Найти в Дзене
Parodoctor

Было очень страшно, а потом понеслось - 4 имплантата, открытый синус-лифтинг, циркониевые коронки. История, которая ещё продолжается

Сергей - активный подписчик блога. Комментирует, задаёт вопросы, следит за статьями и случаями пациентов. И вот, что называется, дочитался - в ноябре 2024 года пришёл сдаваться. Признаётся - было ОЧЕНЬ страшно. Прямо жуть-жуть. Но ведь пришёл. А дальше расскажу, что из этого вышло. Начали с простого - несколько зубов с кариесом были вылечены у терапевта Елизаветы Дмитриевны Тирик. Казалось бы, кариес - это совсем не страшно в современном мире. Но парадокс в том, что даже кариес превращается в испытание в мыслях и думках пациента. Страшно решиться, даже если он 100 раз слышал, что больно не будет. А, вдруг, врут? Нет веры самым страшным врачам - стоматологам. В подкорке забит животный ужассс. Но Елизавета Дмитриевна - стоматолог, который умеет работать с тревожными пациентами. Спокойно, без давления, с объяснениями и с доброжелательностью. Сергей вышел после лечения и понял, что можно жить дальше. И лечиться можно. Через месяц после первого визита Сергей решился на то, что точно проход
Оглавление

Сергей - активный подписчик блога. Комментирует, задаёт вопросы, следит за статьями и случаями пациентов. И вот, что называется, дочитался - в ноябре 2024 года пришёл сдаваться.

Признаётся - было ОЧЕНЬ страшно. Прямо жуть-жуть.

Но ведь пришёл. А дальше расскажу, что из этого вышло.

Первый визит - он важный самый

Начали с простого - несколько зубов с кариесом были вылечены у терапевта Елизаветы Дмитриевны Тирик.

Казалось бы, кариес - это совсем не страшно в современном мире. Но парадокс в том, что даже кариес превращается в испытание в мыслях и думках пациента. Страшно решиться, даже если он 100 раз слышал, что больно не будет. А, вдруг, врут? Нет веры самым страшным врачам - стоматологам. В подкорке забит животный ужассс.

Но Елизавета Дмитриевна - стоматолог, который умеет работать с тревожными пациентами. Спокойно, без давления, с объяснениями и с доброжелательностью. Сергей вышел после лечения и понял, что можно жить дальше. И лечиться можно.

Имплантация и протезирование

Декабрь 2025 - имплантация с открытым синус-лифтингом

Через месяц после первого визита Сергей решился на то, что точно проходит по градации страданий (выдуманных, впрочем) как уровень высокий - имплантацию с синус-лифтингом.

С открытым синус-лифтингом! Ковыряться в голове будут, караул (из каких-то комментариев каких-то случайных людей). Когда кости на верхней челюсти недостаточно и нужно эту кость заполучить - поднимают дно гайморовой пазухи, засыпают материал, после заживления получается объём кости, годный для установки имплантата.

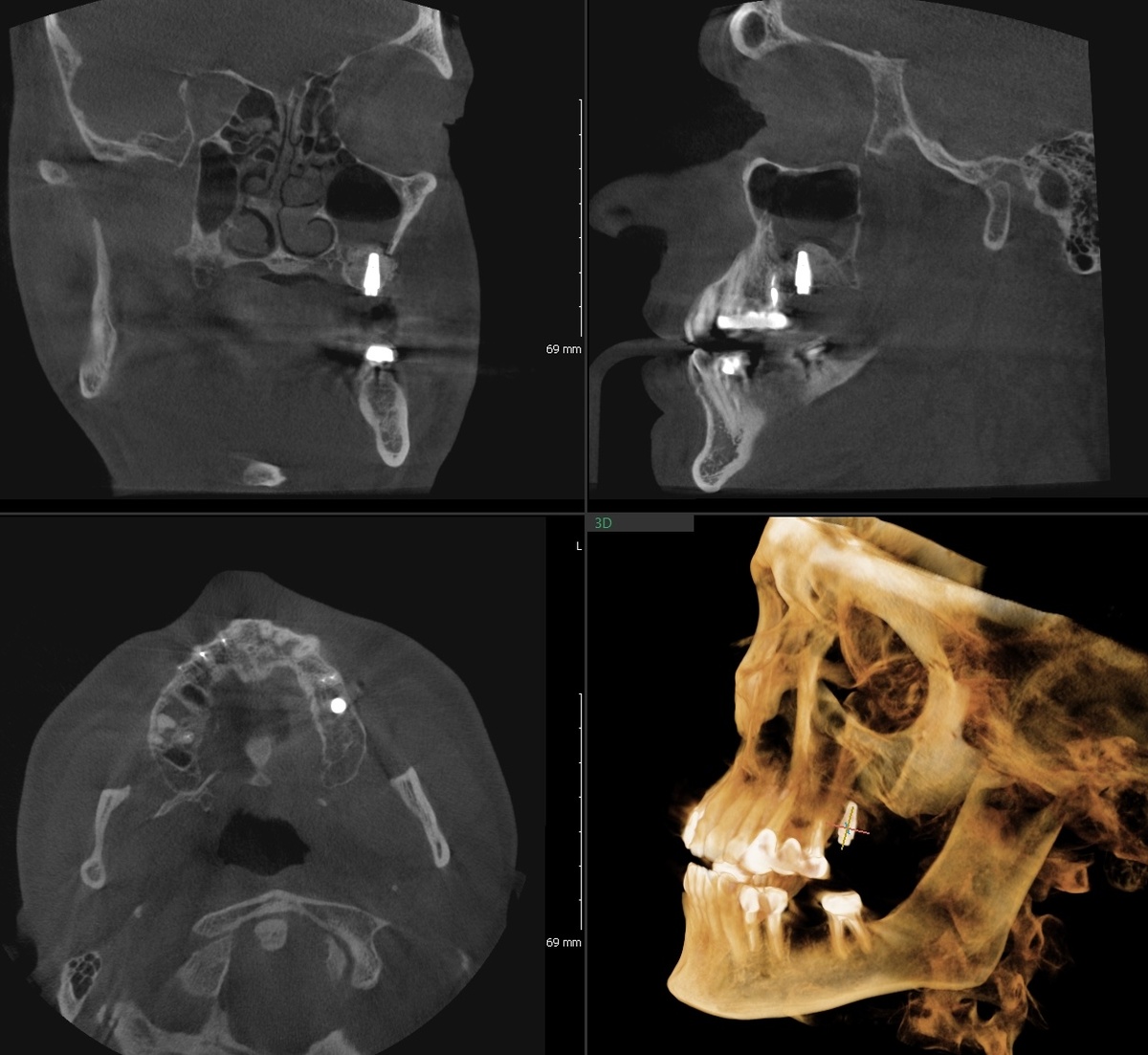
Имплантировали в области отсутствующего зуба 2.6 - верхняя шестёрка слева:

