Добавить в корзинуПозвонить
Найти в Дзене

Сосудистые хирурги Долгопрудного спасли мужчину с разрывом аневризмы

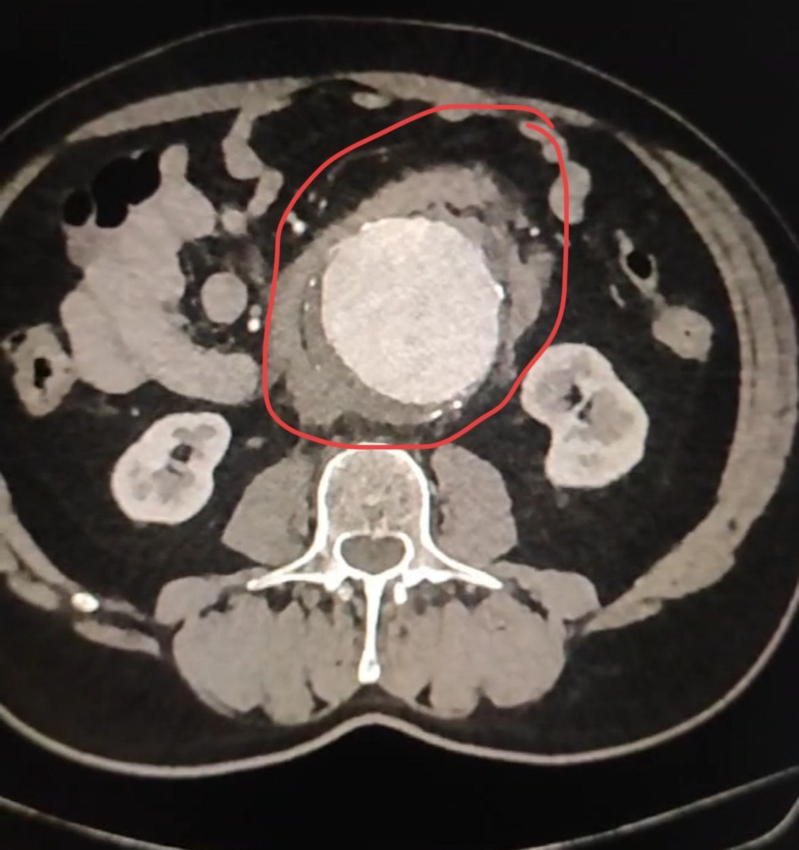
🚨В больницу округа был доставлен 66-летний пациент с подозрением на разрыв аневризмы брюшной аорты. Как пояснили в Долгопрудненской больнице, аневризма брюшной аорты - опасное заболевание, при котором сосуд расширяется. Аорта приобретает форму шара с истончёнными стенками, и возникает угроза её разрыва. ❗️У больного разрыв аневризмы всё-таки произошёл, часть крови излилась в забрюшинное пространство. Летальность при данном состоянии без операции составляет 100%. Наши врачи под руководством заведующего отделением сосудистой хирургии Алексея Варина провели экстренную операцию. Они успешно выполнили протезирование брюшной аорты: заменили поражённый участок на синтетический сосудистый протез. 👏Жизнь человека была спасена, и в скором времени мужчина в удовлетворительном состоянии был выписан домой! Мы желаем скорейшего выздоровления всем пациентам Долгопрудненской больницы! А нашим медработникам вновь говорим: вы – лучшие! Официальный Долгопрудный l MAX #долгопрудный #здравоохранен

Сосудистые хирурги Долгопрудного спасли мужчину с разрывом аневризмы

🚨В больницу округа был доставлен 66-летний пациент с подозрением на разрыв аневризмы брюшной аорты.

Как пояснили в Долгопрудненской больнице, аневризма брюшной аорты - опасное заболевание, при котором сосуд расширяется. Аорта приобретает форму шара с истончёнными стенками, и возникает угроза её разрыва.

❗️У больного разрыв аневризмы всё-таки произошёл, часть крови излилась в забрюшинное пространство. Летальность при данном состоянии без операции составляет 100%.

Наши врачи под руководством заведующего отделением сосудистой хирургии Алексея Варина провели экстренную операцию. Они успешно выполнили протезирование брюшной аорты: заменили поражённый участок на синтетический сосудистый протез.

👏Жизнь человека была спасена, и в скором времени мужчина в удовлетворительном состоянии был выписан домой!

Мы желаем скорейшего выздоровления всем пациентам Долгопрудненской больницы! А нашим медработникам вновь говорим: вы – лучшие!

Официальный Долгопрудный l MAX

#долгопрудный #здравоохранениевДолгопрудном #СпасибоДоктор

-2