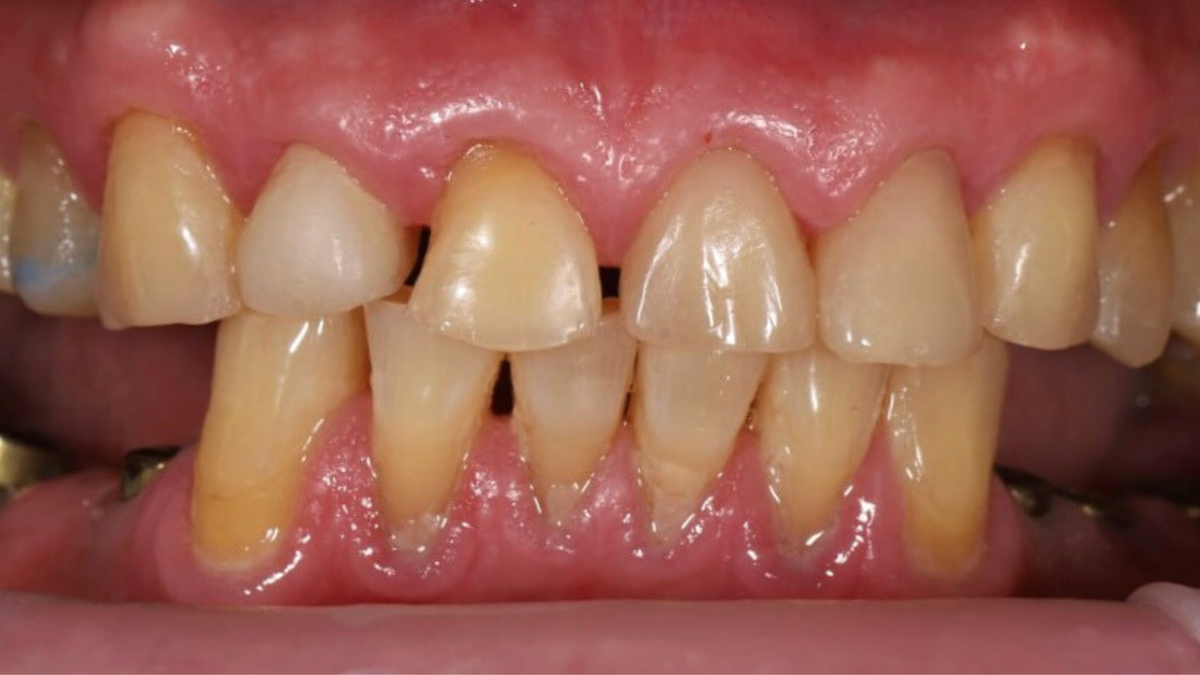
Когда пациент приходит в ПРАЙМ со словами: «Я хочу улыбаться и есть, не думая о зубах», мы понимаем, что речь идёт не только о протезировании и имплантации. Это стремление вернуться к себе — к жизни без ограничений и стеснения. Недавно к нам обратился пациент М. с простым, но очень глубоким пожеланием: «Хочу, чтобы зубы были как раньше, только лучше!». Команда врачей «Прайм-стоматологии» приняла вызов и взялась за выполнение этой задачи. После составления индивидуального плана лечения были проведены: Благодаря слаженной работе врачей ПРАЙМа мечта М. стала реальностью. Наш пациент получил «зубы как раньше, только лучше» — со всеми преимуществами современной стоматологии. Это полное восстановление жевательной функции, идеальная эстетика и, конечно, безупречное качество. ☝ Здоровая улыбка — это не роскошь. Это повседневный комфорт, свобода и качество жизни! . Если вы также стремитесь вернуться к жизни без ограничений и стеснения, не откладывайте это желание на потом! Запишитесь на консуль

Когда пациент приходит в ПРАЙМ со словами: «Я хочу улыбаться и есть, не думая о зубах», мы понимаем, что речь идёт не только о протезировании и имплантации. Это стремление вернуться к себе — к жизни без ограничений и стеснения.

Недавно к нам обратился пациент М. с простым, но очень глубоким пожеланием: «Хочу, чтобы зубы были как раньше, только лучше!». Команда врачей «Прайм-стоматологии» приняла вызов и взялась за выполнение этой задачи. После составления индивидуального плана лечения были проведены:

Благодаря слаженной работе врачей ПРАЙМа мечта М. стала реальностью. Наш пациент получил «зубы как раньше, только лучше» — со всеми преимуществами современной стоматологии. Это полное восстановление жевательной функции, идеальная эстетика и, конечно, безупречное качество.

До  и после.
До и после.

☝ Здоровая улыбка — это не роскошь. Это повседневный комфорт, свобода и качество жизни!

.

Если вы также стремитесь вернуться к жизни без ограничений и стеснения, не откладывайте это желание на потом!

Запишитесь на консультацию по обретению здоровой и красивой улыбки к специалистам ПРАЙМа по телефону — +7 4912 292 000.

_________________________________

Наши клиники в г. Рязань:

◾ Есенина, 110

◾ Советской армии, 9

◾ Бирюзова, 28а

◾ Интернациональная, 23

◾ Полетаева, 34 (клиника корпоративного университета)

https://www.prime-med.ru/