Имплантат и материал в синусе:

-2

Установка проводилась по цифровому протоколу с хирургическим шаблоном. Даже один имплант у нас ставится по навигации - это точность позиционирования и предсказуемый результат.

Сергей выжил. Не разочаровался. Не испугался.

Март 2025 - имплантация зуба-антагониста на нижней челюсти с пластикой десны

Верхняя шестёрка будет, а жевать-то не получится адекватно. Нужен антагонист, зуб на челюсти нижней.

В марте установили имплант на позицию 3.6, нижняя шестёрка слева. С пластикой десны, чтобы вокруг импланта была нормальная прикреплённая слизистая. Покажу КТ в день имплантации выполненное:

Имплантат в области 3.6
Имплантат в области 3.6

Отлично. Два имплантата уже в человеке. Жевательная пара, потихоньку, формируется.

Сентябрь - циркониевые коронки винтовой фиксации

На оба импланта установили циркониевые коронки винтовой фиксации.

-4

Фото:

-5

Всё. Левая сторона работает. Можно жевать. На "черные" корни под старыми коронками можно не особо смотреть сейчас, их никак не реанимировать, а удалять тоже не время - пациент не готов и это допустимо в данном случае.

Имплантация сразу двух зубов - подарок себе под Новый год

Позиции 4.4 и 4.5 - премоляры на нижней челюсти справа плюс пластика десны интересная, с 2 сторон трансплантаты уложены для объёма. При этом, объёма кости хватает.

-7

Два импланта за один раз - это серьёзно для тех, кто боится. Но Сергей уже совсем другой человек, который уже ничего не боится.

-8

Сейчас импланты приживаются, швы сняты. Всё идёт по плану.

Следующий этап - весна 2026 года. Протезирование коронками правой стороны.

Как преодолеть страх перед стоматологом

Несколько причин.

  • правильный старт. Елизавета Дмитриевна не просто вылечила кариес. Она показала, что в клинике безопасно, что здесь слышат и не торопят. Это база для всего остального;
  • пошаговый подход. Мы не навалились со всем и сразу, работаем в темпе, удобном для каждого конкретного пациента. Если что-то ждёт - пускай ждёт, мы не давим. Терапия, потом один имплант, потом следующий - так удобно для Сергея. Человек успевал адаптироваться;
  • цифровой протокол. Когда пациент видит, что всё спланировано, что есть шаблон, что хирург точно знает, куда ставить имплант - это снижает тревогу;
  • сам Сергей. Его отзывчивость, позитив и готовность двигаться вперёд. Без этого никакой доктор не справится;

Видеоотзыв

Сергей оставил нам отличный видеоотзыв - живой, честный, от человека, который прошёл этот путь. Смотрите:

Вывод

Страх - это нормально. Страх перед стоматологом - да тем более. Но страх можно преодолеть. Шаг за шагом, визит за визитом, зуб за зубом.

Главное ведьчто? А начать. Дальше - дело техники и доверия.

Лечение Сергея продолжается. Впереди ещё много всего. Решится ли человек на ортодонтию - его дело, нам прикус на данном этапе не мешает. Коррекцию можно будет провести и с имплантатами, если будет потребность в этом. Удалить чёрные корешки под коронками? Когда человек будет готов. Вот такой это случай.

Все случаи индивидуальны и то, что допустимо для Сергея, может быть капитально небезопасно для Ивана. Всё сегда решается на консультации и при диагностике.

Вопросы задавайте в моём Telegram-канале - там я их точно увижу и отвечу. В Дзене сотни комментариев под сотнями статей и я физически не успеваю всё мониторить - не смотрю и не отвечаю, никого не удаляю (все вопросы к Дзен, обиды направляйте площадке, пожалуйста). В Telegram все вопросы в одном месте, удобно отвечать, можно фото прикрепить. Так что жду в тг:

Parodoctor

С уважением, Лежачёва Наталия Александровна, хирург-пародонтолог и главный врач стоматологии Parodent.